About   Help   FAQ
Gene Expression Data
Assay Details
Assay
Reference: J:231434 Heine U, et al., Role of transforming growth factor-beta in the development of the mouse embryo. J Cell Biol. 1987 Dec;105(6 Pt 2):2861-76
Assay type: Immunohistochemistry
MGI Accession ID: MGI:5771676
Gene symbol: Tgfb1
Gene name: transforming growth factor, beta 1
Antibody: anti-CC (1-30)
Detection system: Secondary antibody coupled to horseradish peroxidase
Results
Specimen 2A: embryonic day 15.0 (more )
Structure Level Pattern Image Note
TS23: tail mesenchyme Present Regionally restricted 2A Expression is in connective tissue sheaths separating developing muscles from the subdermal mesenchyme and in fibroblasts separating individual groups of myotubes.

Specimen 3A: embryonic day 15.0 (more )
Structure Level Pattern Image Note
TS23: embryo Present Regionally restricted 3A Expression is in many tissues.

Specimen 4A: embryonic day 15.0 (more )
Structure Level Pattern Image Note
TS23: skeletal muscle Present Regionally restricted 4A Expression is in fibroblasts that separate the individual myotubes.
TS23: embryo mesenchyme Very strong Regionally restricted 4A Expression is in the fascia between muscsles.

Specimen 4B: embryonic day 15.0 (more )
Structure Level Pattern Image Note
TS23: submandibular gland Present Regionally restricted 4B Expression is in the connective tissue surrounding the glandular epithelium.
TS23: submandibular gland primordium epithelium Absent 4B

Specimen 4C: embryonic day 15.0 (more )
Structure Level Pattern Image Note
TS23: intestine Present Regionally restricted 4C Expression is in the submucosa.
TS23: intestine epithelium Absent 4C

Specimen 4D: embryonic day 15.0 (more )
Structure Level Pattern Image Note
TS23: foot mesenchyme Strong Regionally restricted 4D Expression is in the subdermal mesenchyme and in fascia surrounding developing muscles.
TS23: foot joint Strong Regionally restricted 4D Expression is in joints between the cartilaginous bones of the digits.

Specimen 5A: embryonic day 15.0 (more )
Structure Level Pattern Image Note
TS23: cartilage Very strong Regionally restricted 5A Expression is in cartilage of the facial bones.
TS23: incisor dental papilla Very strong 5A
TS23: palatal shelf Very strong 5A
TS23: turbinate bone primordium Very strong 5A
TS23: dermis Present 5A
TS23: tongue mesenchyme Present Regionally restricted 5A Expression is in connective tissue.
TS23: incisor enamel organ Present Regionally restricted 5A Expression is in the stellate reticulum.
TS23: stellate reticulum Present 5A

Specimen 5B: embryonic day 15.0 (more )
Structure Level Pattern Image Note
TS23: trachea mesenchyme Very strong Regionally restricted 5B Expression is in mesenchyme between tracheal cartilage and epithelium.
TS23: larynx Very strong 5B
TS23: sternum Very strong 5B

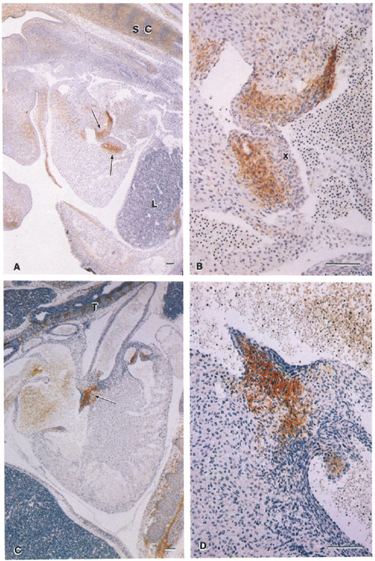
Specimen 6A: embryonic day 12.0 (more )
Structure Level Pattern Image Note
TS19: somite Present 6A Expression is in the cytoplasm of individual cells that are distributed evenly throughout each somite.

Specimen 6B: embryonic day 13.0 (more )
Structure Level Pattern Image Note
TS21: spinal cord meninges Very strong 6B
TS21: sclerotome Present Regionally restricted 6B Expression is in the anterior and posterior regions.

Specimen 6C: embryonic day 13.0 (more )
Structure Level Pattern Image Note
TS21: spinal cord meninges Strong 6C
TS21: vertebral cartilage condensation Present 6C
TS21: intervertebral disc Absent 6C

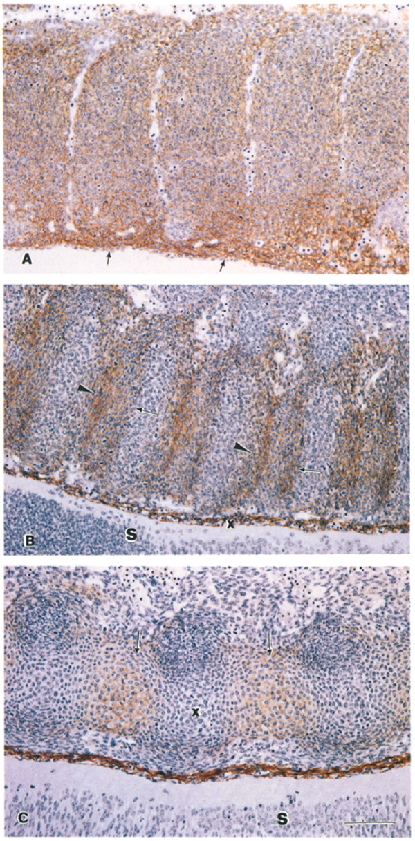
Specimen 7A: embryonic day 18.0 (more )
Structure Level Pattern Image Note
TS26: rib Very strong 7A

Specimen 7B: embryonic day 15.0 (more )
Structure Level Pattern Image Note
TS23: chondrocranium Very strong Regionally restricted 7B Expression is in membranous bone.

Specimen 8A: embryonic day 13.0 (more )
Structure Level Pattern Image Note
TS21: brain meninges Strong 8A

Specimen 8B: embryonic day 11.0 (more )
Structure Level Pattern Image Note
TS18: telencephalon Present Regionally restricted 8B Expression is in a single layer of elongated cells overlying neural tissue.

Specimen 8C: embryonic day 11.0 (more )
Structure Level Pattern Image Note
TS18: brain Present Regionally restricted 8C Expression is in the cytoplasm of the arachnoid endothelium and in cells of the pia mater.

Specimen 8D: embryonic day 15.0 (more )
Structure Level Pattern Image Note
TS23: meninges Present Regionally restricted 8D Expression is in the arachnoidal endothelium (weak) and in cells of the pia mater (strong).
TS23: brain Present Diffuse 8D

Specimen 9A: embryonic day 11.0-12.0 (more )
Structure Level Pattern Image Note
TS19: endocardial cushion Present 9A , 9B Expression is in the cytoplasm.
TS19: cardiac muscle tissue Absent 9B , 9A
TS19: endocardial lining Absent 9B , 9A

Specimen 9C: embryonic day 15.0 (more )
Structure Level Pattern Image Note
TS23: atrioventricular valve Strong 9D , 9C Staining is strong in the cytoplasm of the connective tissue of the valve.
TS23: trachea mesenchyme Present 9D , 9C

Specimen 10A: embryonic day 11.0 (more )
Structure Level Pattern Image Note
TS18: surface ectoderm Weak Regionally restricted 10A Expression is in the mesenchyme of the dermis in the area of vibrissa formation.

Specimen 10B: embryonic day 13.0 (more )
Structure Level Pattern Image Note
TS21: dermis Very strong Regionally restricted 10B Expression is in the mesenchyme underlying the epidermis of the lower jaw.

Specimen 10C: embryonic day 15.0 (more )
Structure Level Pattern Image Note
TS23: dermis Very strong Regionally restricted 10C Expression is in the mesenchyme of the dermis surrounding the developing hair follicles of the lower jaw.

Specimen 10D: embryonic day 18.0 (more )
Structure Level Pattern Image Note
TS26: dermis Absent 10D

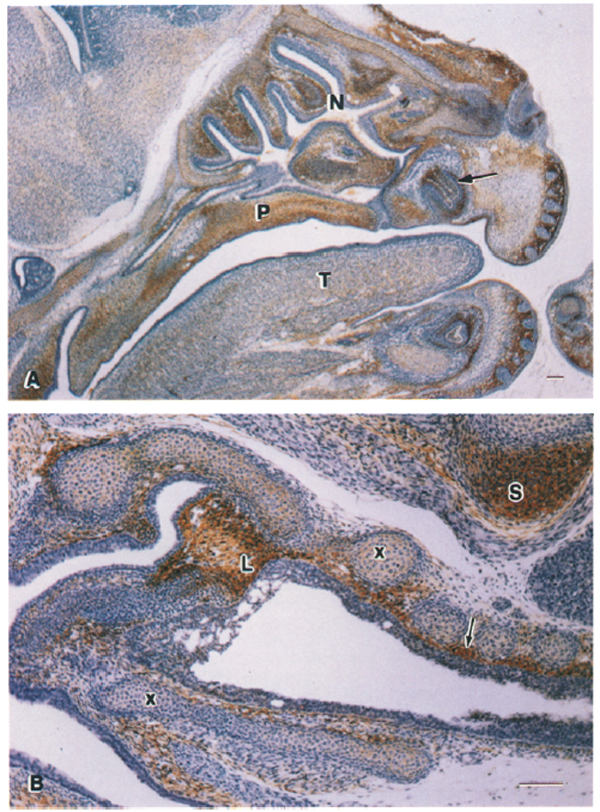
Specimen 11A: embryonic day 13.0 (more )
Note: Cap stage of tooth development.
Structure Level Pattern Image Note
TS21: lower jaw mesenchyme Weak Regionally restricted 11A Expression is in the mesenchyme adjacent to the incisor primordium.

Specimen 11B: embryonic day 15.0 (more )
Note: Bell stage of tooth development.
Structure Level Pattern Image Note
TS23: stellate reticulum Strong 11B
TS23: upper jaw incisor dental papilla Strong 11B
TS23: upper jaw incisor enamel organ Strong Regionally restricted 11B Expression is in the stellate reticulum.
TS23: nasal cavity Very strong 11B
TS23: upper jaw mesenchyme Present Regionally restricted 11B Expression is in tissue surrounding the capillaries that infiltrate the developing tooth under the outer dental epithelium.

Specimen not shown: embryonic day 18.0 (more )
Structure Level Pattern Image Note
TS26: tooth Present


Contributing Projects:
Mouse Genome Database (MGD), Gene Expression Database (GXD), Mouse Models of Human Cancer database (MMHCdb) (formerly Mouse Tumor Biology (MTB)), Gene Ontology (GO)
Citing These Resources
Funding Information
Warranty Disclaimer, Privacy Notice, Licensing, & Copyright
Send questions and comments to User Support.
last database update
12/30/2025
MGI 6.24
The Jackson Laboratory