Gene Expression Data
Assay Details
|
Assay
|
|
Reference:
|
J:62090
Gotz J, et al., Distinct role of protein phosphatase 2A subunit calpha in the regulation of E-cadherin and beta-catenin during development. Mech Dev. 2000 May;93(1-2):83-93
|
|
Assay type:
|
Immunohistochemistry
|
|
MGI Accession ID:
|
MGI:5762885
|
|
Gene symbol:
|
Cdh1
|
|
Gene name:
|
cadherin 1
|
|
Antibody:
|
anti-gp84
|
|
Detection system:
|
Biotinylated secondary antibody/[Strept]avidin coupled to horseradish peroxidase
|
|
|
Results
|
Specimen
3A:
embryonic day 6.5
(more )
Specimen
3A:
(close )
|
Genetic Background:
|
Not Specified
|
|
Age:
|
embryonic day 6.5
|
|
Sex:
|
Not Specified
|
|
Type:
|
section
|
|
Fixation:
|
4% Paraformaldehyde
|
|
Embedding:
|
Paraffin
|
| Structure |
Level |
Pattern |
Image |
Note |
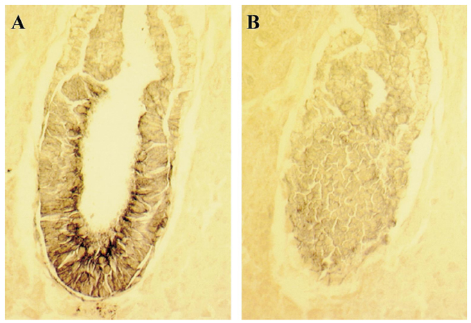
| TS9: embryo |
Present |
Widespread |
3A
|
Staining is associated with membranes.
|
Specimen
3A mother:
postnatal adult
(more )
Specimen
3A mother:
(close )
|
Genetic Background:
|
Not Specified
|
|
Age:
|
postnatal adult
|
|
Sex:
|
Female
|
|
Type:
|
section
|
|
Fixation:
|
4% Paraformaldehyde
|
|
Embedding:
|
Paraffin
|
Specimen
3B:
(close )
|
Genetic Background:
|
involves: 129
|
|
Mutant Allele(s):
|
Ppp2catm1Gotz/Ppp2catm1Gotz
|
|
Age:
|
embryonic day 6.5
|
|
Sex:
|
Not Specified
|
|
Type:
|
section
|
|
Fixation:
|
4% Paraformaldehyde
|
|
Embedding:
|
Paraffin
|
| Structure |
Level |
Pattern |
Image |
Note |
| TS9: embryo |
Weak |
|
3B
|
Expression was dispersed with almost no membrane association.
|
Specimen
3B mother:
(close )
|
Genetic Background:
|
involves: 129
|
|
Mutant Allele(s):
|
Ppp2catm1Gotz/Ppp2catm1Gotz
|
|
Age:
|
postnatal adult
|
|
Sex:
|
Female
|
|
Type:
|
section
|
|
Fixation:
|
4% Paraformaldehyde
|
|
Embedding:
|
Paraffin
|
|