About   Help   FAQ
Gene Expression Data
Assay Details
Assay
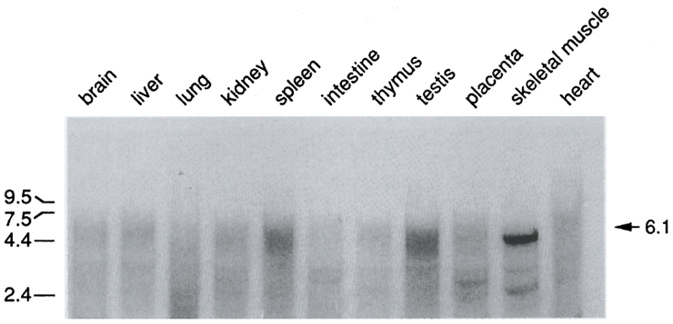
Reference: J:35622 Besser J, et al., Exclusive expression of the receptor tyrosine kinase MDK4 in skeletal muscle and the decidua. Mech Dev. 1996 Sep;59(1):41-52
Assay type: Northern blot
MGI Accession ID: MGI:5752527
Gene symbol: Musk
Gene name: muscle, skeletal, receptor tyrosine kinase
Probe: MDK4 probe1
Probe preparation: Double stranded labelled with P32 DNA
Visualized with: Autoradiography
Results
Image: 2 ©

 Sample Information Bands Other Sample Information
Lane AgeStructure 6.1 kb Amount Genetic BackgroundMutant Allele(s)Sex
brain P adult TS28: brain Absent 6 µg; poly-A+ RNA BALB/c Not Specified
liver P adult TS28: liver Absent 6 µg; poly-A+ RNA BALB/c Not Specified
lung P adult TS28: lung Absent 6 µg; poly-A+ RNA BALB/c Not Specified
kidney P adult TS28: metanephros Absent 6 µg; poly-A+ RNA BALB/c Not Specified
spleen P adult TS28: spleen Absent 6 µg; poly-A+ RNA BALB/c Not Specified
intestine P adult TS28: intestine Absent 6 µg; poly-A+ RNA BALB/c Not Specified
thymus P adult TS28: thymus Absent 6 µg; poly-A+ RNA BALB/c Not Specified
testis P adult TS28: testis Absent 6 µg; poly-A+ RNA BALB/c Male
placenta P adult TS28: placenta Absent 6 µg; poly-A+ RNA BALB/c Female
skeletal muscle P adult TS28: skeletal muscle Present 6 µg; poly-A+ RNA BALB/c Not Specified
heart P adult TS28: heart Absent 6 µg; poly-A+ RNA BALB/c Not Specified

Contributing Projects:
Mouse Genome Database (MGD), Gene Expression Database (GXD), Mouse Models of Human Cancer database (MMHCdb) (formerly Mouse Tumor Biology (MTB)), Gene Ontology (GO)
Citing These Resources
Funding Information
Warranty Disclaimer, Privacy Notice, Licensing, & Copyright
Send questions and comments to User Support.
last database update
12/30/2025
MGI 6.24
The Jackson Laboratory