About   Help   FAQ
Gene Expression Data
Assay Details
Assay
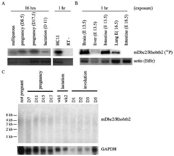
Reference: J:94055 St-Pierre B, et al., High expression during neurogenesis but not mammogenesis of a murine homologue of the Deleted in Breast Cancer2/Rhobtb2 tumor suppressor. Gene Expr Patterns. 2004 Dec;5(2):245-251
Assay type: RT-PCR
MGI Accession ID: MGI:5752004
Gene symbol: Rhobtb2
Gene name: Rho-related BTB domain containing 2
Probe: EZ335, EZ334
Assay notes: Transcripts were Southern blotted with probe: MGI:5752001.
Results
Image: 2A ©

 Sample Information Bands Other Sample Information
Lane AgeStructure Size Not Specified Amount Genetic BackgroundMutant Allele(s)Sex
nulliparous P TS28: mammary gland Weak Not Specified; total RNA Not Specified Female
pregnancy (D8.5) P TS28: mammary gland Weak Not Specified; total RNA Not Specified Female
pregnancy (D17.5) P TS28: mammary gland Weak Not Specified; total RNA Not Specified Female
lactation (D11) P TS28: mammary gland Weak Not Specified; total RNA Not Specified Female
HC11 Cultured cells: no data stored
RT- Control

Contributing Projects:
Mouse Genome Database (MGD), Gene Expression Database (GXD), Mouse Models of Human Cancer database (MMHCdb) (formerly Mouse Tumor Biology (MTB)), Gene Ontology (GO)
Citing These Resources
Funding Information
Warranty Disclaimer, Privacy Notice, Licensing, & Copyright
Send questions and comments to User Support.
last database update
01/06/2026
MGI 6.24
The Jackson Laboratory