About   Help   FAQ
Gene Expression Data
Assay Details
Assay
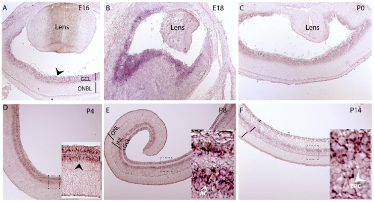
Reference: J:203004 Karunakaran DK, et al., The expression analysis of Sfrs10 and Celf4 during mouse retinal development. Gene Expr Patterns. 2013 Dec;13(8):425-36
Assay type: RNA in situ
MGI Accession ID: MGI:5749753
Gene symbol: Celf4
Gene name: CUGBP, Elav-like family member 4
Probe: Celf4 probe1
Probe preparation: Antisense labelled with digoxigenin RNA
Results
Specimen 7A: embryonic day 16.0 (more )
Structure Level Pattern Image Note
TS24: retina Present Regionally restricted 7A Expression in newly differentiating ganglion cells.

Specimen 7B: embryonic day 18.0 (more )
Structure Level Pattern Image Note
TS26: retina Present Regionally restricted 7B Expression in newly differentiating ganglion cells.

Specimen 7C: postnatal day 0 (more )
Structure Level Pattern Image Note
TS27: retina ganglion cell layer Present Regionally restricted 7C Expression in newly differentiating ganglion cells.

Specimen 7D: postnatal day 4 (more )
Structure Level Pattern Image Note
TS28: retina Present Regionally restricted 7D Expression in newly differentiating amacrine cells.

Specimen 7E: postnatal day 8 (more )
Structure Level Pattern Image Note
TS28: retina Present Regionally restricted 7E Expression in newly differentiating bipolar cells.

Specimen 7F: postnatal day 14 (more )
Structure Level Pattern Image Note
TS28: retina Present Regionally restricted 7F Authors report expression pattern maintained at P14.


Contributing Projects:
Mouse Genome Database (MGD), Gene Expression Database (GXD), Mouse Models of Human Cancer database (MMHCdb) (formerly Mouse Tumor Biology (MTB)), Gene Ontology (GO)
Citing These Resources
Funding Information
Warranty Disclaimer, Privacy Notice, Licensing, & Copyright
Send questions and comments to User Support.
last database update
12/30/2025
MGI 6.24
The Jackson Laboratory