About   Help   FAQ
Gene Expression Data
Assay Details
Assay
Reference: J:86964 Andrieu D, et al., Expression of the Prader-Willi gene Necdin during mouse nervous system development correlates with neuronal differentiation and p75NTR expression. Gene Expr Patterns. 2003 Dec;3(6):761-5
Assay type: RNA in situ
MGI Accession ID: MGI:5700153
Gene symbol: Ngfr
Gene name: nerve growth factor receptor (TNFR superfamily, member 16)
Probe: p75NTR probe3
Probe preparation: Antisense labelled with digoxigenin RNA
Visualized with: Alkaline phosphatase
Results
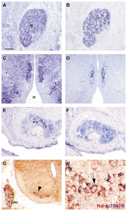
Specimen 3B: embryonic day 12.5 (more )
Structure Level Pattern Image Note
TS20: trigeminal ganglion Present 3B

Specimen 3D: embryonic day 12.5 (more )
Structure Level Pattern Image Note
TS20: pons Present Regionally restricted 3D Expression in the medial raphe nucleus.

Specimen 3F: embryonic day 12.5 (more )
Structure Level Pattern Image Note
TS20: vomeronasal organ Present 3F

Specimen 3G: embryonic day 13.0 (more )
Note: Double labeled: blue - Ngfr; brown - Ndn (assay MGI:5700177).
Structure Level Pattern Image Note
TS21: dorsal root ganglion Present 3G
TS21: ventral grey horn Present Regionally restricted 3G Expression in developing motor neuron precursors.

Specimen 3H: postnatal day 2 (more )
Note: Double labeled: blue - Ngfr; brown - Ndn (assay MGI:5700177).
Structure Level Pattern Image Note
TS27: pons Present 3H


Contributing Projects:
Mouse Genome Database (MGD), Gene Expression Database (GXD), Mouse Models of Human Cancer database (MMHCdb) (formerly Mouse Tumor Biology (MTB)), Gene Ontology (GO)
Citing These Resources
Funding Information
Warranty Disclaimer, Privacy Notice, Licensing, & Copyright
Send questions and comments to User Support.
last database update
12/30/2025
MGI 6.24
The Jackson Laboratory