About   Help   FAQ
Gene Expression Data
Assay Details
Assay
Reference: J:82504 Thomas S, et al., PCP4 is highly expressed in ectoderm and particularly in neuroectoderm derivatives during mouse embryogenesis. Gene Expr Patterns. 2003 Mar;3(1):93-7
Assay type: RNA in situ
MGI Accession ID: MGI:5697375
Gene symbol: Pcp4
Gene name: Purkinje cell protein 4
Probe: Pcp4 cDNA3
Probe preparation: Antisense labelled with S35 RNA
Visualized with: Autoradiography
Results
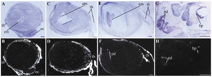
Specimen 1A/B: embryonic day 7.5 (more )
Structure Level Pattern Image Note
TS11: ectoplacental cone Strong 1A/B
TS11: extraembryonic ectoderm Strong 1A/B
TS11: trophectoderm Strong 1A/B
TS11: embryo Absent 1A/B

Specimen 1C/D: embryonic day 8.5 (more )
Structure Level Pattern Image Note
TS13: extraembryonic component Strong Regionally restricted 1C/D Expression is in the extraembryonic ectoderm.
TS13: ectoplacental cone Strong 1C/D
TS13: trophectoderm Strong 1C/D
TS13: embryo Absent 1C/D

Specimen 1E/F: embryonic day 9.5 (more )
Structure Level Pattern Image Note
TS15: trophectoderm Strong 1E/F
TS15: dorsal root ganglion Present 1E/F

Specimen 1G/H: embryonic day 9.5 (more )
Structure Level Pattern Image Note
TS15: trophectoderm Strong 1G/H
TS15: dorsal root ganglion Present 1G/H
TS15: trigeminal preganglion Present 1G/H
TS15: future hindbrain floor plate Present Regionally restricted 1G/H Expression is in post-mitotic cells.

Specimen 2A/B: embryonic day 10.5 (more )
Structure Level Pattern Image Note
TS17: neural tube lateral wall Strong Regionally restricted 2A/B Expression is in post-mitotic cells in the basal and alar plates.
TS17: dorsal root ganglion Present 2A/B
TS17: neural tube floor plate Present 2A/B

Specimen 2C/D: embryonic day 10.5 (more )
Structure Level Pattern Image Note
TS17: cranial ganglion Strong 2C/D
TS17: diencephalon lateral wall ventricular layer Strong 2C/D
TS17: hindbrain floor plate Strong 2C/D

Specimen 2E/F: embryonic day 10.5 (more )
Structure Level Pattern Image Note
TS17: hindbrain floor plate Strong 2E/F

Specimen 2G/H: embryonic day 10.5 (more )
Structure Level Pattern Image Note
TS17: diencephalon floor plate Present 2G/H

Specimen 2I: embryonic day 11.0-11.5 (more )
Structure Level Pattern Image Note
TS18: hindbrain Strong Regionally restricted 2I Expression is in post-mitotic cells in rhombomeres 4, 5 and further.
TS18: cranial ganglion Strong 2I
TS18: dorsal root ganglion Strong 2I
TS18: extraembryonic ectoderm Weak 2I

Specimen 2J: embryonic day 11.0-11.5 (more )
Structure Level Pattern Image Note
TS18: hindbrain Strong Regionally restricted 2J Expression is in post-mitotic cells in rhombomeres 4, 5 and further.

Specimen 2K/L: embryonic day 12.5 (more )
Structure Level Pattern Image Note
TS20: dorsal root ganglion Present 2K/L
TS20: spinal cord floor plate Present 2K/L
TS20: alar columns Present Regionally restricted 2K/L Expression is in post-mitotic cells.
TS20: basal columns Present Regionally restricted 2K/L Expression is in post-mitotic cells.

Specimen 3A/B: embryonic day 14.5 (more )
Structure Level Pattern Image Note
TS22: cerebral cortex Present Regionally restricted 3A/B Expression is in post-mitotic cells.
TS22: diencephalon Present Regionally restricted 3A/B Expression is in the dorsal pretectal area.
TS22: thalamus Present Regionally restricted 3A/B Expression is in the dorsal thalamus.
TS22: cerebellum Present 3A/B
TS22: cranial ganglion Present 3A/B
TS22: superior colliculus Present 3A/B
TS22: medulla oblongata Present Regionally restricted 3A/B

Specimen 3C/D: embryonic day 17.5 (more )
Structure Level Pattern Image Note
TS25: diencephalon Very strong Regionally restricted 3C/D Expression is in the mammillary body.
TS25: epithalamus Very strong 3C/D
TS25: medulla oblongata Very strong 3C/D
TS25: superior colliculus Very strong 3C/D
TS25: cerebellum Very strong Regionally restricted 3C/D Expression is in the Purkinje cell layer.
TS25: iris Strong 3C/D
TS25: lens Strong 3C/D
TS25: neural retina Present Regionally restricted 3C/D Expression is in the ganglion cell layer.
TS25: cochlea Present Regionally restricted 3C/D Expression is in hairy cells.
TS25: cochlear ganglion Present 3C/D
TS25: eye Present 3C/D
TS25: tooth Present 3C/D

Specimen 3E/F: embryonic day 17.5 (more )
Structure Level Pattern Image Note
TS25: iris Strong 3E/F
TS25: lens Strong 3E/F
TS25: neural retina Present Regionally restricted 3E/F Expression is in the ganglion cell layer.

Specimen 3G/H: embryonic day 17.5 (more )
Structure Level Pattern Image Note
TS25: cochlea Present Regionally restricted 3G/H Expression is in hairy cells.
TS25: cochlear ganglion Present 3G/H

Specimen 3I/J: embryonic day 17.5 (more )
Structure Level Pattern Image Note
TS25: lower jaw incisor enamel organ Present 3I/J
TS25: lower jaw incisor epithelium Present Regionally restricted 3I/J Expression is in odontoblasts.

Specimen 3K/L: embryonic day 17.5 (more )
Structure Level Pattern Image Note
TS25: adrenal medulla Present 3K/L
TS25: glomerular tuft Present 3K/L

Specimen 3M: embryonic day 17.5 (more )
Note: (N/O) is a higher magnification of the boxed area in (M).
Structure Level Pattern Image Note
TS25: detrusor muscle of bladder Present 3M
TS25: ganglion Present 3M
TS25: myenteric nerve plexus Present 3N/O , 3M Expression is stronger in the hindgut.

Specimen 3P/Q: postnatal day 0 (more )
Note: (R/S) are higher magnifications of the boxed areas in (P/Q).
Structure Level Pattern Image Note
TS27: cerebellum Purkinje cell layer Strong 3P/Q
TS27: mammillary body Strong 3P/Q
TS27: neurohypophysis Strong 3P/Q , 3R/S
TS27: main olfactory bulb granule cell layer Present Regionally restricted 3P/Q Expression is in the internal granule layer.
TS27: caudate-putamen Present 3P/Q
TS27: hypothalamus Present 3P/Q
TS27: superior colliculus Present 3P/Q
TS27: thalamus Present 3P/Q
TS27: adenohypophysis Present 3R/S , 3P/Q
TS27: forebrain Present Regionally restricted 3P/Q Expression is in the basal forebrain.
TS27: cerebral cortex Weak 3P/Q

Specimen not shown: embryonic day 17.5 (more )
Structure Level Pattern Image Note
TS25: hair follicle Present


Contributing Projects:
Mouse Genome Database (MGD), Gene Expression Database (GXD), Mouse Models of Human Cancer database (MMHCdb) (formerly Mouse Tumor Biology (MTB)), Gene Ontology (GO)
Citing These Resources
Funding Information
Warranty Disclaimer, Privacy Notice, Licensing, & Copyright
Send questions and comments to User Support.
last database update
01/20/2026
MGI 6.24
The Jackson Laboratory