About   Help   FAQ
Gene Expression Data
Assay Details
Assay
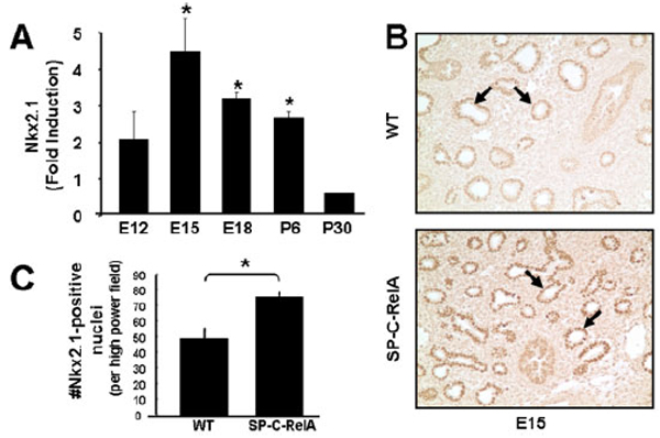
Reference: J:130988 Londhe VA, et al., NF-kB induces lung maturation during mouse lung morphogenesis. Dev Dyn. 2008 Feb;237(2):328-38
Assay type: RT-PCR
MGI Accession ID: MGI:5688355
Gene symbol: Nkx2-1
Gene name: NK2 homeobox 1
Probe: Nkx2.1-pE, Nkx2.1-pF
Assay notes: This assay is a quantitative RT-PCR. Actb was used as the standard.
Results
Image: 5A ©

 Sample Information Bands Other Sample Information
Lane AgeStructure Size Not Specified Amount Genetic BackgroundMutant Allele(s)Sex
E12 E12.0 TS20: lung Present 1 µg; total RNA Not Specified Not Specified
E15 E15.0 TS23: lung Present 1 µg; total RNA Not Specified Not Specified
E18 E18.0 TS26: lung Present 1 µg; total RNA Not Specified Not Specified
P6 P6 TS28: lung Present 1 µg; total RNA Not Specified Not Specified
P30 P30 TS28: lung Present 1 µg; total RNA Not Specified Not Specified

Contributing Projects:
Mouse Genome Database (MGD), Gene Expression Database (GXD), Mouse Models of Human Cancer database (MMHCdb) (formerly Mouse Tumor Biology (MTB)), Gene Ontology (GO)
Citing These Resources
Funding Information
Warranty Disclaimer, Privacy Notice, Licensing, & Copyright
Send questions and comments to User Support.
last database update
01/28/2026
MGI 6.24
The Jackson Laboratory