About   Help   FAQ
Gene Expression Data
Assay Details
Assay
Reference: J:163633 Fijalkowska I, et al., Expression of the transcription factor, TFII-I, during post-implantation mouse embryonic development. BMC Res Notes. 2010;3:203
Assay type: Immunohistochemistry
MGI Accession ID: MGI:5619503
Gene symbol: Gtf2i
Gene name: general transcription factor II I
Antibody: TFII-I antibody (Ab 3588)
Detection system: Biotinylated secondary antibody/[Strept]avidin
Results
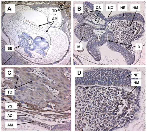
Specimen 1A: embryonic day 8.0 (more )
Structure Level Pattern Image Note
TS12: amnion Strong 1A
TS12: trophectoderm Strong 1A
TS28: placenta Strong 1A
TS12: embryo mesenchyme Present 1A Cytoplasmic staining.
TS12: surface ectoderm Present 1A Cytoplasmic staining.

Specimen 1B: embryonic day 8.0 (more )
Structure Level Pattern Image Note
TS12: embryo mesenchyme Present 1B Cytoplasmic staining.
TS12: neural ectoderm Present 1B Cytoplasmic staining.
TS12: amnion Present 1B

Specimen 1C: embryonic day 8.0 (more )
Structure Level Pattern Image Note
TS12: amnion Present 1C
TS12: trophectoderm Present 1C
TS12: yolk sac Present 1C

Specimen 1D: embryonic day 8.0 (more )
Structure Level Pattern Image Note
TS12: future brain Present 1D Cytoplasmic staining.
TS12: head mesenchyme Present 1D Cytoplasmic staining.

Specimen 2A: embryonic day 9.0 (more )
Structure Level Pattern Image Note
TS14: future brain Very strong 2A Nuclear staining, some diffuse cytoplasmic staining.
TS14: embryo Present Regionally restricted 2A

Specimen 2B: embryonic day 9.0 (more )
Structure Level Pattern Image Note
TS14: optic vesicle Present Regionally restricted 2B Expression is in the inner and outer retinal layer.
TS14: eye Present Regionally restricted 2B Expression is in the lens primordium.

Specimen 2C: embryonic day 9.0 (more )
Structure Level Pattern Image Note
TS14: neural tube Strong 2C Nuclear staining.

Specimen 2D: embryonic day 9.0 (more )
Note: Inset shows a higher magnification.
Structure Level Pattern Image Note
TS14: future brain Strong 2D , 2D inset Nuclear staining, some diffuse cytoplasmic staining.

Specimen 2E: embryonic day 12.0 (more )
Structure Level Pattern Image Note
TS20: cerebral cortex Present 2E

Specimen 2G: embryonic day 12.0 (more )
Structure Level Pattern Image Note
TS20: nasopharynx Present 2G Cytoplasmic staining.

Specimen 3A: embryonic day 11.0 (more )
Structure Level Pattern Image Note
TS18: liver Weak Diffuse 3A Cytoplasmic staining.

Specimen 3B: embryonic day 15.0 (more )
Structure Level Pattern Image Note
TS23: diaphragm Present 3B
TS23: lung Present 3B
TS23: liver Weak Diffuse 3B

Specimen 4A: embryonic day 12.0 (more )
Structure Level Pattern Image Note
TS20: heart Strong Uniform 4A Cytoplasmic staining.

Specimen 4B: embryonic day 12.0 (more )
Structure Level Pattern Image Note
TS20: lung epithelium Strong 4B
TS20: lung Present 4B
TS20: lung vascular element Present Regionally restricted 4B Expression is in endothelial cells.

Specimen 4C: embryonic day 16.0 (more )
Structure Level Pattern Image Note
TS24: lung Strong 4C Nuclear staining in developing air sacs.
TS24: lung epithelium Present 4C Nuclear staining.
TS24: lung vascular element Present Regionally restricted 4C Nuclear expression in endothelial cells.

Specimen 4E: embryonic day 15.0 (more )
Structure Level Pattern Image Note
TS23: lung Present 4E Expression is in developing air sacs.
TS23: lung vascular element Present Regionally restricted 4E Expression is in endothelial cells.

Specimen 5A: embryonic day 15.0 (more )
Structure Level Pattern Image Note
TS23: epidermis Strong 5A
TS23: dermis Strong 5A Expression is both nuclear and cytoplasmic in the superficial dermal layers in smooth muscle and in underlying mesenchyme and vessels.
TS23: blood vessel Present Regionally restricted 5A Expression is in endothelial cells in the skin.

Specimen 5B: embryonic day 15.0 (more )
Structure Level Pattern Image Note
TS23: submandibular gland primordium Strong 5B

Specimen 5C: embryonic day 16.0 (more )
Structure Level Pattern Image Note
TS24: epidermis Strong 5C
TS24: dermis Strong 5C Expression is both nuclear and cytoplasmic in the superficial dermal layers, in smooth muscle and in underlying mesenchyme and vessels.
TS24: blood vessel Present Regionally restricted 5C Expression is in endothelial cells in the skin.

Specimen 5D: embryonic day 16.0 (more )
Note: Inset shows a higher magnification.
Structure Level Pattern Image Note
TS24: intestine Strong Regionally restricted 5D , 5D inset Expression is both nuclear and cytoplasmic in the villi.

Specimen not shown E11: embryonic day 11.0 (more )
Structure Level Pattern Image Note
TS18: lung epithelium Strong
TS18: heart Strong Uniform
TS18: blood vessel Present
TS18: surface ectoderm Present

Specimen not shown A: postnatal adult (more )
Structure Level Pattern Image Note
TS28: alveolar sac Present
TS28: lung vascular element Present


Contributing Projects:
Mouse Genome Database (MGD), Gene Expression Database (GXD), Mouse Models of Human Cancer database (MMHCdb) (formerly Mouse Tumor Biology (MTB)), Gene Ontology (GO)
Citing These Resources
Funding Information
Warranty Disclaimer, Privacy Notice, Licensing, & Copyright
Send questions and comments to User Support.
last database update
12/30/2025
MGI 6.24
The Jackson Laboratory