About   Help   FAQ
Gene Expression Data
Assay Details
Assay
Reference: J:81327 Downs KM, et al., Multiple developmental roles of Ahnak are suggested by localization to sites of placentation and neural plate fusion in the mouse conceptus. Mech Dev. 2002 Dec;119 Suppl 1:S31-8
Assay type: Immunohistochemistry
MGI Accession ID: MGI:5603121
Gene symbol: Ahnak
Gene name: AHNAK nucleoprotein
Antibody: KIS antibody
Detection system: Secondary antibody
Results
Specimen 1A: embryonic day 7.5 (more )
Note: Neural plate/late allantoic bud stage.
Structure Level Pattern Image Note
TS11: allantois Present Regionally restricted 1A Expression is in the outer cells of the allantois and some distal allantoic core cells.
TS11: amnion mesoderm Present 1A
TS11: blood island Present 1A
TS11: yolk sac mesoderm Present 1A

Specimen 1B: embryonic day 8.0 (more )
Note: 2 somites.
Structure Level Pattern Image Note
TS12: allantois Present Regionally restricted 1B Expression is in the outer cells of the allantois and some distal and basal allantoic core cells.
TS12: chorion ectoderm Present 1B
TS12: chorion mesenchyme Present 1B

Specimen 1C: embryonic day 8.5 (more )
Note: 7 somites.
Structure Level Pattern Image Note
TS13: chorion Present Regionally restricted 1C Expression is in the mesothelium.

Specimen 1D: embryonic day 9.5 (more )
Note: 18 somites.
Structure Level Pattern Image Note
TS15: extraembryonic blood vessel Present Regionally restricted 1D Expression is in the endothelium of the nascent allantoic vasculature.
TS15: allantois Present Regionally restricted 1D Expression is in allantoic core cells.
TS15: extraembryonic component Present Regionally restricted 1D Expression is in mesothelium.

Specimen 1E: embryonic day 9.5 (more )
Note: 18 somites.
Structure Level Pattern Image Note
TS15: chorioallantoic placenta Strong Regionally restricted 1E Expression is in peripheral intermingled chorio-allantoic mesoderm.
TS15: allantois Strong Regionally restricted 1E Expression is at the periphery of the chorio-allantoic fusion junction, where adhesion between allantoic and chorionic mesothelial cells secures the umbilicus onto the chorionic disk.
TS15: chorionic plate Strong Regionally restricted 1E Expression is at the periphery of the chorio-allantoic fusion junction, where adhesion between allantoic and chorionic mesothelial cells secures the umbilicus onto the chorionic disk.

Specimen 1G: embryonic day 9.5 (more )
Note: 27 somites. Double labeled: brown - Ahnak; blue - Kdr (assay MGI:5603122).
Structure Level Pattern Image Note
TS15: trophectoderm Present Regionally restricted 1G Expression is in syncytiotrophoblasts and in some trophoblast derivatives of the basal zone.

Specimen 1H: embryonic day 9.5 (more )
Note: 27 somites. Double labeled: brown - Ahnak; blue - Kdr (assay MGI:5603122).
Structure Level Pattern Image Note
TS15: trophectoderm Present Regionally restricted 1H Expression is in syncytiotrophoblasts and in some trophoblast derivatives of the basal zone.

Specimen 1I: embryonic day 9.5 (more )
Note: 27 somites. Double labeled: brown - Ahnak; blue - Kdr (assay MGI:5603122).
Structure Level Pattern Image Note
TS15: trophectoderm Present Regionally restricted 1I Expression is in syncytiotrophoblasts.

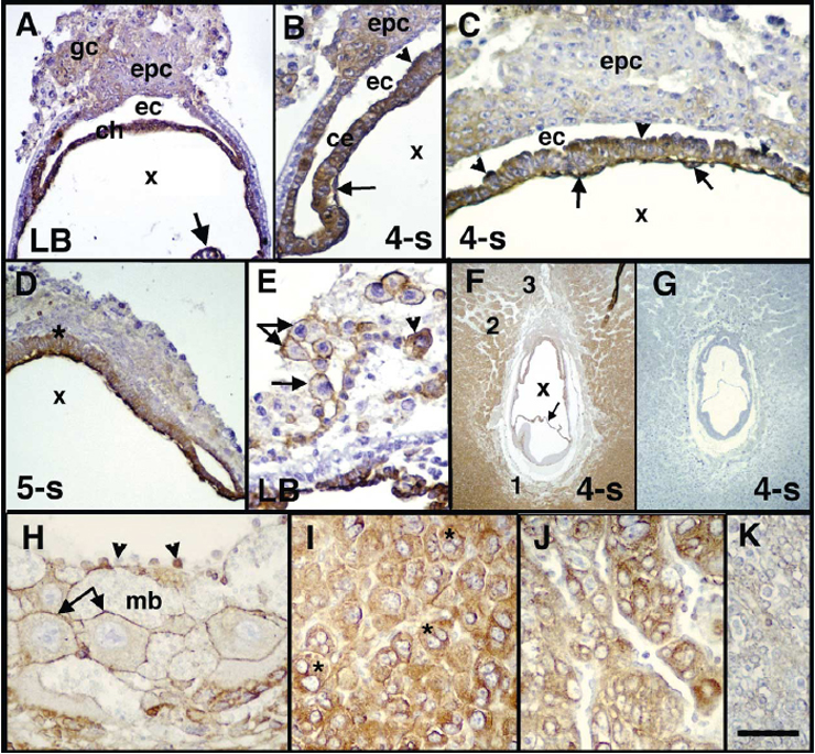
Specimen 2A: embryonic day 7.5 (more )
Note: Neural plate/late allantoic bud stage.
Structure Level Pattern Image Note
TS11: chorion ectoderm Present Regionally restricted 2A
TS11: chorion mesoderm Present Regionally restricted 2A
TS11: ectoplacental cone Weak 2A
TS11: primary trophoblast giant cell Weak Single cells 2A

Specimen 2B: embryonic day 8.25 (more )
Note: 4 somites.
Structure Level Pattern Image Note
TS13: chorion Present Regionally restricted 2B Expression is in chorionic mesoderm and in the cytoplasm of peripheral chorionic ectoderm cells.

Specimen 2C: embryonic day 8.25 (more )
Note: 4 somites.
Structure Level Pattern Image Note
TS13: chorion Present Regionally restricted 2C Expression is in the chorionic mesoderm and the apical edge of peripheral chorionic ectoderm cells.

Specimen 2D: embryonic day 8.25 (more )
Note: 5 somites.
Structure Level Pattern Image Note
TS13: chorion Present Regionally restricted 2D Expression is in chorionic ectoderm.

Specimen 2E: embryonic day 7.5 (more )
Note: Neural plate/late allantoic bud stage.
Structure Level Pattern Image Note
TS11: trophectoderm Present Regionally restricted 2E There is peripheral staining in secondary trophoblast giant cells.

Specimen 2F: embryonic day 8.25 (more )
Note: 4 somites.
Structure Level Pattern Image Note
TS13: extraembryonic component Present Single cells 2H , 2F Expression is in some parietal endoderm cells.
TS13: trophoblast giant cell Present 2H , 2F

Specimen 2F mother: postnatal adult (more )
Note: H and I are higher magnifications of the decidua capsularis in F. J is a higher magnification of the decidua vascularis in F. K is a higher magnification of the decidua basalis in F.
Structure Level Pattern Image Note
TS28: decidua capsularis Present 2F , 2H , 2I
TS28: decidua basalis Weak 2F , 2K
TS28: decidua Present Regionally restricted 2J , 2F Expression is in the decidua vascularis.

Specimen not shown: embryonic day 8.25 (more )
Note: 7 somites.
Structure Level Pattern Image Note
TS13: hindgut diverticulum endoderm Present

Specimen 3A: embryonic day 7.5 (more )
Note: Neural plate/late allantoic bud stage.
Structure Level Pattern Image Note
TS11: embryo mesoderm Present Regionally restricted 3A Expression is in the anterior mesoderm.
TS11: node Present 3A
TS11: primitive endoderm Present 3A
TS11: neural ectoderm Absent 3A

Specimen 3B: embryonic day 8.0 (more )
Note: Early headfold stage.
Structure Level Pattern Image Note
TS12: head mesenchyme Present 3B
TS12: heart Present 3B
TS12: neural ectoderm Absent 3B
TS12: primitive streak Absent 3B
TS12: somite Absent 3B

Specimen 3C: embryonic day 8.25 (more )
Note: 3 somites.
Structure Level Pattern Image Note
TS13: embryo endoderm Present 3C
TS13: heart Present 3C
TS13: mesenchyme derived from head mesoderm Present 3C
TS13: embryo Present Regionally restricted 3C Expression is absent in the posterior region.
TS13: neural ectoderm Absent 3C
TS13: somite Absent 3C

Specimen 3D: embryonic day 8.25 (more )
Note: 5 somites.
Structure Level Pattern Image Note
TS13: head mesenchyme Present 3D
TS13: heart Present 3D

Specimen 3E: embryonic day 8.25 (more )
Note: 5 somites.
Structure Level Pattern Image Note
TS13: trunk Present Regionally restricted 3E Expression is in the endodermal component of the trunk.
TS13: neural ectoderm Present Regionally restricted 3E Expression is at the posterior surface of the trunk in surface ectoderm and/or neurectoderm.
TS13: surface ectoderm Present Regionally restricted 3E Expression is at the posterior surface of the trunk in surface ectoderm and/or neurectoderm.
TS13: primitive streak Absent 3E
TS13: somite Absent 3E

Specimen 3F: embryonic day 8.5 (more )
Note: 7 somites.
Structure Level Pattern Image Note
TS13: foregut diverticulum endoderm Present 3F
TS13: head mesenchyme Present 3F
TS13: heart Present 3F
TS13: surface ectoderm Present Regionally restricted 3F Expression is in the surface ectoderm overlying the hindbrain.

Specimen 3G: embryonic day 9.0 (more )
Note: 16 somites.
Structure Level Pattern Image Note
TS14: future midbrain Present Regionally restricted 3G Expression is in the dorsal tips prior to cranial fold closure.

Specimen 3H: embryonic day 9.0 (more )
Note: 16 somites.
Structure Level Pattern Image Note
TS14: future midbrain Present Regionally restricted 3H Expression is in the dorsal tips during closure.

Specimen 3I: embryonic day 9.0 (more )
Note: 16 somites.
Structure Level Pattern Image Note
TS14: future midbrain Present Regionally restricted 3I Expression is in the dorsal tips during closure.

Specimen 3J: embryonic day 9.0 (more )
Note: 16 somites.
Structure Level Pattern Image Note
TS14: future midbrain Present Regionally restricted 3J Expression is in the dorsal tips after closure.

Specimen 4A: embryonic day 8.5-9.0 (more )
Note: 8 somites.
Structure Level Pattern Image Note
TS14: future spinal cord neural plate Present Regionally restricted 4A Expression is at the peripheral edges of the flattened neural plate.
TS14: surface ectoderm Present Regionally restricted 4A Expression is in the surface ectoderm overlying the neural folds.
TS14: future spinal cord neural crest Present 4A

Specimen 4B: embryonic day 8.5-9.0 (more )
Note: 8 somites.
Structure Level Pattern Image Note
TS14: future spinal cord neural fold Present Regionally restricted 4B Expression is at the dorsal tips.
TS14: surface ectoderm Present Regionally restricted 4B Expression is in the surface ectoderm overlying the neural folds.
TS14: future spinal cord neural crest Present 4B

Specimen 4C: embryonic day 8.5-9.0 (more )
Note: 8 somites.
Structure Level Pattern Image Note
TS14: future spinal cord neural fold Very strong Regionally restricted 4C Expression is at the dorsal tips.

Specimen 4D: embryonic day 8.5-9.0 (more )
Note: 8 somites.
Structure Level Pattern Image Note
TS14: neural tube Very strong Regionally restricted 4D Expression is dorsal.
TS14: surface ectoderm Present 4D

Specimen 4E: embryonic day 8.5-9.0 (more )
Note: 8 somites.
Structure Level Pattern Image Note
TS14: neural tube Present Regionally restricted 4E Expression is dorsal and strong at the seam of closure.
TS14: notochord Strong 4E
TS14: surface ectoderm Present 4E Expression is in the surface ectoderm overlying the neural tube.

Specimen 4F: embryonic day 9.5 (more )
Note: 19 somites.
Structure Level Pattern Image Note
TS15: neural tube Present Regionally restricted 4F Expression is at the distal edges of the flat neural plate.
TS15: surface ectoderm Present Regionally restricted 4F Expression is in the surface ectoderm overlying the neural folds.

Specimen 4G: embryonic day 9.5 (more )
Note: 19 somites.
Structure Level Pattern Image Note
TS15: neural tube Present 4G Expression is at the distal edges of the closing neural plate.
TS15: surface ectoderm Present Regionally restricted 4G Expression is in the surface ectoderm overlying the closing neural folds.

Specimen 4H: embryonic day 9.5 (more )
Note: 19 somites.
Structure Level Pattern Image Note
TS15: neural tube Present Regionally restricted 4H Expression is at the distal edges of the closing neural plate.
TS15: surface ectoderm Present Regionally restricted 4H Expression is in the surface ectoderm overlying the closing neural folds.

Specimen 4I: embryonic day 9.5 (more )
Note: 19 somites.
Structure Level Pattern Image Note
TS15: neural tube Present Regionally restricted 4I Expression is at the distal edges of the closing neural plate.
TS15: surface ectoderm Present Regionally restricted 4I Expression is in the surface ectoderm overlying the neural tube.

Specimen 4J: embryonic day 9.5 (more )
Note: 19 somites.
Structure Level Pattern Image Note
TS15: neural tube Present Regionally restricted 4J Expression is dorsal.
TS15: surface ectoderm Present Regionally restricted 4J Expression is in the surface ectoderm overlying the neural tube.

Specimen 4K: embryonic day 10.0 (more )
Note: 27 somites.
Structure Level Pattern Image Note
TS16: neural tube Present Regionally restricted 4K Expression is at the dorsal edges of the closing neural plate.
TS16: surface ectoderm Present Regionally restricted 4K Expression is in the surface ectoderm overlying the neural folds.

Specimen 4L: embryonic day 10.0 (more )
Note: 27 somites.
Structure Level Pattern Image Note
TS16: neural tube Present Regionally restricted 4L Expression is at the dorsal edges of the closing neural plate.
TS16: surface ectoderm Present Regionally restricted 4L Expression is in the surface ectoderm overlying the closing neural folds.

Specimen 4M: embryonic day 10.0 (more )
Note: 27 somites.
Structure Level Pattern Image Note
TS16: neural tube Present Regionally restricted 4M Expression is at the dorsal edges of the closing neural plate.
TS16: surface ectoderm Present Regionally restricted 4M Expression is in the surface ectoderm overlying the closing neural folds.

Specimen 4N: embryonic day 10.0 (more )
Note: 27 somites.
Structure Level Pattern Image Note
TS16: neural tube Present Regionally restricted 4N Expression is at the dorsal edges.
TS16: surface ectoderm Present Regionally restricted 4N Expression is in the surface ectoderm overlying the neural tube.

Specimen 4O: embryonic day 10.0 (more )
Note: 27 somites.
Structure Level Pattern Image Note
TS16: neural tube Present Regionally restricted 4O Expression is at the dorsal edges.
TS16: surface ectoderm Present Regionally restricted 4O Expression is in the surface ectoderm overlying the neural tube.

Specimen 5A: embryonic day 10.0 (more )
Note: 31 somites.
Structure Level Pattern Image Note
TS16: tail future spinal cord Present Regionally restricted 5A Expression is in the dorso-medial region of the closed neural tube, absent during secondary neurulation (shown).

Specimen 5B: embryonic day 10.0 (more )
Note: 31 somites.
Structure Level Pattern Image Note
TS16: tail future spinal cord Present Regionally restricted 5B Expression is in the dorso-medial region of the closed neural tube, absent during secondary neurulation (shown).

Specimen 5C: embryonic day 10.0 (more )
Note: 31 somites.
Structure Level Pattern Image Note
TS16: tail future spinal cord Present Regionally restricted 5C Expression is in the dorso-medial region of the closed neural tube, absent during secondary neurulation (shown).

Specimen 5D: embryonic day 10.0 (more )
Note: 31 somites.
Structure Level Pattern Image Note
TS16: tail future spinal cord Present Regionally restricted 5D Expression is in the dorso-medial region of the closed neural tube, absent during secondary neurulation (shown).

Specimen 5E: embryonic day 10.0 (more )
Note: 31 somites.
Structure Level Pattern Image Note
TS16: tail future spinal cord Present Regionally restricted 5E Expression is in the dorso-medial region.

Specimen 5F: embryonic day 10.0 (more )
Note: 31 somites.
Structure Level Pattern Image Note
TS16: tail future spinal cord Present Regionally restricted 5F Expression is in the dorso-medial region.

Specimen 5G: embryonic day 10.0 (more )
Note: 31 somites.
Structure Level Pattern Image Note
TS16: tail future spinal cord Present Regionally restricted 5G Expression is in the dorso-medial region.

Specimen 5H: embryonic day 10.0 (more )
Note: 31 somites.
Structure Level Pattern Image Note
TS16: tail future spinal cord Present Regionally restricted 5H Expression is in the dorso-medial region.


Contributing Projects:
Mouse Genome Database (MGD), Gene Expression Database (GXD), Mouse Models of Human Cancer database (MMHCdb) (formerly Mouse Tumor Biology (MTB)), Gene Ontology (GO)
Citing These Resources
Funding Information
Warranty Disclaimer, Privacy Notice, Licensing, & Copyright
Send questions and comments to User Support.
last database update
03/24/2026
MGI 6.24
The Jackson Laboratory