About   Help   FAQ
Gene Expression Data
Assay Details
Assay
Reference: J:171501 Villarejo-Balcells B, et al., Expression pattern of the FoxO1 gene during mouse embryonic development. Gene Expr Patterns. 2011 Jun-Jul;11(5-6):299-308
Assay type: In situ reporter (knock in)
MGI Accession ID: MGI:5582788
Gene symbol: Foxo1
Gene name: forkhead box O1
Reporter: lacZ
Direct Detection
Results
Specimen 6A: embryonic day 16.5; Foxo1Gt(AD0086)Wtsi/Foxo1+ (more )
Note: Embryos were embedded in LAMB/OCT.
Structure Level Pattern Image Note
TS24: vibrissa follicle Strong Regionally restricted 6B inset , 6B , 6A Expression in the outer root sheath of the vibrissae.
TS24: vibrissa dermal component Strong Regionally restricted 6B inset , 6B , 6A Expression in intrinsic vibrissae musculature.
TS24: lip Present Regionally restricted 6C , 6A Expression in the lip musculature.
TS24: pituitary gland Present 6A , 6D

Specimen 6E: embryonic day 16.5; Foxo1Gt(AD0086)Wtsi/Foxo1+ (more )
Note: Embryos were embedded in LAMB/OCT.
Structure Level Pattern Image Note
TS24: olfactory lobe Present 6E
TS24: tongue muscle Present 6E , 6F
TS24: blood vessel Present Regionally restricted 6F , 6E Expression in the vasculature of the tongue.
TS24: mandible Present Regionally restricted 6G , 6E Expression in the osteoblasts.
TS24: vibrissa follicle Strong Regionally restricted 6H , 6E Expression in the outer root sheath of the vibrissae.
TS24: vibrissa dermal component Present Regionally restricted 6E , 6H Expression in extrinsic and intrinsic vibrissae musculature.

Specimen 6I: embryonic day 16.5; Foxo1Gt(AD0086)Wtsi/Foxo1+ (more )
Note: Embryos were embedded in LAMB/OCT.
Structure Level Pattern Image Note
TS24: olfactory lobe Present 6I , 6K
TS24: olfactory epithelium Present 6J , 6I
TS24: molar epithelium Present 6I , 6L
TS24: incisor epithelium Present 6I , 6M

Specimen Not shown: embryonic day 16.5; Foxo1Gt(AD0086)Wtsi/Foxo1+ (more )
Note: Embryos were embedded in LAMB/OCT.
Structure Level Pattern Image Note
TS24: carotid artery Present
TS24: blood vessel Present Regionally restricted Expression in minor vessels throughout the body, including placental vasculature.

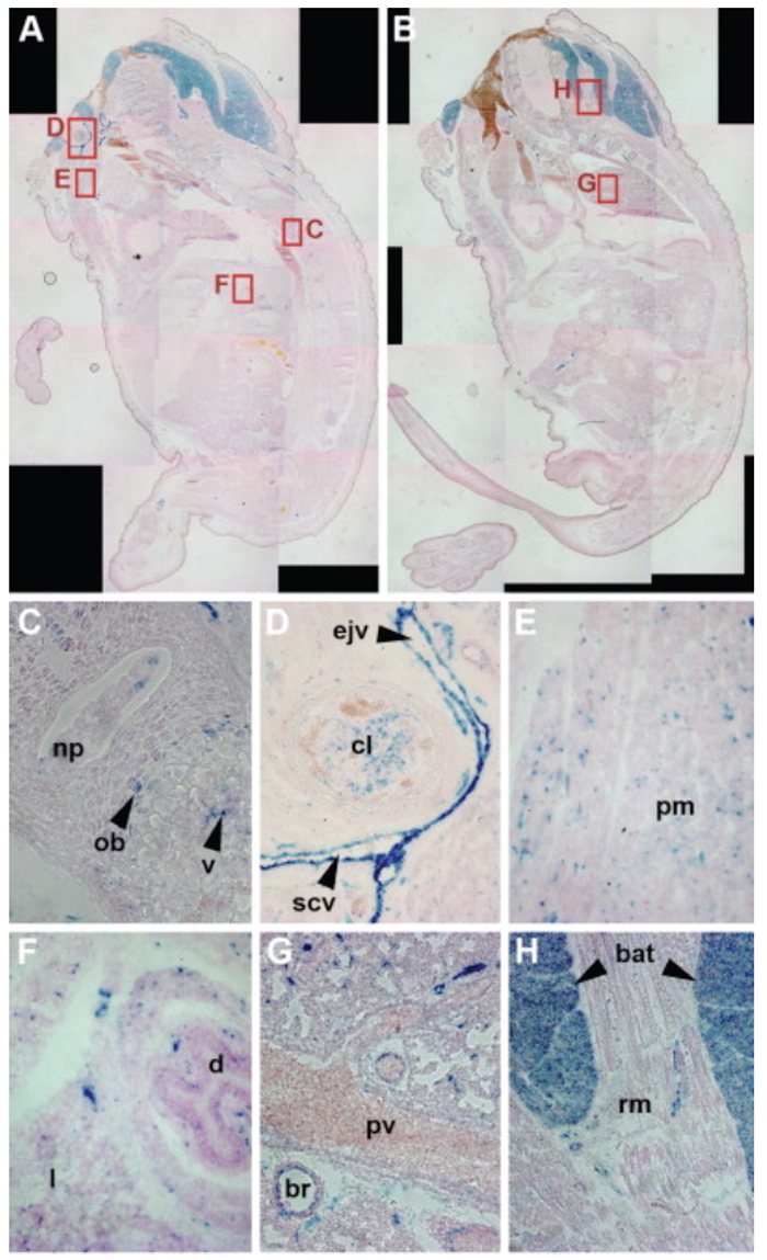
Specimen S2 A: embryonic day 16.5; Foxo1Gt(AD0086)Wtsi/Foxo1+ (more )
Note: Embryos were embedded in LAMB/OCT.
Structure Level Pattern Image Note
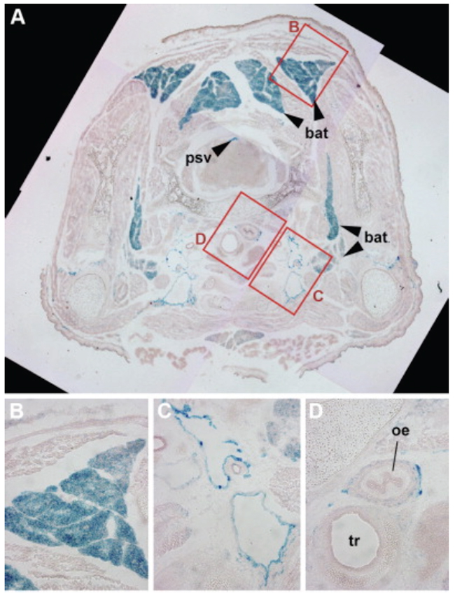
TS24: brown fat Strong S2_A , S2_B Expression is strongly upregulated, including the cervical and intrascapular regions.
TS24: spinal vein Present S2_A , S2_C
TS24: jugular lymph sac Present Regionally restricted S2_A , S2_C Expression in the lining of the jugular lymph sacs.
TS24: esophagus vascular element Present S2_A , S2_D

Specimen S3 A: embryonic day 16.5; Foxo1Gt(AD0086)Wtsi/Foxo1+ (more )
Note: Embryos were embedded in LAMB/OCT.
Structure Level Pattern Image Note
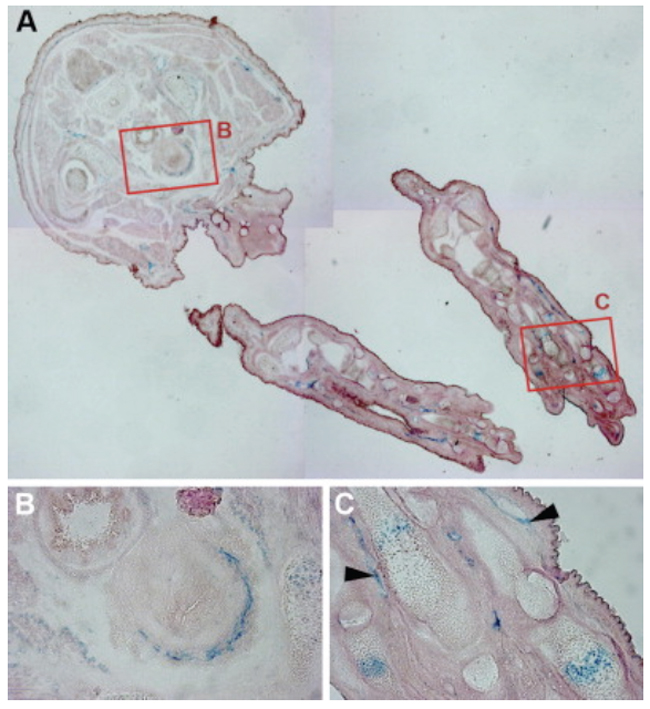
TS24: urogenital sinus Present Regionally restricted S3_B , S3_A Expression in the outer layer of the urogenital sinus.
TS24: hand mesenchyme Present Regionally restricted S3_A , S3_C Expression in handplate cartilage condensations.
TS24: blood vessel Present S3_A , S3_C

Specimen 7A: embryonic day 18.5; Foxo1Gt(AD0086)Wtsi/Foxo1+ (more )
Note: Embryos were embedded in LAMB/OCT.
Structure Level Pattern Image Note
TS26: hindbrain venous dural sinus Present 7B , 7A
TS26: hair follicle Present Widespread 7B , 7A Expression in hair shafts throughout the body.

Specimen 7E: embryonic day 18.5; Foxo1Gt(AD0086)Wtsi/Foxo1+ (more )
Note: Embryos were embedded in LAMB/OCT.
Structure Level Pattern Image Note
TS26: olfactory epithelium Present 7C , 7E
TS26: dentate gyrus Weak 7D , 7E
TS26: extrinsic ocular muscle Present 7F , 7E
TS26: cornea epithelium Present 7G , 7E , 7G inset
TS26: lens epithelium Present 7G , 7E , 7G inset

Specimen 7I: embryonic day 18.5; Foxo1Gt(AD0086)Wtsi/Foxo1+ (more )
Note: Embryos were embedded in LAMB/OCT.
Structure Level Pattern Image Note
TS26: adenohypophysis pars tuberalis Present 7H , 7I
TS26: tongue muscle Present 7I , 7J
TS26: molar epithelium Present 7K , 7I
TS26: tooth epithelium Present 7K , 7I
TS26: vibrissa follicle Present Regionally restricted 7I , 7L Expression in both the inner and outer root sheaths of the vibrissae.

Specimen Not shown: embryonic day 18.5; Foxo1Gt(AD0086)Wtsi/Foxo1+ (more )
Note: Embryos were embedded in LAMB/OCT.
Structure Level Pattern Image Note
TS26: blood vessel Present
TS26: lung vascular element Absent No expression in the main arteries and veins of the lung.

Specimen S4 A: embryonic day 18.5; Foxo1Gt(AD0086)Wtsi/Foxo1+ (more )
Note: Embryos were embedded in LAMB/OCT.
Structure Level Pattern Image Note
TS26: nucleus pulposus Present S4_A , S4_C
TS26: blood vessel Present Regionally restricted S4_A , S4_C Expression in the vascular system within the vertebral column.
TS26: vertebra Present Regionally restricted S4_C , S4_A Expression in the osteoblasts within the vertebral column.
TS26: external jugular vein Present S4_D , S4_A
TS26: subclavian vein Present S4_D , S4_A
TS26: clavicle Present Regionally restricted S4_D , S4_A Expression in the osteoblasts in the clavicle.
TS26: pectoralis major Present S4_E , S4_A
TS26: pectoralis minor Present S4_E , S4_A
TS26: liver Present S4_F , S4_A

Specimen S4 B: embryonic day 18.5; Foxo1Gt(AD0086)Wtsi/Foxo1+ (more )
Note: Embryos were embedded in LAMB/OCT.
Structure Level Pattern Image Note
TS26: lobar bronchus Present S4_G , S4_B Expression in the main, intermediate and minor bronchi in the lung.
TS26: pectoral girdle and thoracic body wall muscle Present Regionally restricted S4_H , S4_B Expression in the rhomboid muscle.
TS26: brown fat Present S4_B , S4_H


Contributing Projects:
Mouse Genome Database (MGD), Gene Expression Database (GXD), Mouse Models of Human Cancer database (MMHCdb) (formerly Mouse Tumor Biology (MTB)), Gene Ontology (GO)
Citing These Resources
Funding Information
Warranty Disclaimer, Privacy Notice, Licensing, & Copyright
Send questions and comments to User Support.
last database update
12/30/2025
MGI 6.24
The Jackson Laboratory