Gene Expression Data
Assay Details
|
Assay
|
|
Reference:
|
J:174611
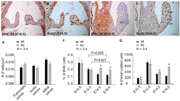
Azhar M, et al., Transforming growth factor Beta2 is required for valve remodeling during heart development. Dev Dyn. 2011 Sep;240(9):2127-41
|
|
Assay type:
|
Immunohistochemistry
|
|
MGI Accession ID:
|
MGI:5576038
|
|
Gene symbol:
|
Actc1
|
|
Gene name:
|
actin, alpha, cardiac muscle 1
|
|
|
Results
|
Specimen
1A:
embryonic day 18.5
(more )
Specimen
1A:
(close )
|
Genetic Background:
|
Not Specified
|
|
Age:
|
embryonic day 18.5
|
|
Sex:
|
Not Specified
|
|
Type:
|
section
|
|
Fixation:
|
4% Paraformaldehyde
|
|
Embedding:
|
Paraffin
|
Specimen
1B:
(close )
|
Genetic Background:
|
involves: 129P2/OlaHsd * Black Swiss
|
|
Mutant Allele(s):
|
Tgfb2tm1Doe/Tgfb2tm1Doe
|
|
Age:
|
embryonic day 18.5
|
|
Sex:
|
Not Specified
|
|
Type:
|
section
|
|
Fixation:
|
4% Paraformaldehyde
|
|
Embedding:
|
Paraffin
|
Specimen
1C:
embryonic day 18.5
(more )
Specimen
1C:
(close )
|
Genetic Background:
|
Not Specified
|
|
Age:
|
embryonic day 18.5
|
|
Sex:
|
Not Specified
|
|
Type:
|
section
|
|
Fixation:
|
4% Paraformaldehyde
|
|
Embedding:
|
Paraffin
|
Specimen
1D:
(close )
|
Genetic Background:
|
involves: 129P2/OlaHsd * Black Swiss
|
|
Mutant Allele(s):
|
Tgfb2tm1Doe/Tgfb2tm1Doe
|
|
Age:
|
embryonic day 18.5
|
|
Sex:
|
Not Specified
|
|
Type:
|
section
|
|
Fixation:
|
4% Paraformaldehyde
|
|
Embedding:
|
Paraffin
|
Specimen
1E:
embryonic day 18.5
(more )
Specimen
1E:
(close )
|
Genetic Background:
|
Not Specified
|
|
Age:
|
embryonic day 18.5
|
|
Sex:
|
Not Specified
|
|
Type:
|
section
|
|
Fixation:
|
4% Paraformaldehyde
|
|
Embedding:
|
Paraffin
|
Specimen
1F:
(close )
|
Genetic Background:
|
involves: 129P2/OlaHsd * Black Swiss
|
|
Mutant Allele(s):
|
Tgfb2tm1Doe/Tgfb2tm1Doe
|
|
Age:
|
embryonic day 18.5
|
|
Sex:
|
Not Specified
|
|
Type:
|
section
|
|
Fixation:
|
4% Paraformaldehyde
|
|
Embedding:
|
Paraffin
|
Specimen
3A:
embryonic day 16.5
(more )
Specimen
3A:
(close )
|
Genetic Background:
|
Not Specified
|
|
Age:
|
embryonic day 16.5
|
|
Sex:
|
Not Specified
|
|
Type:
|
section
|
|
Fixation:
|
4% Paraformaldehyde
|
|
Embedding:
|
Paraffin
|
Specimen
3C:
(close )
|
Genetic Background:
|
involves: 129P2/OlaHsd * Black Swiss
|
|
Mutant Allele(s):
|
Tgfb2tm1Doe/Tgfb2tm1Doe
|
|
Age:
|
embryonic day 16.5
|
|
Sex:
|
Not Specified
|
|
Type:
|
section
|
|
Fixation:
|
4% Paraformaldehyde
|
|
Embedding:
|
Paraffin
|
Specimen
S2A:
embryonic day 16.5
(more )
Specimen
S2A:
(close )
|
Genetic Background:
|
Not Specified
|
|
Age:
|
embryonic day 16.5
|
|
Sex:
|
Not Specified
|
|
Type:
|
section
|
|
Fixation:
|
4% Paraformaldehyde
|
|
Embedding:
|
Paraffin
|
Specimen
S2C:
(close )
|
Genetic Background:
|
involves: 129P2/OlaHsd * Black Swiss
|
|
Mutant Allele(s):
|
Tgfb2tm1Doe/Tgfb2tm1Doe
|
|
Age:
|
embryonic day 16.5
|
|
Sex:
|
Not Specified
|
|
Type:
|
section
|
|
Fixation:
|
4% Paraformaldehyde
|
|
Embedding:
|
Paraffin
|
|