About   Help   FAQ
Gene Expression Data
Assay Details
Assay
Reference: J:90050 Hart AH, et al., Identification, cloning and expression analysis of the pluripotency promoting Nanog genes in mouse and human. Dev Dyn. 2004 May;230(1):187-98
Assay type: RT-PCR
MGI Accession ID: MGI:5544620
Gene symbol: Nanog
Gene name: Nanog homeobox
Probe: rk9875-1, rk9875-4
Assay notes: The RT-PCR was followed with a Southern blot with the probe NanogMu6: MGI:5544617.
Results
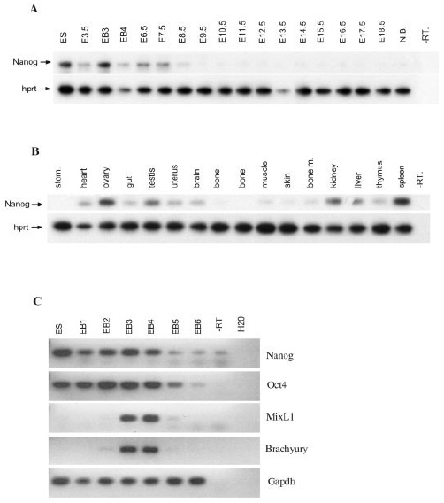
Image: 5A ©

 Sample Information Bands Other Sample Information
Lane AgeStructure Size Not Specified Amount Genetic BackgroundMutant Allele(s)Sex Note
ES Cultured cells: no data stored
E3.5 E3.5 TS4: conceptus Present Not Specified; total RNA Not Specified Not Specified Morulae and blastocysts.
EB3 Cultured sample: no data stored
EB4 Cultured sample: no data stored
E6.5 E6.5 TS9: embryo Strong Not Specified; total RNA Not Specified Not Specified
E7.5 E7.5 TS11: embryo Strong Not Specified; total RNA Not Specified Not Specified
E8.5 E8.5 TS13: embryo Present Not Specified; total RNA Not Specified Not Specified
E9.5 E9.5 TS15: embryo Absent Not Specified; total RNA Not Specified Not Specified
E10.5 E10.5 TS17: embryo Absent Not Specified; total RNA Not Specified Not Specified
E11.5 E11.5 TS19: embryo Absent Not Specified; total RNA Not Specified Not Specified
E12.5 E12.5 TS20: embryo Absent Not Specified; total RNA Not Specified Not Specified
E13.5 E13.5 TS21: embryo Absent Not Specified; total RNA Not Specified Not Specified
E14.5 E14.5 TS22: embryo Absent Not Specified; total RNA Not Specified Not Specified
E15.5 E15.5 TS23: embryo Absent Not Specified; total RNA Not Specified Not Specified
E16.5 E16.5 TS24: embryo Absent Not Specified; total RNA Not Specified Not Specified
E17.5 E17.5 TS25: embryo Absent Not Specified; total RNA Not Specified Not Specified
E18.5 E18.5 TS26: embryo Absent Not Specified; total RNA Not Specified Not Specified
N.B. P newborn TS27: mouse Absent Not Specified; total RNA Not Specified Not Specified
-RT Control

Contributing Projects:
Mouse Genome Database (MGD), Gene Expression Database (GXD), Mouse Models of Human Cancer database (MMHCdb) (formerly Mouse Tumor Biology (MTB)), Gene Ontology (GO)
Citing These Resources
Funding Information
Warranty Disclaimer, Privacy Notice, Licensing, & Copyright
Send questions and comments to User Support.
last database update
01/28/2026
MGI 6.24
The Jackson Laboratory