Gene Expression Data
Assay Details
|
Assay
|
|
Reference:
|
J:95138
Inanlou MR, et al., Abnormal development of the intercostal muscles and the rib cage in Myf5-/- embryos leads to pulmonary hypoplasia. Dev Dyn. 2005 Jan;232(1):43-54
|
|
Assay type:
|
Immunohistochemistry
|
|
MGI Accession ID:
|
MGI:5543511
|
|
Gene symbol:
|
Igf1
|
|
Gene name:
|
insulin-like growth factor 1
|
|
|
Results
|
Specimen
7A:
embryonic day 18.5
(more )
Specimen
7A:
(close )
|
Genetic Background:
|
involves: 129S4/SvJae
|
|
Age:
|
embryonic day 18.5
|
|
Sex:
|
Not Specified
|
|
Type:
|
section
|
|
Fixation:
|
4% Paraformaldehyde
|
|
Embedding:
|
Paraffin
|
Specimen
7B:
(close )
|
Genetic Background:
|
involves: 129S4/SvJae
|
|
Mutant Allele(s):
|
Myf5tm1Jae/Myf5tm1Jae
|
|
Age:
|
embryonic day 18.5
|
|
Sex:
|
Not Specified
|
|
Type:
|
section
|
|
Fixation:
|
4% Paraformaldehyde
|
|
Embedding:
|
Paraffin
|
| Structure |
Level |
Pattern |
Image |
Note |
| TS26: lung |
Weak |
|
7B
|
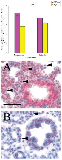
The number of expressing cells is reduced in this mutant.
|
Specimen
not shown E14.5 wt:
embryonic day 14.5
(more )
Specimen
not shown E14.5 wt:
(close )
|
Genetic Background:
|
involves: 129S4/SvJae
|
|
Age:
|
embryonic day 14.5
|
|
Sex:
|
Not Specified
|
|
Type:
|
section
|
|
Fixation:
|
4% Paraformaldehyde
|
|
Embedding:
|
Paraffin
|
| Structure |
Level |
Pattern |
Image |
Note |
| TS22: lung |
Present |
|
|
|
Specimen
not shown E14.5 -/-:
(close )
|
Genetic Background:
|
involves: 129S4/SvJae
|
|
Mutant Allele(s):
|
Myf5tm1Jae/Myf5tm1Jae
|
|
Age:
|
embryonic day 14.5
|
|
Sex:
|
Not Specified
|
|
Type:
|
section
|
|
Fixation:
|
4% Paraformaldehyde
|
|
Embedding:
|
Paraffin
|
| Structure |
Level |
Pattern |
Image |
Note |
| TS22: lung |
Present |
|
|
Expression in this mutant is the same as in wild-type embryos.
|
Specimen
not shown E16.5 wt:
embryonic day 16.5
(more )
Specimen
not shown E16.5 wt:
(close )
|
Genetic Background:
|
involves: 129S4/SvJae
|
|
Age:
|
embryonic day 16.5
|
|
Sex:
|
Not Specified
|
|
Type:
|
section
|
|
Fixation:
|
4% Paraformaldehyde
|
|
Embedding:
|
Paraffin
|
| Structure |
Level |
Pattern |
Image |
Note |
| TS24: lung |
Present |
|
|
|
Specimen
not shown E16.5 -/-:
(close )
|
Genetic Background:
|
involves: 129S4/SvJae
|
|
Mutant Allele(s):
|
Myf5tm1Jae/Myf5tm1Jae
|
|
Age:
|
embryonic day 16.5
|
|
Sex:
|
Not Specified
|
|
Type:
|
section
|
|
Fixation:
|
4% Paraformaldehyde
|
|
Embedding:
|
Paraffin
|
| Structure |
Level |
Pattern |
Image |
Note |
| TS24: lung |
Present |
|
|
Expression in this mutant is the same as in wild-type embryos.
|
|