About   Help   FAQ
Gene Expression Data
Assay Details
Assay
Reference: J:171409 GUDMAP Consortium, GUDMAP: the GenitoUrinary Development Molecular Anatomy Project. www.gudmap.org. 2004;
Assay type: RNA in situ
MGI Accession ID: MGI:5543195
Gene symbol: Cd44
Gene name: CD44 antigen
Probe: CVprobeCd44(251)
Probe preparation: Antisense labelled with digoxigenin RNA
Visualized with: Alkaline phosphatase
Results
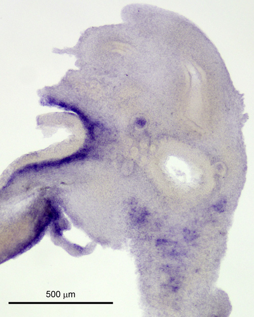
Specimen GUDMAP:20647: embryonic day 17.0 (more )
Note: This specimen was generated and annotated by the lab of Chad Vezina, University of Wisconsin-Madison. Labeling was visualized using BM purple.
Structure Level Pattern Image Note
TS25: pelvic urethra of male Present GUDMAP:20647
TS25: presumptive neural crest derivative of pelvic urethra of male Absent GUDMAP:20647
TS25: vasculature of pelvic urethra of male Absent GUDMAP:20647
TS25: mesenchymal layer of pelvic urethra of male Present GUDMAP:20647
TS25: mesenchymal layer of dorsal pelvic urethra of male Present GUDMAP:20647
TS25: mesenchymal layer of ventral pelvic urethra of male Present GUDMAP:20647
TS25: muscle layer of pelvic urethra of male Present GUDMAP:20647
TS25: urinary system Present GUDMAP:20647
TS25: urethra of male Present GUDMAP:20647
TS25: mesenchymal pad of pelvic urethra of male Absent GUDMAP:20647
TS25: muscularis mucosa of dorsal pelvic urethra of male Absent GUDMAP:20647
TS25: submucosa of dorsal pelvic urethra of male Absent GUDMAP:20647
TS25: muscularis mucosa of ventral pelvic urethra of male Absent GUDMAP:20647
TS25: submucosa of ventral pelvic urethra of male Absent GUDMAP:20647
TS25: epithelium of dorsal pelvic urethra of male Absent GUDMAP:20647
TS25: superficial cell layer of dorsal pelvic urethra of male Absent GUDMAP:20647
TS25: intermediate cell layer of dorsal pelvic urethra of male Absent GUDMAP:20647
TS25: basal cell layer of dorsal pelvic urethra of male Absent GUDMAP:20647
TS25: epithelium of ventral pelvic urethra of male Absent GUDMAP:20647
TS25: superficial cell layer of ventral pelvic urethra of male Absent GUDMAP:20647
TS25: intermediate cell layer of ventral pelvic urethra of male Absent GUDMAP:20647
TS25: basal cell layer of ventral pelvic urethra of male Absent GUDMAP:20647
TS25: epithelium of pelvic urethra of male Absent GUDMAP:20647
TS25: lamina propria of dorsal pelvic urethra of male Present GUDMAP:20647
TS25: lamina propria of ventral pelvic urethra of male Present GUDMAP:20647
TS25: muscle layer of dorsal pelvic urethra of male Present Spotted GUDMAP:20647
TS25: muscle layer of ventral pelvic urethra of male Present Spotted GUDMAP:20647
TS25: peri-prostatic mesenchyme Absent GUDMAP:20647
TS25: vasculature of ejaculatory duct Absent GUDMAP:20647
TS25: muscle of ejaculatory duct Absent GUDMAP:20647
TS25: lamina propria of ejaculatory duct Absent GUDMAP:20647
TS25: epithelium of ejaculatory duct Absent GUDMAP:20647
TS25: ejaculatory duct Absent GUDMAP:20647
TS25: vasculature of seminal vesicle Absent GUDMAP:20647
TS25: serosa of seminal vesicle Absent GUDMAP:20647
TS25: muscle of seminal vesicle Absent GUDMAP:20647
TS25: epithelium of seminal vesicle Absent GUDMAP:20647
TS25: seminal vesicle Absent GUDMAP:20647
TS25: prostate epithelium Present Graded GUDMAP:20647 Strongest staining in prostatic bud distal tips
TS25: prostate bud Present GUDMAP:20647
TS25: male accessory gland Present GUDMAP:20647
TS25: reproductive system Present GUDMAP:20647
TS25: male reproductive system Present GUDMAP:20647

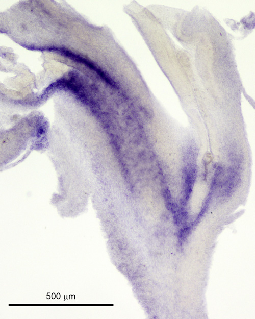
Specimen GUDMAP:20648: embryonic day 17.0 (more )
Note: This specimen was generated and annotated by the lab of Chad Vezina, University of Wisconsin-Madison. Labeling was visualized using BM purple.
Structure Level Pattern Image Note
TS25: nerve of pelvic urethra of female Absent GUDMAP:20648
TS25: vasculature of pelvic urethra of female Absent GUDMAP:20648
TS25: mesenchymal pad of pelvic urethra of female Absent GUDMAP:20648
TS25: muscularis mucosa of ventral pelvic urethra of female Absent GUDMAP:20648
TS25: submucosa of ventral pelvic urethra of female Absent GUDMAP:20648
TS25: muscularis mucosa of dorsal pelvic urethra of female Absent GUDMAP:20648
TS25: submucosa of dorsal pelvic urethra of female Absent GUDMAP:20648
TS25: superficial cell layer of ventral pelvic urethra of female Absent GUDMAP:20648
TS25: intermediate cell layer of ventral pelvic urethra of female Absent GUDMAP:20648
TS25: superficial cell layer of dorsal pelvic urethra of female Absent GUDMAP:20648
TS25: intermediate cell layer of dorsal pelvic urethra of female Absent GUDMAP:20648
TS25: urethra of female Present GUDMAP:20648
TS25: pelvic urethra of female Present GUDMAP:20648
TS25: epithelium of pelvic urethra of female Present GUDMAP:20648
TS25: epithelium of dorsal pelvic urethra of female Present GUDMAP:20648
TS25: epithelium of ventral pelvic urethra of female Present GUDMAP:20648
TS25: mesenchymal layer of pelvic urethra of female Present GUDMAP:20648
TS25: mesenchymal layer of dorsal pelvic urethra of female Present GUDMAP:20648
TS25: mesenchymal layer of ventral pelvic urethra of female Present GUDMAP:20648
TS25: muscle layer of pelvic urethra of female Present GUDMAP:20648
TS25: basal cell layer of dorsal pelvic urethra of female Present GUDMAP:20648
TS25: basal cell layer of ventral pelvic urethra of female Present GUDMAP:20648
TS25: lamina propria of dorsal pelvic urethra of female Present GUDMAP:20648
TS25: lamina propria of ventral pelvic urethra of female Present GUDMAP:20648
TS25: vasculature of upper vagina Absent GUDMAP:20648
TS25: vasculature of sinovaginal bulb Absent GUDMAP:20648
TS25: developing vasculature of vagina Absent GUDMAP:20648
TS25: muscle of upper vagina Absent GUDMAP:20648
TS25: muscle of sinovaginal bulb Absent GUDMAP:20648
TS25: muscle of vagina Absent GUDMAP:20648
TS25: epithelium of upper vagina Absent GUDMAP:20648
TS25: epithelium of sinovaginal bulb Absent GUDMAP:20648
TS25: epithelium of vagina Absent GUDMAP:20648
TS25: muscle layer of dorsal pelvic urethra of female Present Spotted GUDMAP:20648
TS25: muscle layer of ventral pelvic urethra of female Present Spotted GUDMAP:20648
TS25: reproductive system Present GUDMAP:20648
TS25: female reproductive system Present GUDMAP:20648
TS25: vagina Present GUDMAP:20648
TS25: sinovaginal bulb Present GUDMAP:20648
TS25: upper vagina Absent GUDMAP:20648
TS25: lamina propria of upper vagina Absent GUDMAP:20648
TS25: lamina propria of sinovaginal bulb Present GUDMAP:20648

Specimen GUDMAP:20649: postnatal day 0 (more )
Note: This specimen was generated and annotated by the lab of Chad Vezina, University of Wisconsin-Madison. Labeling was visualized using BM purple.
Structure Level Pattern Image Note
TS27: presumptive neural crest derivative of pelvic urethra of female Absent GUDMAP:20649
TS27: vasculature of pelvic urethra of female Absent GUDMAP:20649
TS27: submucosa of ventral pelvic urethra of female Absent GUDMAP:20649
TS27: muscularis mucosa of ventral pelvic urethra of female Absent GUDMAP:20649
TS27: submucosa of dorsal pelvic urethra of female Absent GUDMAP:20649
TS27: muscularis mucosa of dorsal pelvic urethra of female Absent GUDMAP:20649
TS27: intermediate cell layer of ventral pelvic urethra of female Absent GUDMAP:20649
TS27: superficial cell layer of ventral pelvic urethra of female Absent GUDMAP:20649
TS27: intermediate cell layer of dorsal pelvic urethra of female Absent GUDMAP:20649
TS27: superficial cell layer of dorsal pelvic urethra of female Absent GUDMAP:20649
TS27: urinary system Present GUDMAP:20649
TS27: urethra of female Present GUDMAP:20649
TS27: pelvic urethra of female Present GUDMAP:20649
TS27: epithelium of pelvic urethra of female Present GUDMAP:20649
TS27: epithelium of dorsal pelvic urethra of female Present GUDMAP:20649
TS27: epithelium of ventral pelvic urethra of female Present GUDMAP:20649
TS27: mesenchymal layer of pelvic urethra of female Present GUDMAP:20649
TS27: mesenchymal layer of dorsal pelvic urethra of female Present GUDMAP:20649
TS27: mesenchymal layer of ventral pelvic urethra of female Present GUDMAP:20649
TS27: basal cell layer of ventral pelvic urethra of female Present Spotted GUDMAP:20649
TS27: basal cell layer of dorsal pelvic urethra of female Present Spotted GUDMAP:20649
TS27: lamina propria of dorsal pelvic urethra of female Present GUDMAP:20649
TS27: lamina propria of ventral pelvic urethra of female Present GUDMAP:20649
TS27: mesenchymal pad of pelvic urethra of female Absent GUDMAP:20649
TS27: muscle layer of pelvic urethra of female Present Spotted GUDMAP:20649
TS27: sinovaginal bulb Present GUDMAP:20649
TS27: vagina Present GUDMAP:20649
TS27: female reproductive system Present GUDMAP:20649
TS27: reproductive system Present GUDMAP:20649
TS27: upper vagina Absent GUDMAP:20649
TS27: epithelium of upper vagina Absent GUDMAP:20649
TS27: lamina propria of upper vagina Absent GUDMAP:20649
TS27: muscle of upper vagina Absent GUDMAP:20649
TS27: vasculature of upper vagina Absent GUDMAP:20649
TS27: epithelium of vagina Absent GUDMAP:20649
TS27: epithelium of sinovaginal bulb Absent GUDMAP:20649
TS27: vasculature of sinovaginal bulb Absent GUDMAP:20649
TS27: muscle of sinovaginal bulb Absent GUDMAP:20649
TS27: lamina propria of sinovaginal bulb Present GUDMAP:20649


Contributing Projects:
Mouse Genome Database (MGD), Gene Expression Database (GXD), Mouse Models of Human Cancer database (MMHCdb) (formerly Mouse Tumor Biology (MTB)), Gene Ontology (GO)
Citing These Resources
Funding Information
Warranty Disclaimer, Privacy Notice, Licensing, & Copyright
Send questions and comments to User Support.
last database update
01/20/2026
MGI 6.24
The Jackson Laboratory