About   Help   FAQ
Gene Expression Data
Assay Details
Assay
Reference: J:171409 GUDMAP Consortium, GUDMAP: the GenitoUrinary Development Molecular Anatomy Project. www.gudmap.org. 2004;
Assay type: RNA in situ
MGI Accession ID: MGI:5541948
Gene symbol: Kpna2
Gene name: karyopherin subunit alpha 2
Probe: RIKEN clone 2410044B12 subclone 2
Probe preparation: Antisense labelled with digoxigenin RNA
Visualized with: Alkaline phosphatase
Results
Specimen GUDMAP:7455: embryonic day 15.5 (more )
Note: This specimen was generated and annotated by the lab of Melissa H. Little, Murdoch Children's Research Institute. Labeling was visualized using BM purple.
Structure Level Pattern Image Note
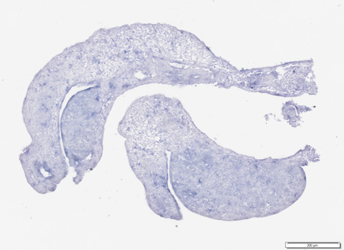
TS23: bladder Present GUDMAP:7455 Spotted signal in scattered cells throughout all layers of the bladder.
TS23: urothelium of bladder Present GUDMAP:7455
TS23: superficial cell layer of ureter Present GUDMAP:7455
TS23: basal cell layer of ureter Present GUDMAP:7455
TS23: detrusor muscle of bladder Present GUDMAP:7455
TS23: serosa of bladder Present GUDMAP:7455
TS23: adventitia of bladder Present GUDMAP:7455
TS23: vasculature of bladder Present GUDMAP:7455

Specimen GUDMAP:7456: embryonic day 15.5 (more )
Note: This specimen was generated and annotated by the lab of Melissa H. Little, Murdoch Children's Research Institute. Labeling was visualized using BM purple.
Structure Level Pattern Image Note
TS23: ovary Present GUDMAP:7456 Spotted signal in scattered cells throughout all layers of the ovary
TS23: mesonephros of female Present GUDMAP:7456 Spotted signal in scattered cells throughout all layers of the mesonephros


Contributing Projects:
Mouse Genome Database (MGD), Gene Expression Database (GXD), Mouse Models of Human Cancer database (MMHCdb) (formerly Mouse Tumor Biology (MTB)), Gene Ontology (GO)
Citing These Resources
Funding Information
Warranty Disclaimer, Privacy Notice, Licensing, & Copyright
Send questions and comments to User Support.
last database update
01/28/2026
MGI 6.24
The Jackson Laboratory