About   Help   FAQ
Gene Expression Data
Assay Details
Assay
Reference: J:171409 GUDMAP Consortium, GUDMAP: the GenitoUrinary Development Molecular Anatomy Project. www.gudmap.org. 2004;
Assay type: RNA in situ
MGI Accession ID: MGI:5541897
Gene symbol: Mxi1
Gene name: MAX interactor 1, dimerization protein
Probe: RIKEN clone B830045L02 subclone
Probe preparation: Antisense labelled with digoxigenin RNA
Visualized with: Alkaline phosphatase
Results
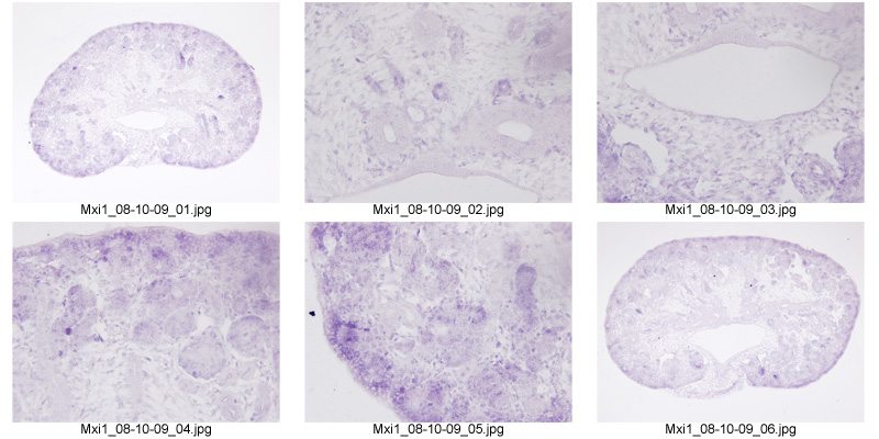
Specimen GUDMAP:12535: embryonic day 15.5 (more )
Note: This specimen was generated and annotated by the lab of Melissa H. Little, Murdoch Children's Research Institute. Labeling was visualized using BM purple.
Structure Level Pattern Image Note
TS23: urinary system Present GUDMAP:12535
TS23: metanephros Present GUDMAP:12535
TS23: renal cortex Present GUDMAP:12535
TS23: cortical renal tubule Present Regionally restricted GUDMAP:12535 Specific expression detected only in anlage of loop of Henle of stage III capillary loop nephrons. Expression absent from cortical renal tubules of maturing stage IV nephrons.
TS23: anlage of loop of Henle of cortical renal tubule Present GUDMAP:12535
TS23: renal medulla Present GUDMAP:12535
TS23: immature loop of Henle Present GUDMAP:12535
TS23: late tubule Present GUDMAP:12535
TS23: nephrogenic zone Absent GUDMAP:12535
TS23: capillary loop renal corpuscle Absent GUDMAP:12535
TS23: maturing renal corpuscle Absent GUDMAP:12535
TS23: renal cortical interstitium Absent GUDMAP:12535
TS23: renal cortical vasculature Absent GUDMAP:12535
TS23: cortical collecting duct Absent GUDMAP:12535
TS23: renal vesicle Ambiguous GUDMAP:12535
TS23: comma-shaped body Ambiguous GUDMAP:12535
TS23: s-shaped body Ambiguous GUDMAP:12535
TS23: cortical early proximal tubule Ambiguous GUDMAP:12535
TS23: cortical early distal tubule Ambiguous GUDMAP:12535
TS23: early tubule Ambiguous GUDMAP:12535
TS23: renal connecting tubule Absent GUDMAP:12535
TS23: developing capillary loop stage nephron group Present GUDMAP:12535
TS23: maturing nephron Present GUDMAP:12535
TS23: medullary collecting duct Absent GUDMAP:12535
TS23: renal medullary interstitium Absent GUDMAP:12535
TS23: renal medullary vasculature Absent GUDMAP:12535
TS23: early nephron Ambiguous GUDMAP:12535
TS23: renal pelvis Absent GUDMAP:12535
TS23: ureter Absent GUDMAP:12535
TS23: renal interstitium Absent GUDMAP:12535
TS23: ureteric trunk Absent GUDMAP:12535
TS23: collecting duct Absent GUDMAP:12535
TS23: cortical renal tubule of capillary loop nephron group Present GUDMAP:12535
TS23: cortical renal tubule of maturing nephron group Absent GUDMAP:12535
TS23: early distal tubule of maturing nephron Absent GUDMAP:12535
TS23: early proximal tubule of maturing nephron Absent GUDMAP:12535
TS23: renal connecting tubule of maturing nephron Absent GUDMAP:12535
TS23: renal connecting tubule of capillary loop nephron Absent GUDMAP:12535
TS23: early proximal tubule of capillary loop nephron Ambiguous GUDMAP:12535
TS23: early distal tubule of capillary loop nephron Ambiguous GUDMAP:12535


Contributing Projects:
Mouse Genome Database (MGD), Gene Expression Database (GXD), Mouse Models of Human Cancer database (MMHCdb) (formerly Mouse Tumor Biology (MTB)), Gene Ontology (GO)
Citing These Resources
Funding Information
Warranty Disclaimer, Privacy Notice, Licensing, & Copyright
Send questions and comments to User Support.
last database update
12/30/2025
MGI 6.24
The Jackson Laboratory