About   Help   FAQ
Gene Expression Data
Assay Details
Assay
Reference: J:171409 GUDMAP Consortium, GUDMAP: the GenitoUrinary Development Molecular Anatomy Project. www.gudmap.org. 2004;
Assay type: RNA in situ
MGI Accession ID: MGI:5541557
Gene symbol: Nkx3-1
Gene name: NK3 homeobox 1
Probe: RIKEN clone 9530090D16 subclone
Probe preparation: Antisense labelled with digoxigenin RNA
Visualized with: Alkaline phosphatase
Results
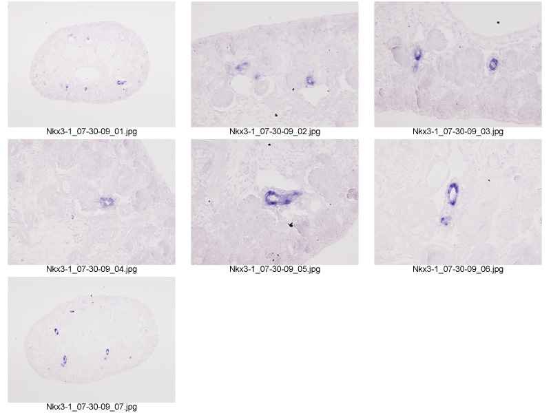
Specimen GUDMAP:12532: embryonic day 15.5 (more )
Note: This specimen was generated and annotated by the lab of Melissa H. Little, Murdoch Children's Research Institute. Labeling was visualized using BM purple.
Structure Level Pattern Image Note
TS23: urinary system Present GUDMAP:12532
TS23: metanephros Present Regionally restricted GUDMAP:12532 Expression in metanephros restricted to arteries and arterioles.
TS23: renal cortex Present GUDMAP:12532
TS23: renal cortical vasculature Present GUDMAP:12532
TS23: renal cortical arterial system Present GUDMAP:12532
TS23: renal medulla Present GUDMAP:12532
TS23: renal medullary vasculature Present GUDMAP:12532
TS23: renal medullary arterial system Present GUDMAP:12532
TS23: cortical collecting duct Absent GUDMAP:12532
TS23: renal cortical interstitium Absent GUDMAP:12532
TS23: renal cortical venous system Absent GUDMAP:12532
TS23: renal cortical capillary Absent GUDMAP:12532
TS23: early tubule Absent GUDMAP:12532
TS23: developing capillary loop stage nephron group Absent GUDMAP:12532
TS23: immature loop of Henle Absent GUDMAP:12532
TS23: medullary collecting duct Absent GUDMAP:12532
TS23: renal medullary interstitium Absent GUDMAP:12532
TS23: renal medullary venous system Absent GUDMAP:12532
TS23: renal medullary capillary Absent GUDMAP:12532
TS23: renal pelvis Absent GUDMAP:12532
TS23: collecting duct Absent GUDMAP:12532
TS23: ureteric trunk Absent GUDMAP:12532
TS23: renal interstitium Absent GUDMAP:12532
TS23: nephrogenic zone Absent GUDMAP:12532
TS23: nephrogenic interstitium Absent GUDMAP:12532
TS23: cap mesenchyme Absent GUDMAP:12532
TS23: pretubular aggregate Absent GUDMAP:12532
TS23: ureteric tip Absent GUDMAP:12532
TS23: ureteric tree terminal branch excluding tip itself Absent GUDMAP:12532
TS23: ureter Absent GUDMAP:12532
TS23: renal vesicle Absent GUDMAP:12532
TS23: comma-shaped body Absent GUDMAP:12532
TS23: s-shaped body Absent GUDMAP:12532
TS23: capillary loop renal corpuscle Absent GUDMAP:12532
TS23: cortical renal tubule Absent GUDMAP:12532
TS23: associated interstitium of capillary loop renal corpuscle Absent GUDMAP:12532
TS23: presumptive mesangium of capillary loop renal corpuscle Absent GUDMAP:12532
TS23: glomerular mesangium of maturing glomerular tuft Absent GUDMAP:12532
TS23: perihilar interstitium Absent GUDMAP:12532
TS23: glomerular capillary system of maturing glomerular tuft Absent GUDMAP:12532
TS23: renal capillary Absent GUDMAP:12532
TS23: renal venous system Absent GUDMAP:12532
TS23: parietal epithelium of capillary loop renal corpuscle Absent GUDMAP:12532
TS23: presumptive endothelium of capillary loop renal corpuscle Absent GUDMAP:12532
TS23: visceral epithelium of capillary loop renal corpuscle Absent GUDMAP:12532
TS23: maturing glomerular tuft Absent GUDMAP:12532
TS23: visceral epithelium of maturing renal corpuscle Absent GUDMAP:12532
TS23: glomerular basement membrane of maturing renal corpuscle Absent GUDMAP:12532
TS23: Bowman's capsule of maturing renal corpuscle Absent GUDMAP:12532
TS23: maturing renal corpuscle Present Regionally restricted GUDMAP:12532
TS23: juxtaglomerular arteriole Present GUDMAP:12532
TS23: maturing nephron Present GUDMAP:12532
TS23: pelvic urothelial lining Absent GUDMAP:12532
TS23: pelvic smooth muscle Absent GUDMAP:12532
TS23: renal vasculature Present GUDMAP:12532
TS23: renal arterial system Present GUDMAP:12532
TS23: late tubule Present Regionally restricted GUDMAP:12532 Expression restricted to the juxtaglomerular arteriole of the maturing renal corpuscle. Expression absent from cortical renal tubules and all other components of the renal corpuscle.


Contributing Projects:
Mouse Genome Database (MGD), Gene Expression Database (GXD), Mouse Models of Human Cancer database (MMHCdb) (formerly Mouse Tumor Biology (MTB)), Gene Ontology (GO)
Citing These Resources
Funding Information
Warranty Disclaimer, Privacy Notice, Licensing, & Copyright
Send questions and comments to User Support.
last database update
01/28/2026
MGI 6.24
The Jackson Laboratory