About   Help   FAQ
Gene Expression Data
Assay Details
Assay
Reference: J:171409 GUDMAP Consortium, GUDMAP: the GenitoUrinary Development Molecular Anatomy Project. www.gudmap.org. 2004;
Assay type: RNA in situ
MGI Accession ID: MGI:5541463
Gene symbol: Foxa2
Gene name: forkhead box A2
Probe: forkhead box A2
Probe preparation: Antisense labelled with digoxigenin RNA
Visualized with: Alkaline phosphatase
Results
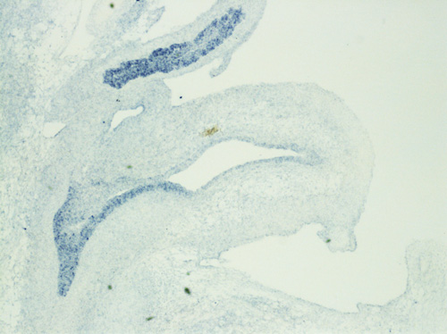
Specimen GUDMAP:13322: embryonic day 14.5 (more )
Note: This specimen was generated and annotated by the lab of Cathy Mendelsohn, Columbia University. Labeling was visualized using NBT/BCIP.
Structure Level Pattern Image Note
TS22: urinary system Present GUDMAP:13322
TS22: bladder Present GUDMAP:13322
TS22: urothelium of bladder Present GUDMAP:13322
TS22: urethra Present GUDMAP:13322

Specimen GUDMAP:13323: embryonic day 15.5 (more )
Note: This specimen was generated and annotated by the lab of Cathy Mendelsohn, Columbia University. Labeling was visualized using NBT/BCIP.
Structure Level Pattern Image Note
TS23: urinary system Present GUDMAP:13323
TS23: bladder Present GUDMAP:13323
TS23: urothelium of bladder Present GUDMAP:13323
TS23: urethra Present GUDMAP:13323

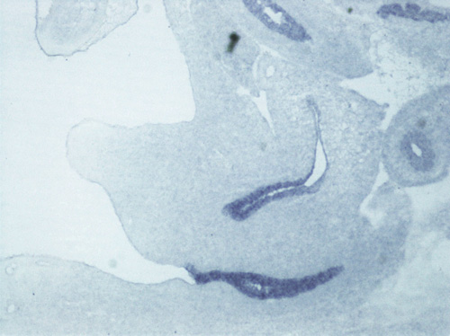
Specimen GUDMAP:13324: embryonic day 16.5 (more )
Note: This specimen was generated and annotated by the lab of Cathy Mendelsohn, Columbia University. Labeling was visualized using NBT/BCIP.
Structure Level Pattern Image Note
TS24: urinary system Present GUDMAP:13324
TS24: bladder Present GUDMAP:13324
TS24: urothelium of bladder Present GUDMAP:13324
TS24: urethra Present GUDMAP:13324

Specimen GUDMAP:13325: embryonic day 17.5 (more )
Note: This specimen was generated and annotated by the lab of Cathy Mendelsohn, Columbia University. Labeling was visualized using NBT/BCIP.
Structure Level Pattern Image Note
TS25: urinary system Present GUDMAP:13325
TS25: bladder Present GUDMAP:13325
TS25: urothelium of bladder Present GUDMAP:13325
TS25: urethra of male Present GUDMAP:13325


Contributing Projects:
Mouse Genome Database (MGD), Gene Expression Database (GXD), Mouse Models of Human Cancer database (MMHCdb) (formerly Mouse Tumor Biology (MTB)), Gene Ontology (GO)
Citing These Resources
Funding Information
Warranty Disclaimer, Privacy Notice, Licensing, & Copyright
Send questions and comments to User Support.
last database update
12/30/2025
MGI 6.24
The Jackson Laboratory