About   Help   FAQ
Gene Expression Data
Assay Details
Assay
Reference: J:171409 GUDMAP Consortium, GUDMAP: the GenitoUrinary Development Molecular Anatomy Project. www.gudmap.org. 2004;
Assay type: RNA in situ
MGI Accession ID: MGI:5541457
Gene symbol: Ephb2
Gene name: Eph receptor B2
Probe: Eph receptor B2
Probe preparation: Antisense labelled with digoxigenin RNA
Visualized with: Alkaline phosphatase
Results
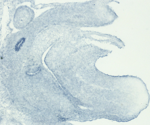
Specimen GUDMAP:13308: embryonic day 15.5 (more )
Note: This specimen was generated and annotated by the lab of Cathy Mendelsohn, Columbia University. Labeling was visualized using NBT/BCIP.
Structure Level Pattern Image Note
TS23: urinary system Present GUDMAP:13308

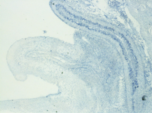
Specimen GUDMAP:13309: embryonic day 17.5 (more )
Note: This specimen was generated and annotated by the lab of Cathy Mendelsohn, Columbia University. Labeling was visualized using NBT/BCIP.
Structure Level Pattern Image Note
TS25: urinary system Present GUDMAP:13309

Specimen GUDMAP:21054: embryonic day 13.0 (more )
Note: This specimen was generated and annotated by the lab of Cathy Mendelsohn, Columbia University. Labeling was visualized using NBT/BCIP.
Structure Level Pattern Image Note
TS21: urothelium of primitive bladder Absent GUDMAP:21054


Contributing Projects:
Mouse Genome Database (MGD), Gene Expression Database (GXD), Mouse Models of Human Cancer database (MMHCdb) (formerly Mouse Tumor Biology (MTB)), Gene Ontology (GO)
Citing These Resources
Funding Information
Warranty Disclaimer, Privacy Notice, Licensing, & Copyright
Send questions and comments to User Support.
last database update
12/30/2025
MGI 6.24
The Jackson Laboratory