About   Help   FAQ
Gene Expression Data
Assay Details
Assay
Reference: J:171409 GUDMAP Consortium, GUDMAP: the GenitoUrinary Development Molecular Anatomy Project. www.gudmap.org. 2004;
Assay type: RNA in situ
MGI Accession ID: MGI:5539058
Gene symbol: Rara
Gene name: retinoic acid receptor, alpha
Probe: MTF#87
Probe preparation: Antisense labelled with digoxigenin RNA
Visualized with: Alkaline phosphatase
Results
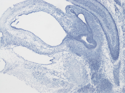
Specimen GUDMAP:5240: embryonic day 15.5 (more )
Note: This specimen was generated and annotated by the lab of Andrew P. McMahon, University of Southern California. Labeling was visualized using BM purple.
Structure Level Pattern Image Note
TS23: ureteric tip Present GUDMAP:5240
TS23: ureteric trunk Present GUDMAP:5240
TS23: renal interstitium Present GUDMAP:5240
TS23: cap mesenchyme Present GUDMAP:5240
TS23: early tubule Present GUDMAP:5240
TS23: late tubule Present GUDMAP:5240
TS23: renal vasculature Present GUDMAP:5240
TS23: ureter Absent GUDMAP:5240
TS23: urethra of female Present GUDMAP:5240
TS23: bladder Present GUDMAP:5240
TS23: ovary Present GUDMAP:5240
TS23: female associated reproductive structure Present GUDMAP:5240
TS23: pelvic ganglion Ambiguous GUDMAP:5240

Specimen GUDMAP:13772: embryonic day 15.0 (more )
Note: This specimen was generated and annotated by the lab of Cathy Mendelsohn, Columbia University. Labeling was visualized using NBT/BCIP.
Structure Level Pattern Image Note
TS23: urothelium of bladder Present GUDMAP:13772
TS23: urethra of male Present GUDMAP:13772


Contributing Projects:
Mouse Genome Database (MGD), Gene Expression Database (GXD), Mouse Models of Human Cancer database (MMHCdb) (formerly Mouse Tumor Biology (MTB)), Gene Ontology (GO)
Citing These Resources
Funding Information
Warranty Disclaimer, Privacy Notice, Licensing, & Copyright
Send questions and comments to User Support.
last database update
12/30/2025
MGI 6.24
The Jackson Laboratory