About   Help   FAQ
Gene Expression Data
Assay Details
Assay
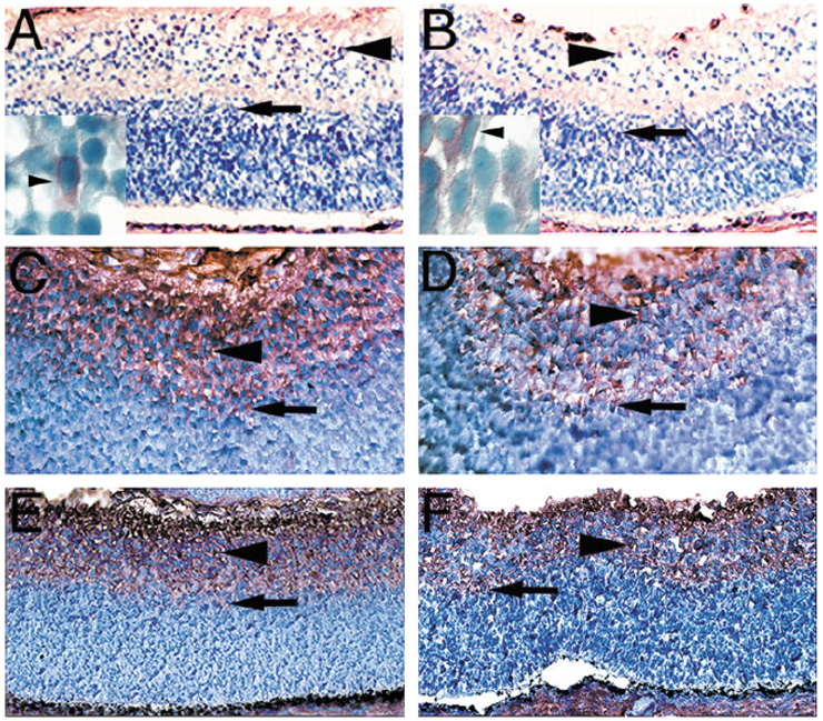
Reference: J:82209 Kablar B, Determination of retinal cell fates is affected in the absence of extraocular striated muscles. Dev Dyn. 2003 Mar;226(3):478-90
Assay type: Immunohistochemistry
MGI Accession ID: MGI:5532702
Gene symbol: Stx1a
Gene name: syntaxin 1A (brain)
Antibody: anti-HPC-1 (S0664)
Detection system: Secondary antibody
Results
Specimen 6C: embryonic day 18.5 (more )
Structure Level Pattern Image Note
TS26: retina inner nuclear layer Present 6C
TS26: retina outer nuclear layer Present 6C

Specimen 6D: embryonic day 18.5; Myf5tm1Jae/Myf5tm1Jae, Myod1tm1Jae/Myod1tm1Jae (more )
Structure Level Pattern Image Note
TS26: retina inner nuclear layer Present 6D Expressed in less amacrine cells (2.5 times), compared with the wild-type.
TS26: retina outer nuclear layer Present 6D Expressed in less amacrine cells (7 times), compared with the wild-type.


Contributing Projects:
Mouse Genome Database (MGD), Gene Expression Database (GXD), Mouse Models of Human Cancer database (MMHCdb) (formerly Mouse Tumor Biology (MTB)), Gene Ontology (GO)
Citing These Resources
Funding Information
Warranty Disclaimer, Privacy Notice, Licensing, & Copyright
Send questions and comments to User Support.
last database update
12/09/2025
MGI 6.24
The Jackson Laboratory