About   Help   FAQ
Gene Expression Data
Assay Details
Assay
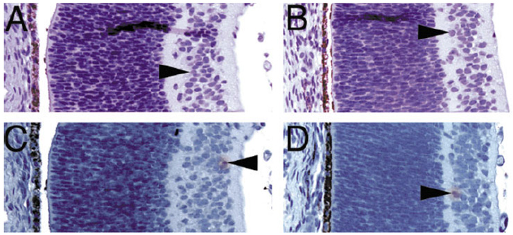
Reference: J:82209 Kablar B, Determination of retinal cell fates is affected in the absence of extraocular striated muscles. Dev Dyn. 2003 Mar;226(3):478-90
Assay type: Immunohistochemistry
MGI Accession ID: MGI:5532700
Gene symbol: Pcna
Gene name: proliferating cell nuclear antigen
Antibody: PC10
Detection system: Secondary antibody
Results
Specimen 5A: embryonic day 18.5 (more )
Structure Level Pattern Image Note
TS26: retina inner nuclear layer Present 5A
TS26: retina outer nuclear layer Present 5A

Specimen 5B: embryonic day 18.5; Myf5tm1Jae/Myf5tm1Jae, Myod1tm1Jae/Myod1tm1Jae (more )
Structure Level Pattern Image Note
TS26: retina inner nuclear layer Present 5B Same as in the wild-type.
TS26: retina outer nuclear layer Present 5B Same as in the wild-type.

Specimen not shown: embryonic day 12.5 (more )
Structure Level Pattern Image Note
TS20: neural retinal epithelium Present

Specimen not shown: embryonic day 12.5; Myf5tm1Jae/Myf5tm1Jae, Myod1tm1Jae/Myod1tm1Jae (more )
Structure Level Pattern Image Note
TS20: neural retinal epithelium Present Same as in the wild-type.

Specimen not shown: embryonic day 15.5 (more )
Structure Level Pattern Image Note
TS23: neural retina Present

Specimen not shown: embryonic day 15.5; Myf5tm1Jae/Myf5tm1Jae, Myod1tm1Jae/Myod1tm1Jae (more )
Structure Level Pattern Image Note
TS23: neural retina Present Same as in the wild-type.

Specimen not shown: embryonic day 17.5 (more )
Structure Level Pattern Image Note
TS25: retina inner nuclear layer Present
TS25: retina outer nuclear layer Present

Specimen not shown: embryonic day 17.5; Myf5tm1Jae/Myf5tm1Jae, Myod1tm1Jae/Myod1tm1Jae (more )
Structure Level Pattern Image Note
TS25: retina inner nuclear layer Present Same as in the wild-type.
TS25: retina outer nuclear layer Present Same as in the wild-type.


Contributing Projects:
Mouse Genome Database (MGD), Gene Expression Database (GXD), Mouse Models of Human Cancer database (MMHCdb) (formerly Mouse Tumor Biology (MTB)), Gene Ontology (GO)
Citing These Resources
Funding Information
Warranty Disclaimer, Privacy Notice, Licensing, & Copyright
Send questions and comments to User Support.
last database update
01/28/2026
MGI 6.24
The Jackson Laboratory