About   Help   FAQ
Gene Expression Data
Assay Details
Assay
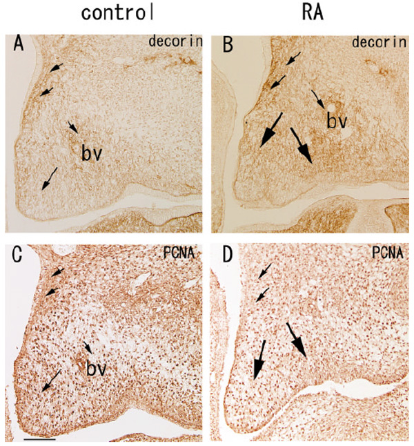
Reference: J:82768 Zhang Y, et al., Differential expression of decorin and biglycan genes during palatogenesis in normal and retinoic acid-treated mice. Dev Dyn. 2003 Apr;226(4):618-26
Assay type: Immunohistochemistry
MGI Accession ID: MGI:5529366
Gene symbol: Dcn
Gene name: decorin
Antibody: anti-decorin
Detection system: Secondary antibody
Results
Specimen 5A: embryonic day 14.0 (more )
Structure Level Pattern Image Note
TS22: primary palate mesenchyme Present Regionally restricted 5A Expressed in the nasal side mesenchyme. Expression in the central part of the palatal mesenchyme was hardly detected.

Specimen 6A: embryonic day 14.0 (more )
Structure Level Pattern Image Note
TS22: primary palate mesenchyme Present Regionally restricted 6A Expressed in the extracellular matrix around the palatal mesenchymal cells.


Contributing Projects:
Mouse Genome Database (MGD), Gene Expression Database (GXD), Mouse Models of Human Cancer database (MMHCdb) (formerly Mouse Tumor Biology (MTB)), Gene Ontology (GO)
Citing These Resources
Funding Information
Warranty Disclaimer, Privacy Notice, Licensing, & Copyright
Send questions and comments to User Support.
last database update
01/28/2026
MGI 6.24
The Jackson Laboratory