Gene Expression Data
Assay Details
|
Assay
|
|
Reference:
|
J:82215
Liu W, et al., Bone morphogenetic protein 4 (BMP4): A regulator of capsule chondrogenesis in the developing mouse inner ear. Dev Dyn. 2003 Mar;226(3):427-38
|
|
Assay type:
|
Immunohistochemistry
|
|
MGI Accession ID:
|
MGI:5529119
|
|
Gene symbol:
|
Bmp4
|
|
Gene name:
|
bone morphogenetic protein 4
|
|
Antibody:
|
Anti-Bmp4
|
|
Detection system:
|
Biotinylated secondary antibody/[Strept]avidin coupled to horseradish peroxidase
|
|
Assay notes:
|
The fixative was methacarn.
|
|
|
Results
|
Specimen
1A:
embryonic day 10.0
(more )
Specimen
1A:
(close )
|
Genetic Background:
|
involves: C57BL/6J * CBA/J
|
|
Age:
|
embryonic day 10.0
|
|
Age Note:
|
Age normalized so that noon of plug day = E0.5.
|
|
Sex:
|
Not Specified
|
|
Type:
|
section
|
|
Fixation:
|
Other - See Notes
|
|
Embedding:
|
Paraffin
|
Specimen
1B:
embryonic day 11.5
(more )
Specimen
1B:
(close )
|
Genetic Background:
|
involves: C57BL/6J * CBA/J
|
|
Age:
|
embryonic day 11.5
|
|
Age Note:
|
Age normalized so that noon of plug day = E0.5.
|
|
Sex:
|
Not Specified
|
|
Type:
|
section
|
|
Fixation:
|
Other - See Notes
|
|
Embedding:
|
Paraffin
|
| Structure |
Level |
Pattern |
Image |
Note |
| TS19: inner ear mesenchyme |
Present |
Regionally restricted |
1B
|
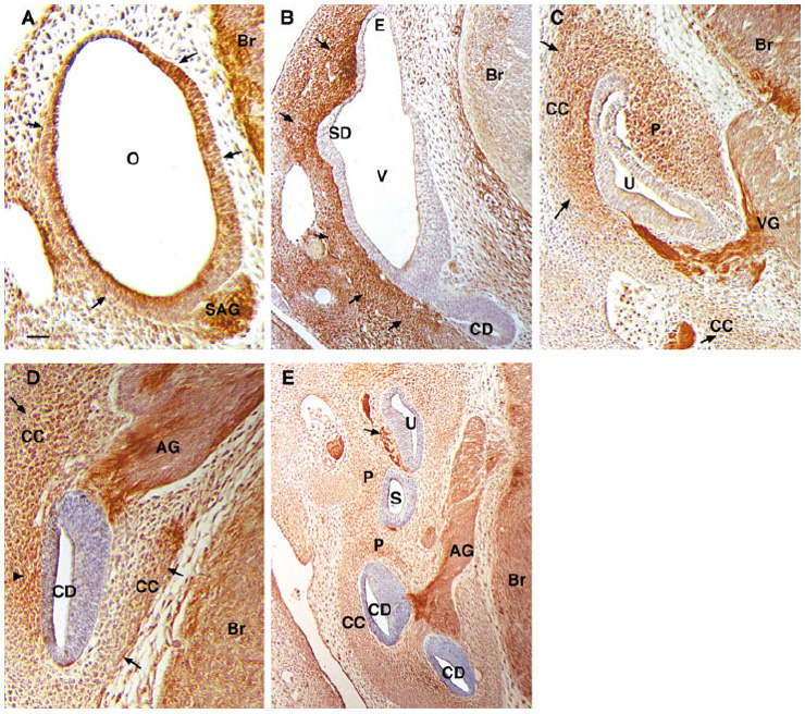
Expression was detected in the condensing periotic mesenchyme that is dorsal and lateral to the horizontal semicircular duct and to the mesenchyme that is lateral to developing vestibular structures.
|
Specimen
1C:
embryonic day 12.5
(more )
Specimen
1C:
(close )
|
Genetic Background:
|
involves: C57BL/6J * CBA/J
|
|
Age:
|
embryonic day 12.5
|
|
Age Note:
|
Age normalized so that noon of plug day = E0.5.
|
|
Sex:
|
Not Specified
|
|
Type:
|
section
|
|
Fixation:
|
Other - See Notes
|
|
Embedding:
|
Paraffin
|
| Structure |
Level |
Pattern |
Image |
Note |
| TS20: otic capsule |
Present |
Regionally restricted |
1C
|
Expression was detected in condensing mesenchyme of the forming cartilaginous otic capsule.
|
| TS20: inner ear mesenchyme |
Present |
Regionally restricted |
1C
|
Expression was detected in the perilymphatic space mesenchyme adjacent to the utricle.
|
| TS20: vestibular ganglion |
Present |
Regionally restricted |
1C
|
Dense staining was detected in nerve fibers emerging from the vestibular ganglion.
|
Specimen
1D:
embryonic day 12.5
(more )
Specimen
1D:
(close )
|
Genetic Background:
|
involves: C57BL/6J * CBA/J
|
|
Age:
|
embryonic day 12.5
|
|
Age Note:
|
Age normalized so that noon of plug day = E0.5.
|
|
Sex:
|
Not Specified
|
|
Type:
|
section
|
|
Fixation:
|
Other - See Notes
|
|
Embedding:
|
Paraffin
|
| Structure |
Level |
Pattern |
Image |
Note |
| TS20: otic capsule |
Present |
Regionally restricted |
1D
|
Expression was detected in the condensing mesenchyme of the developing otic capsule.
|
| TS20: inner ear mesenchyme |
Present |
Regionally restricted |
1D
|
Expression was detected in the perilymphatic space mesenchyme adjacent to the developing cochlear duct.
|
| TS20: cochlear ganglion |
Present |
Regionally restricted |
1D
|
Expression was detected in fibers emerging from the acoustic ganglion toward the cochlear duct.
|
Specimen
1E:
embryonic day 13.5
(more )
Specimen
1E:
(close )
|
Genetic Background:
|
involves: C57BL/6J * CBA/J
|
|
Age:
|
embryonic day 13.5
|
|
Age Note:
|
Age normalized so that noon of plug day = E0.5.
|
|
Sex:
|
Not Specified
|
|
Type:
|
section
|
|
Fixation:
|
Other - See Notes
|
|
Embedding:
|
Paraffin
|
| Structure |
Level |
Pattern |
Image |
Note |
| TS21: inner ear mesenchyme |
Present |
Regionally restricted |
1E
|
Expression was detected in the perilymphatic space mesenchyme.
|
| TS21: cochlear ganglion |
Present |
Regionally restricted |
1E
|
Expression was detected in the emerging nerve fibers of the acoustic and vestibular ganglia.
|
| TS21: vestibular ganglion |
Present |
Regionally restricted |
1E
|
Expression was detected in the emerging nerve fibers of the acoustic and vestibular ganglia.
|
| TS21: otic capsule |
Weak |
|
1E
|
Expression was detected in the chondrifying otic capsule.
|
|