About   Help   FAQ
Gene Expression Data
Assay Details
Assay
Reference: J:84417 Laclef C, et al., Thymus, kidney and craniofacial abnormalities in Six 1 deficient mice. Mech Dev. 2003 Jun;120(6):669-79
Assay type: In situ reporter (knock in)
MGI Accession ID: MGI:5516027
Gene symbol: Six1
Gene name: sine oculis-related homeobox 1
Reporter: lacZ
Direct Detection
Results
Specimen 1A: embryonic day 8.0; Six1tm1Mair/Six1+ (more )
Note: 4 somites
Structure Level Pattern Image Note
TS12: branchial arch Present 1A
TS12: head mesenchyme Present 1A
TS12: somite Present 1A

Specimen 1B: embryonic day 8.5; Six1tm1Mair/Six1+ (more )
Note: 11 somites
Structure Level Pattern Image Note
TS13: somite Strong Regionally restricted 1B Except the first three occipital somites.
TS13: otic placode Strong Regionally restricted 1B Expression is in mesenchymal cells and epithelial cells of the otic placode at the head level.
TS13: branchial arch Strong 1B

Specimen 1C: embryonic day 9.5; Six1tm1Mair/Six1+ (more )
Note: 27 somites
Structure Level Pattern Image Note
TS15: head mesenchyme Present 1C
TS15: otic pit Present 1C
TS15: somite Present 1C Newly formed somites are homogeneously stained.
TS15: olfactory placode Strong Regionally restricted 1C Expression is in epithelial cells.

Specimen 1D: embryonic day 9.5; Six1tm1Mair/Six1+ (more )
Structure Level Pattern Image Note
TS15: branchial arch Strong 1D
TS15: dermomyotome Present 1D
TS15: dorsal root ganglion Present 1D
TS15: myotome Present 1D
TS15: otic pit Present 1D
TS15: embryo mesenchyme Present Regionally restricted 1D Expression is in the hypoglossal cord.

Specimen 1E: embryonic day 9.5; Six1tm1Mair/Six1+ (more )
Structure Level Pattern Image Note
TS15: olfactory placode Strong 1E
TS15: nephrogenic cord Present 1E

Specimen 1F: embryonic day 9.5; Six1tm1Mair/Six1+ (more )
Structure Level Pattern Image Note
TS15: paraxial mesenchyme Present Regionally restricted 1F There is lateral expression of unsegmented paraxial mesoderm.

Specimen 1G: embryonic day 10.5; Six1tm1Mair/Six1+ (more )
Structure Level Pattern Image Note
TS17: branchial arch Strong 1G
TS17: nasal pit Strong 1G
TS17: dorsal root ganglion Present 1G
TS17: head mesenchyme Present 1G
TS17: otocyst Present 1G
TS17: somite Present 1G
TS17: limb Present Single cells 1G Expression is in cells invading the limb bud.

Specimen 1H: embryonic day 10.5; Six1tm1Mair/Six1+ (more )
Structure Level Pattern Image Note
TS17: dorsal root ganglion Present 1H
TS17: somite Present 1H
TS17: cranial ganglion Present Regionally restricted 1H Expression is in proximal cranial ganglia.

Specimen 1I: embryonic day 10.5; Six1tm1Mair/Six1+ (more )
Structure Level Pattern Image Note
TS17: dorsal root ganglion Present 1I
TS17: somite Present 1I
TS17: limb Present Single cells 1I Expression is in cells invading the limb bud.

Specimen 1J: embryonic day 10.5; Six1tm1Mair/Six1+ (more )
Structure Level Pattern Image Note
TS17: dorsal root ganglion Present 1J
TS17: somite Present 1J
TS17: limb Present Single cells 1J Expression is in cells invading the limb bud.

Specimen 1K: embryonic day 12.5; Six1tm1Mair/Six1+ (more )
Structure Level Pattern Image Note
TS20: somite Present Regionally restricted 1K Expression is in interlimb somites.
TS20: cranial ganglion Present 1K
TS20: dorsal root ganglion Present 1K
TS20: forelimb Present 1K Expression is in a posterior distally extended area and in an anterior area.

Specimen 2A: embryonic day 10.5; Six1tm1Mair/Six1+ (more )
Structure Level Pattern Image Note
TS17: Rathke's pouch Strong 2A
TS17: otocyst Strong Regionally restricted 2A Expression is in the ventral part.
TS17: optic cup Absent 2A

Specimen 2B: embryonic day 10.5; Six1tm1Mair/Six1+ (more )
Structure Level Pattern Image Note
TS17: otocyst epithelium Strong 2B

Specimen 2C,D: embryonic day 10.5; Six1tm1Mair/Six1+ (more )
Structure Level Pattern Image Note
TS17: dorsal root ganglion Present 2C
TS17: somite Present 2C
TS17: mesonephric tubule Present 2D , 2C

Specimen 2E: embryonic day 11.5; Six1tm1Mair/Six1+ (more )
Structure Level Pattern Image Note
TS19: eye Absent 2E

Specimen 2F: embryonic day 11.5; Six1tm1Mair/Six1+ (more )
Structure Level Pattern Image Note
TS19: inner ear mesenchyme Strong Regionally restricted 2F Expression is in mesenchymal cells surrounding the otic vesicle.
TS19: endolymphatic appendage epithelium Strong 2F

Specimen 2G: embryonic day 11.5; Six1tm1Mair/Six1+ (more )
Structure Level Pattern Image Note
TS19: somite Present Regionally restricted 2G Expression is in the dorso-medial lip and ventro-lateral lip of this immature somite.
TS19: dermomyotome Present 2G
TS19: myotome Present 2G

Specimen 2H: embryonic day 11.5; Six1tm1Mair/Six1+ (more )
Structure Level Pattern Image Note
TS19: somite Present Regionally restricted 2H Expression is in the dorso-medial lip and ventro-lateral lip of this immature somite.
TS19: dermomyotome Present 2H
TS19: myotome Present 2H

Specimen 2I: embryonic day 12.5; Six1tm1Mair/Six1+ (more )
Structure Level Pattern Image Note
TS20: dorsal root ganglion Present 2I
TS20: dermomyotome Present Regionally restricted 2I Expression is in the ventro-lateral extension of the dermomyotome.
TS20: skeletal muscle Present Regionally restricted 2I Expression is in dorsal and ventral muscle masses.

Specimen 2J: embryonic day 12.5; Six1tm1Mair/Six1+ (more )
Structure Level Pattern Image Note
TS20: dorsal root ganglion Present 2J
TS20: dermomyotome Present Regionally restricted 2J Expression is in the ventro-lateral extension of the dermomyotome.
TS20: skeletal muscle Present Regionally restricted 2J Expression is in dorsal and ventral muscle masses.

Specimen 2K: postnatal adult; Six1tm1Mair/Six1+ (more )
Structure Level Pattern Image Note
TS28: limb musculature Present 2K Thigh muscle.

Specimen 2L: postnatal adult; Six1tm1Mair/Six1+ (more )
Structure Level Pattern Image Note
TS28: diaphragm Present 2L

Specimen 4A,C: embryonic day 18.5; Six1tm1Mair/Six1tm1Mair (more )
Structure Level Pattern Image Note
TS26: otic capsule Present 4A , 4C
TS26: cochlear duct Present 4C , 4A These structures are unrecognizable in this mutant but staining is present.
TS26: semicircular duct Present 4C , 4A These structures are unrecognizable in this mutant but staining is present.

Specimen 4B,D: embryonic day 18.5; Six1tm1Mair/Six1+ (more )
Structure Level Pattern Image Note
TS26: cochlear duct epithelium Present 4D , 4B
TS26: otic capsule Present 4D , 4B

Specimen 4E: embryonic day 11.5; Six1tm1Mair/Six1tm1Mair (more )
Structure Level Pattern Image Note
TS19: inner ear Present 4E Otic vesicle expression/development in this mutant is the same as in wild-type.

Specimen 4F: embryonic day 11.5; Six1tm1Mair/Six1+ (more )
Structure Level Pattern Image Note
TS19: inner ear Present 4F

Specimen 5A: embryonic day 18.5; Six1tm1Mair/Six1tm1Mair (more )
Structure Level Pattern Image Note
TS26: olfactory epithelium Strong 5A Mutant show the absence of lateral reticulation of the nasal cavity.
TS26: head mesenchyme Present Regionally restricted 5A Expression is in dispersed mesenchyme surrounding the teeth primordium and the vibrissae follicules.

Specimen 5B: embryonic day 18.5; Six1tm1Mair/Six1+ (more )
Structure Level Pattern Image Note
TS26: olfactory epithelium Strong 5B
TS26: head mesenchyme Present Regionally restricted 5B Expression is in dispersed mesenchyme surrounding the teeth primordium and the vibrissae follicules.

Specimen 5C: embryonic day 18.5; Six1tm1Mair/Six1tm1Mair (more )
Structure Level Pattern Image Note
TS26: olfactory epithelium Strong 5C Mutant show the absence of lateral reticulation of the nasal cavity.

Specimen 5D: embryonic day 18.5; Six1tm1Mair/Six1+ (more )
Structure Level Pattern Image Note
TS26: olfactory epithelium Strong 5D

Specimen 5E: embryonic day 18.5; Six1tm1Mair/Six1tm1Mair (more )
Structure Level Pattern Image Note
TS26: olfactory epithelium Strong 5E Expression is in the nasal epithelium (epithelium is reduced in this mutant).

Specimen 5F: embryonic day 18.5; Six1tm1Mair/Six1+ (more )
Structure Level Pattern Image Note
TS26: olfactory epithelium Strong 5F

Specimen 6A: embryonic day 18.5; Six1tm1Mair/Six1tm1Mair (more )
Structure Level Pattern Image Note
TS26: eye Present Regionally restricted 6A Expression is in the lacrimal gland which is reduced and disorganized in this mutant.
TS26: parotid gland Absent 6A This structure is absent in the mutant.

Specimen 6B: embryonic day 18.5; Six1tm1Mair/Six1tm1Mair (more )
Structure Level Pattern Image Note
TS26: eye Present Regionally restricted 6B Expression is in the lacrimal gland which is reduced and disorganized in this mutant.
TS26: parotid gland Absent 6B This structure is absent in the mutant.

Specimen 6C: embryonic day 18.5; Six1tm1Mair/Six1+ (more )
Structure Level Pattern Image Note
TS26: parotid gland Present 6C
TS26: eye Present Regionally restricted 6C Expression is in the lacrimal gland.

Specimen 6D: embryonic day 18.5; Six1tm1Mair/Six1+ (more )
Structure Level Pattern Image Note
TS26: parotid gland Present 6D
TS26: eye Present Regionally restricted 6D Expression is in the lacrimal gland.

Specimen 7A: embryonic day 18.5; Six1tm1Mair/Six1tm1Mair (more )
Structure Level Pattern Image Note
TS26: pituitary gland Strong 7A Expression in this mutant is similar as seen in wild-type.
TS26: jaw Present 7A Expression in this mutant is similar as seen in wild-type.
TS26: nasal cavity epithelium Present 7A Expression in this mutant is similar as seen in wild-type.
TS26: tongue Present 7A Expression in this mutant is similar as seen in wild-type.
TS26: submandibular gland Present 7A Expression is similar, the gland is reduced in size.
TS26: thymus Absent 7A This structure is absent in the mutant.

Specimen 7B: embryonic day 18.5; Six1tm1Mair/Six1+ (more )
Structure Level Pattern Image Note
TS26: pituitary gland Strong 7B
TS26: nasal cavity epithelium Present 7B
TS26: submandibular gland Present 7B
TS26: thymus Present 7B
TS26: tongue Present 7B
TS26: jaw Present Regionally restricted 7B Expression is in the mesenchyme surrounding the teeth primordia.

Specimen 7C: embryonic day 18.5; Six1tm1Mair/Six1tm1Mair (more )
Structure Level Pattern Image Note
TS26: pituitary gland Strong 7C Expression in this mutant is the same as in wild-type.

Specimen 7D: embryonic day 18.5; Six1tm1Mair/Six1+ (more )
Structure Level Pattern Image Note
TS26: pituitary gland Strong 7D

Specimen 7E: embryonic day 18.5; Six1tm1Mair/Six1tm1Mair (more )
Structure Level Pattern Image Note
TS26: submandibular gland Present 7E Expression in this mutant is the same as in wild-type.

Specimen 7F: embryonic day 18.5; Six1tm1Mair/Six1+ (more )
Structure Level Pattern Image Note
TS26: submandibular gland Present 7F

Specimen 7G: embryonic day 18.5; Six1tm1Mair/Six1tm1Mair (more )
Structure Level Pattern Image Note
TS26: submandibular gland Present 7G Expression in this mutant is the same as in wild-type.

Specimen 7H: embryonic day 18.5; Six1tm1Mair/Six1+ (more )
Structure Level Pattern Image Note
TS26: submandibular gland Present 7H

Specimen 7I: embryonic day 18.5; Six1tm1Mair/Six1tm1Mair (more )
Structure Level Pattern Image Note
TS26: submandibular gland Present 7I The gland is reduced in size but expression in this mutant is the same as in wild-type.

Specimen 7J: embryonic day 18.5; Six1tm1Mair/Six1+ (more )
Structure Level Pattern Image Note
TS26: submandibular gland Present 7J

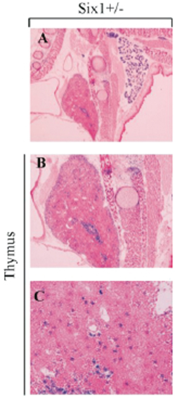
Specimen 8A: embryonic day 18.5; Six1tm1Mair/Six1+ (more )
Structure Level Pattern Image Note
TS26: thymus Present Single cells 8A

Specimen 8B: embryonic day 18.5; Six1tm1Mair/Six1+ (more )
Structure Level Pattern Image Note
TS26: thymus Present Single cells 8B

Specimen 8C: embryonic day 18.5; Six1tm1Mair/Six1+ (more )
Structure Level Pattern Image Note
TS26: thymus Present Single cells 8C

Specimen 9A: embryonic day 13.5; Six1tm1Mair/Six1tm1Mair (more )
Structure Level Pattern Image Note
TS21: metanephros Absent 9A This structure is absent in this mutant.

Specimen 9B: embryonic day 13.5; Six1tm1Mair/Six1+ (more )
Structure Level Pattern Image Note
TS21: metanephros Absent 9B

Specimen 9C: embryonic day 13.5; Six1tm1Mair/Six1tm1Mair (more )
Structure Level Pattern Image Note
TS21: embryo Present Regionally restricted 9C

Specimen 9D: embryonic day 13.5; Six1tm1Mair/Six1+ (more )
Structure Level Pattern Image Note
TS21: embryo Present Regionally restricted 9D

Specimen 9E: embryonic day 18.5; Six1tm1Mair/Six1+ (more )
Structure Level Pattern Image Note
TS26: metanephros Absent 9E


Contributing Projects:
Mouse Genome Database (MGD), Gene Expression Database (GXD), Mouse Models of Human Cancer database (MMHCdb) (formerly Mouse Tumor Biology (MTB)), Gene Ontology (GO)
Citing These Resources
Funding Information
Warranty Disclaimer, Privacy Notice, Licensing, & Copyright
Send questions and comments to User Support.
last database update
01/20/2026
MGI 6.24
The Jackson Laboratory