About   Help   FAQ
Gene Expression Data
Assay Details
Assay
Reference: J:137806 Arango NA, et al., A mesenchymal perspective of Mullerian duct differentiation and regression in Amhr2-lacZ mice. Mol Reprod Dev. 2008 Jul;75(7):1154-62
Assay type: In situ reporter (knock in)
MGI Accession ID: MGI:5515927
Gene symbol: Amhr2
Gene name: anti-Mullerian hormone type 2 receptor
Reporter: lacZ
Direct Detection
Results
Specimen 2A XY: embryonic day 12.5; Amhr2tm2Bhr/Amhr2+ (more )
Structure Level Pattern Image Note
TS20: male reproductive system Absent 2A

Specimen 2B XX: embryonic day 12.5; Amhr2tm2Bhr/Amhr2+ (more )
Structure Level Pattern Image Note
TS20: female reproductive system Absent 2B

Specimen 2C XY: embryonic day 13.0; Amhr2tm2Bhr/Amhr2+ (more )
Structure Level Pattern Image Note
TS21: paramesonephric duct of male Present Regionally restricted 2C Expression was observed at the most cranial ends of the forming Mullerian duct.

Specimen 2D XX: embryonic day 13.0; Amhr2tm2Bhr/Amhr2+ (more )
Structure Level Pattern Image Note
TS21: paramesonephric duct of female Present Regionally restricted 2D Expression was observed at the most cranial ends of the forming Mullerian duct.

Specimen 2E XY: embryonic day 13.25; Amhr2tm2Bhr/Amhr2+ (more )
Structure Level Pattern Image Note
TS21: paramesonephric duct of male Weak 2E Weak expression was detected along the length of the Mullerian duct.

Specimen 2F XX: embryonic day 13.25; Amhr2tm2Bhr/Amhr2+ (more )
Structure Level Pattern Image Note
TS21: paramesonephric duct of female Weak 2F Much weaker expression was detected along the length of the Mullerian duct in the female.

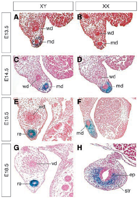
Specimen 2G XY: embryonic day 13.5; Amhr2tm2Bhr/Amhr2+ (more )
Structure Level Pattern Image Note
TS21: paramesonephric duct of male Present 2G Expression was detected along the length of the Mullerian duct and was stronger in the male than in the female.

Specimen 2H XX: embryonic day 13.5; Amhr2tm2Bhr/Amhr2+ (more )
Structure Level Pattern Image Note
TS21: paramesonephric duct of female Present 2H Expression was detected along the length of the Mullerian duct and was stronger in the male than in the female.

Specimen 2I XY: embryonic day 14.5; Amhr2tm2Bhr/Amhr2+ (more )
Structure Level Pattern Image Note
TS22: paramesonephric duct of male Present 2I Expression was detected along the length of the Mullerian duct and was stronger in the male than in the female.

Specimen 2J XX: embryonic day 14.5; Amhr2tm2Bhr/Amhr2+ (more )
Structure Level Pattern Image Note
TS22: paramesonephric duct of female Present 2J Expression was detected along the length of the Mullerian duct and was stronger in the male than in the female.

Specimen 2K XY: embryonic day 15.5; Amhr2tm2Bhr/Amhr2+ (more )
Structure Level Pattern Image Note
TS23: degenerating rest of paramesonephric duct of male Present Non-Uniform 2K Expression in the male was less uniform because Mullerian duct regression was occurring.

Specimen 2L XX: embryonic day 15.5; Amhr2tm2Bhr/Amhr2+ (more )
Structure Level Pattern Image Note
TS23: paramesonephric duct of female Present 2L Expression was detected throughout the Mullerian duct in the female.

Specimen 2M XY: embryonic day 16.0; Amhr2tm2Bhr/Amhr2+ (more )
Structure Level Pattern Image Note
TS24: paramesonephric duct Present Non-Uniform 2M Expression in the male was less uniform because Mullerian duct regression was occurring.

Specimen 2N XX: embryonic day 16.0; Amhr2tm2Bhr/Amhr2+ (more )
Structure Level Pattern Image Note
TS24: paramesonephric duct Present 2N Expression was detected throughout the Mullerian duct in the female.

Specimen 2O XY: embryonic day 16.5; Amhr2tm2Bhr/Amhr2+ (more )
Structure Level Pattern Image Note
TS24: paramesonephric duct Trace Patchy 2O In the male, expression was essentially absent except for small patches of cells.

Specimen 2P XX: embryonic day 16.5; Amhr2tm2Bhr/Amhr2+ (more )
Structure Level Pattern Image Note
TS24: paramesonephric duct Present 2P Expression was detected throughout the Mullerian duct in the female.

Specimen 2Q XY: embryonic day 18.5; Amhr2tm2Bhr/Amhr2+ (more )
Structure Level Pattern Image Note
TS26: paramesonephric duct Trace Patchy 2Q In the male, expression was essentially absent except for small patches of cells.

Specimen 2R XX: embryonic day 18.5; Amhr2tm2Bhr/Amhr2+ (more )
Structure Level Pattern Image Note
TS26: paramesonephric duct Present 2R Expression was detected throughout the Mullerian duct in the female.

Specimen 3A XY: embryonic day 13.5; Amhr2tm2Bhr/Amhr2+ (more )
Structure Level Pattern Image Note
TS21: mesenchyme of paramesonephric duct of male Present 3A Expression was detected in the mesenchymal cells of the Mullerian duct.
TS21: epithelium of paramesonephric duct of male Absent 3A No expression was detected in the mesoepithelial cells of the Mullerian duct.
TS21: coelomic epithelium of reproductive system Present Regionally restricted 3A Expression was detected in the distal coelomic epithelium.

Specimen 3B XX: embryonic day 13.5; Amhr2tm2Bhr/Amhr2+ (more )
Structure Level Pattern Image Note
TS21: mesenchyme of paramesonephric duct of female Present 3B Expression was detected in the mesenchymal cells of the Mullerian duct.
TS21: epithelium of paramesonephric duct of female Absent 3B No expression was detected in the mesoepithelial cells of the Mullerian duct.
TS21: coelomic epithelium of reproductive system Ambiguous 3B

Specimen 3C XY: embryonic day 14.5; Amhr2tm2Bhr/Amhr2+ (more )
Structure Level Pattern Image Note
TS22: coelomic epithelium of reproductive system Present 3C
TS22: mesenchyme of degenerating paramesonephric duct of male Present 3C

Specimen 3D XX: embryonic day 14.5; Amhr2tm2Bhr/Amhr2+ (more )
Structure Level Pattern Image Note
TS22: mesenchyme of paramesonephric duct of female Present Regionally restricted 3D Expression was most prominent in the prospective anti-mesometrial mesenchyme.
TS22: coelomic epithelium of reproductive system Present 3D

Specimen 3E XY: embryonic day 15.5; Amhr2tm2Bhr/Amhr2+ (more )
Structure Level Pattern Image Note
TS23: mesenchyme of degenerating paramesonephric duct of male Present Regionally restricted 3E A few areas of persistent staining were noted in the Mullerian duct mesenchyme of the male.

Specimen 3F XX: embryonic day 15.5; Amhr2tm2Bhr/Amhr2+ (more )
Structure Level Pattern Image Note
TS23: mesenchyme of paramesonephric duct of female Present Regionally restricted 3F Expression was similar to E14.5.

Specimen 3G XY: embryonic day 18.5; Amhr2tm2Bhr/Amhr2+ (more )
Structure Level Pattern Image Note
TS26: male reproductive system Present Regionally restricted 3G Expression was detected in nodules found adjacent to the vas deferens.

Specimen 3H XX: embryonic day 18.5; Amhr2tm2Bhr/Amhr2+ (more )
Structure Level Pattern Image Note
TS26: uterus stroma Present Regionally restricted 3H Expression was detected in the anti-mesometrial stroma of the uterus.

Specimen not shown 2 dpp male: postnatal day 2; Amhr2tm2Bhr/Amhr2+ (more )
Structure Level Pattern Image Note
TS27: male reproductive system Present Regionally restricted Expression was found in a few isolated focal regions adjacent to the vas deferens.

Specimen not shown 2 dpp female: postnatal day 2; Amhr2tm2Bhr/Amhr2+ (more )
Structure Level Pattern Image Note
TS27: cervix uteri Present
TS27: ovary Present
TS27: oviduct Present
TS27: uterus Present

Specimen not shown 7 dpp male: postnatal day 7; Amhr2tm2Bhr/Amhr2+ (more )
Structure Level Pattern Image Note
TS28: testis Weak

Specimen 4A: postnatal week 2; Amhr2tm2Bhr/Amhr2+ (more )
Structure Level Pattern Image Note
TS28: testis Present 4A

Specimen not shown: postnatal week 2; Amhr2tm2Bhr/Amhr2+ (more )
Structure Level Pattern Image Note
TS28: seminiferous tubule Present Regionally restricted Expression was localized to cells at the periphery of the seminiferous tubules.

Specimen 4B: postnatal week 2; Amhr2tm2Bhr/Amhr2+ (more )
Structure Level Pattern Image Note
TS28: cervix uteri Present 4B
TS28: ovary Present 4B
TS28: oviduct Present 4B
TS28: uterus Present 4B

Specimen 4E: postnatal adult; Amhr2tm2Bhr/Amhr2+ (more )
Structure Level Pattern Image Note
TS28: ovary antral follicle Present 4E
TS28: ovary secondary follicle Present 4E Expression was detected in preantral follicles.

Specimen 4F: postnatal adult; Amhr2tm2Bhr/Amhr2+ (more )
Structure Level Pattern Image Note
TS28: myometrium Present 4F Expression was detected in the circular muscle layer of the uterus.


Contributing Projects:
Mouse Genome Database (MGD), Gene Expression Database (GXD), Mouse Models of Human Cancer database (MMHCdb) (formerly Mouse Tumor Biology (MTB)), Gene Ontology (GO)
Citing These Resources
Funding Information
Warranty Disclaimer, Privacy Notice, Licensing, & Copyright
Send questions and comments to User Support.
last database update
12/30/2025
MGI 6.24
The Jackson Laboratory