About   Help   FAQ
Gene Expression Data
Assay Details
Assay
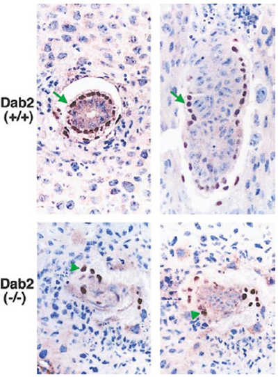
Reference: J:79862 Yang DH, et al., Disabled-2 is essential for endodermal cell positioning and structure formation during mouse embryogenesis. Dev Biol. 2002 Nov 1;251(1):27-44
Assay type: Immunohistochemistry
MGI Accession ID: MGI:5505822
Gene symbol: Gata4
Gene name: GATA binding protein 4
Results
Specimen 5 +/+ left: embryonic day 5.5 (more )
Structure Level Pattern Image Note
TS8: extraembryonic visceral endoderm Present 5_Dab2 +/+ left
TS8: parietal endoderm Present 5_Dab2 +/+ left

Specimen 5 +/+ right: embryonic day 5.5 (more )
Structure Level Pattern Image Note
TS8: extraembryonic visceral endoderm Present 5_Dab2 +/+ right
TS8: parietal endoderm Present 5_Dab2 +/+ right

Specimen 5 -/- left: embryonic day 5.5; Dab2tm1Xxx/Dab2tm1Xxx (more )
Structure Level Pattern Image Note
TS8: extraembryonic visceral endoderm Present Regionally restricted 5_Dab2 -/- left Stained cells are disorganized in this mutant.
TS8: parietal endoderm Present Regionally restricted 5_Dab2 -/- left Stained cells are disorganized in this mutant.

Specimen 5 -/- right: embryonic day 5.5; Dab2tm1Xxx/Dab2tm1Xxx (more )
Structure Level Pattern Image Note
TS8: extraembryonic visceral endoderm Present Regionally restricted 5_Dab2 -/- right Stained cells are disorganized in this mutant.
TS8: parietal endoderm Present Regionally restricted 5_Dab2 -/- right Stained cells are disorganized in this mutant.


Contributing Projects:
Mouse Genome Database (MGD), Gene Expression Database (GXD), Mouse Models of Human Cancer database (MMHCdb) (formerly Mouse Tumor Biology (MTB)), Gene Ontology (GO)
Citing These Resources
Funding Information
Warranty Disclaimer, Privacy Notice, Licensing, & Copyright
Send questions and comments to User Support.
last database update
12/30/2025
MGI 6.24
The Jackson Laboratory