About   Help   FAQ
Gene Expression Data
Assay Details
Assay
Reference: J:1784 Suzuki HR, et al., Localization of HstI transcripts to the apical ectodermal ridge in the mouse embryo. Dev Biol. 1992 Mar;150(1):219-22
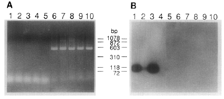
Assay type: RT-PCR
MGI Accession ID: MGI:5476525
Gene symbol: Fgf4
Gene name: fibroblast growth factor 4
Probe: HstI-pA, HstI-pB
Visualized with: Ethidium bromide
Assay notes: This assay showed the results after 20-cycle amplification.
Results
Image: 2A ©

 Sample Information Bands Other Sample Information
Lane AgeStructure Size Not Specified Amount Genetic BackgroundMutant Allele(s)Sex Note
1 E11.5 TS19: limb Absent Not Specified involves: NIH:Swiss Webster Not Specified
2 E11.5 TS19: head Absent Not Specified involves: NIH:Swiss Webster Not Specified
3 E11.5 TS19: trunk Absent Not Specified involves: NIH:Swiss Webster Not Specified Rest of the body without the limb and head.
4 E11.5 TS28: placenta Absent Not Specified involves: NIH:Swiss Webster Female
5 E11.5 TS19: extraembryonic component Absent Not Specified involves: NIH:Swiss Webster Not Specified Allantois.
6 Control
7 Control
8 Control
9 Control
10 Control

Contributing Projects:
Mouse Genome Database (MGD), Gene Expression Database (GXD), Mouse Models of Human Cancer database (MMHCdb) (formerly Mouse Tumor Biology (MTB)), Gene Ontology (GO)
Citing These Resources
Funding Information
Warranty Disclaimer, Privacy Notice, Licensing, & Copyright
Send questions and comments to User Support.
last database update
01/28/2026
MGI 6.24
The Jackson Laboratory