About   Help   FAQ
Gene Expression Data
Assay Details
Assay
Reference: J:182956 Saito K, et al., MicroRNA 130 family regulates the hypoxia response signal through the P-body protein DDX6. Nucleic Acids Res. 2011 Aug;39(14):6086-99
Assay type: RNA in situ
MGI Accession ID: MGI:5475475
Gene symbol: Mir130a
Gene name: microRNA 130a
Probe: miR-130a probe3
Probe preparation: Antisense labelled with digoxigenin RNA
Visualized with: Alkaline phosphatase
Assay notes: The probe recognized the pri-microRNA.
Results
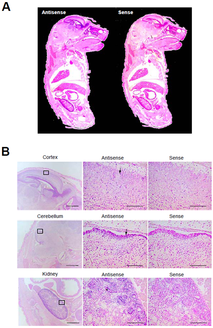
Specimen S6A left: embryonic day 18.5 (more )
Structure Level Pattern Image Note
TS26: cerebellum Present Regionally restricted S6A left Expression was detected in granule cells.
TS26: cerebral cortex Present Regionally restricted S6A left Expression was detected in granule cells.
TS26: renal tubule Present S6A left

Specimen S6B Cortex: embryonic day 18.5 (more )
Structure Level Pattern Image Note
TS26: cerebral cortex Present Regionally restricted S6B Cortex left , S6B Cortex middle Expression was detected in granule cells.

Specimen S6B Cerebellum: embryonic day 18.5 (more )
Structure Level Pattern Image Note
TS26: cerebellum Present Regionally restricted S6B Cerebellum middle , S6B Cerebellum left Expression was detected in granule cells.

Specimen S6B Kidney: embryonic day 18.5 (more )
Structure Level Pattern Image Note
TS26: renal tubule Present S6B Kidney middle , S6B Kidney left


Contributing Projects:
Mouse Genome Database (MGD), Gene Expression Database (GXD), Mouse Models of Human Cancer database (MMHCdb) (formerly Mouse Tumor Biology (MTB)), Gene Ontology (GO)
Citing These Resources
Funding Information
Warranty Disclaimer, Privacy Notice, Licensing, & Copyright
Send questions and comments to User Support.
last database update
03/24/2026
MGI 6.24
The Jackson Laboratory