| Assay |
|
|||||||||||||||||||||||||||||||||||||||||||||||||||||||||||||||||||||||||||||||||||||||||||||||||||||||||||||||||||||||||||||||||||||||||||||||||||||||||||||||||||||||||||||||||||||||||||||||||||||||||||||||||||||||||||||||||||||||||||||||||||||
| Results |
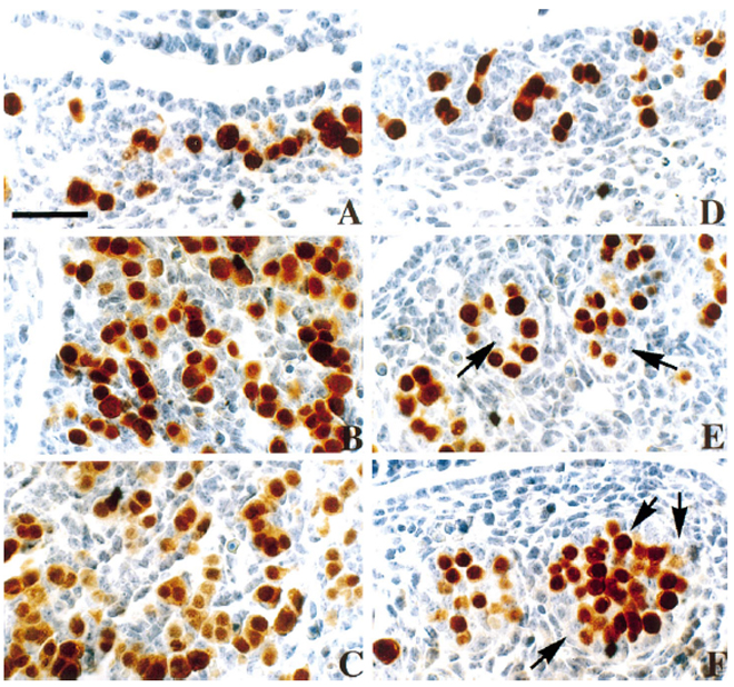
Specimen
1A:
embryonic day 11.5
(more
)
Specimen
1B:
embryonic day 12.5
(more
)
Specimen
1C:
embryonic day 13.5
(more
)
Specimen
1D:
embryonic day 11.5
(more
)
Specimen
1E:
embryonic day 12.5
(more
)
Specimen
1F:
embryonic day 13.5
(more
)
Specimen
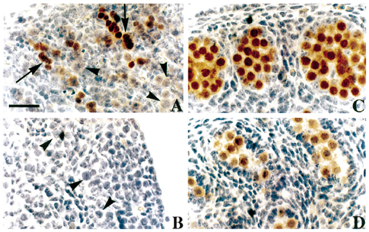
2A:
embryonic day 14.5
(more
)
Specimen
2B:
embryonic day 16.5
(more
)
Specimen
2C:
embryonic day 14.5
(more
)
Specimen
2D:
embryonic day 16.5
(more
)
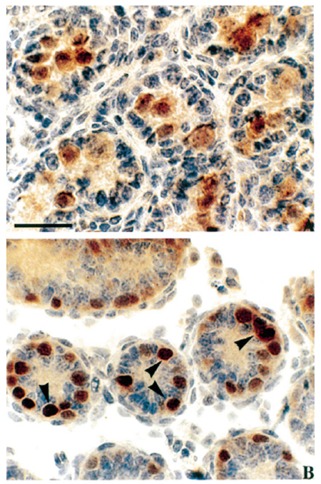
Specimen
5A:
postnatal day 1
(more
)
Specimen
5B:
postnatal day 12
(more
)
Specimen
5C:
postnatal day 14
(more
)
Specimen
not shown:
postnatal adult
(more
)
Specimen
6A:
postnatal day 1
(more
)
Specimen
6B:
postnatal day 7
(more
)
Specimen
7A:
postnatal day 17
(more
)
Specimen
7B:
postnatal day 17
(more
)
Specimen
7C:
postnatal adult
(more
)
|
Mouse Genome Database (MGD), Gene Expression Database (GXD), Mouse Models of Human Cancer database (MMHCdb) (formerly Mouse Tumor Biology (MTB)), Gene Ontology (GO) |
||
|
Citing These Resources Funding Information Warranty Disclaimer, Privacy Notice, Licensing, & Copyright Send questions and comments to User Support. |
last database update 12/30/2025 MGI 6.24 |
|
|
|
||