Gene Expression Data
Assay Details
|
Assay
|
|
Reference:
|
J:64334
Nadler JJ, et al., Fanconi anemia complementation group C is required for proliferation of murine primordial germ cells [letter]. Genesis. 2000 Jul;27(3):117-23
|
|
Assay type:
|
Immunohistochemistry
|
|
MGI Accession ID:
|
MGI:5475305
|
|
Gene symbol:
|
Gcna
|
|
Gene name:
|
germ cell nuclear acidic protein
|
|
|
Results
|
Specimen
2a:
embryonic day 14.5; Fancctm1Mgo/Fancc +
(more )
Note: 200X magnification.
Specimen
2a:
(close )
|
Genetic Background:
|
involves: 129S4/SvJaeSor * C57BL/6
|
|
Mutant Allele(s):
|
Fancctm1Mgo/Fancc+
|
|
Age:
|
embryonic day 14.5
|
|
Sex:
|
Female
|
|
Type:
|
section
|
|
Fixation:
|
4% Paraformaldehyde
|
|
Embedding:
|
Paraffin
|
|
Note:
|
200X magnification.
|
Specimen
2c:
embryonic day 14.5; Fancctm1Mgo/Fancc +
(more )
Note: 400X magnification.
Specimen
2c:
(close )
|
Genetic Background:
|
involves: 129S4/SvJaeSor * C57BL/6
|
|
Mutant Allele(s):
|
Fancctm1Mgo/Fancc+
|
|
Age:
|
embryonic day 14.5
|
|
Sex:
|
Female
|
|
Type:
|
section
|
|
Fixation:
|
4% Paraformaldehyde
|
|
Embedding:
|
Paraffin
|
|
Note:
|
400X magnification.
|
Specimen
2b:
(close )
|
Genetic Background:
|
involves: 129S4/SvJaeSor * C57BL/6
|
|
Mutant Allele(s):
|
Fancctm1Mgo/Fancctm1Mgo
|
|
Age:
|
embryonic day 14.5
|
|
Sex:
|
Female
|
|
Type:
|
section
|
|
Fixation:
|
4% Paraformaldehyde
|
|
Embedding:
|
Paraffin
|
|
Note:
|
200X magnification.
|
| Structure |
Level |
Pattern |
Image |
Note |
| TS22: germ cell of ovary |
Present |
Single cells |
2b
|
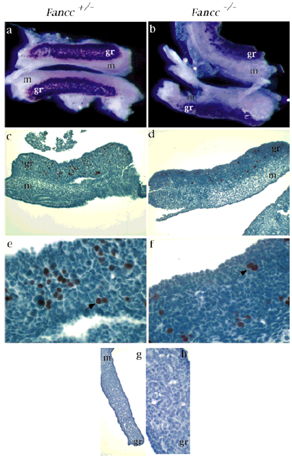
The number of germ cells is significantly reduced in the mutant. As reported in Table 1, an average of 26 are seen per section, down 85% from the 187 per section seen in the heterozygote.
|
Specimen
2d:
(close )
|
Genetic Background:
|
involves: 129S4/SvJaeSor * C57BL/6
|
|
Mutant Allele(s):
|
Fancctm1Mgo/Fancctm1Mgo
|
|
Age:
|
embryonic day 14.5
|
|
Sex:
|
Female
|
|
Type:
|
section
|
|
Fixation:
|
4% Paraformaldehyde
|
|
Embedding:
|
Paraffin
|
|
Note:
|
400X magnification.
|
| Structure |
Level |
Pattern |
Image |
Note |
| TS22: germ cell of ovary |
Present |
Single cells |
2d
|
The number of germ cells is significantly reduced in the mutant. As reported in Table 1, an average of 26 are seen per section, down 85% from the 187 per section seen in the heterozygote.
|
Specimen
2e:
embryonic day 14.5; Fancctm1Mgo/Fancc +
(more )
Note: 200X magnification.
Specimen
2e:
(close )
|
Genetic Background:
|
involves: 129S4/SvJaeSor * C57BL/6
|
|
Mutant Allele(s):
|
Fancctm1Mgo/Fancc+
|
|
Age:
|
embryonic day 14.5
|
|
Sex:
|
Male
|
|
Type:
|
section
|
|
Fixation:
|
4% Paraformaldehyde
|
|
Embedding:
|
Paraffin
|
|
Note:
|
200X magnification.
|
Specimen
2g:
embryonic day 14.5; Fancctm1Mgo/Fancc +
(more )
Note: 400X magnification.
Specimen
2g:
(close )
|
Genetic Background:
|
involves: 129S4/SvJaeSor * C57BL/6
|
|
Mutant Allele(s):
|
Fancctm1Mgo/Fancc+
|
|
Age:
|
embryonic day 14.5
|
|
Sex:
|
Male
|
|
Type:
|
section
|
|
Fixation:
|
4% Paraformaldehyde
|
|
Embedding:
|
Paraffin
|
|
Note:
|
400X magnification.
|
Specimen
2f:
(close )
|
Genetic Background:
|
involves: 129S4/SvJaeSor * C57BL/6
|
|
Mutant Allele(s):
|
Fancctm1Mgo/Fancctm1Mgo
|
|
Age:
|
embryonic day 14.5
|
|
Sex:
|
Male
|
|
Type:
|
section
|
|
Fixation:
|
4% Paraformaldehyde
|
|
Embedding:
|
Paraffin
|
|
Note:
|
200X magnification.
|
| Structure |
Level |
Pattern |
Image |
Note |
| TS22: germ cell of testis |
Present |
Single cells |
2f
|
The number of germ cells is significantly reduced in the mutant. As reported in Table 1, an average of 57 are seen per section, down 85% from the 466 per section seen in the heterozygote.
|
Specimen
2h:
(close )
|
Genetic Background:
|
involves: 129S4/SvJaeSor * C57BL/6
|
|
Mutant Allele(s):
|
Fancctm1Mgo/Fancctm1Mgo
|
|
Age:
|
embryonic day 14.5
|
|
Sex:
|
Male
|
|
Type:
|
section
|
|
Fixation:
|
4% Paraformaldehyde
|
|
Embedding:
|
Paraffin
|
|
Note:
|
400X magnification.
|
| Structure |
Level |
Pattern |
Image |
Note |
| TS22: germ cell of testis |
Present |
Single cells |
2h
|
The number of germ cells is significantly reduced in the mutant. As reported in Table 1, an average of 57 are seen per section, down 85% from the 466 per section seen in the heterozygote.
|
Specimen
3c:
embryonic day 12.5; Fancctm1Mgo/Fancc +
(more )
Note: 100X magnification.
Specimen
3c:
(close )
|
Genetic Background:
|
involves: 129S4/SvJaeSor * C57BL/6
|
|
Mutant Allele(s):
|
Fancctm1Mgo/Fancc+
|
|
Age:
|
embryonic day 12.5
|
|
Sex:
|
Female
|
|
Type:
|
section
|
|
Fixation:
|
4% Paraformaldehyde
|
|
Embedding:
|
Paraffin
|
|
Note:
|
100X magnification.
|
Specimen
3e:
embryonic day 12.5; Fancctm1Mgo/Fancc +
(more )
Note: 400X magnification.
Specimen
3e:
(close )
|
Genetic Background:
|
involves: 129S4/SvJaeSor * C57BL/6
|
|
Mutant Allele(s):
|
Fancctm1Mgo/Fancc+
|
|
Age:
|
embryonic day 12.5
|
|
Sex:
|
Female
|
|
Type:
|
section
|
|
Fixation:
|
4% Paraformaldehyde
|
|
Embedding:
|
Paraffin
|
|
Note:
|
400X magnification.
|
Specimen
3d:
(close )
|
Genetic Background:
|
involves: 129S4/SvJaeSor * C57BL/6
|
|
Mutant Allele(s):
|
Fancctm1Mgo/Fancctm1Mgo
|
|
Age:
|
embryonic day 12.5
|
|
Sex:
|
Female
|
|
Type:
|
section
|
|
Fixation:
|
4% Paraformaldehyde
|
|
Embedding:
|
Paraffin
|
|
Note:
|
100X magnification.
|
| Structure |
Level |
Pattern |
Image |
Note |
| TS20: germ cell of ovary |
Present |
Single cells |
3d
|
The number of germ cells is significantly reduced in the mutant. As reported in Table 1, an average of 24 are seen per section, down four-fold from the 82 per section seen in the heterozygote.
|
Specimen
3f:
(close )
|
Genetic Background:
|
involves: 129S4/SvJaeSor * C57BL/6
|
|
Mutant Allele(s):
|
Fancctm1Mgo/Fancctm1Mgo
|
|
Age:
|
embryonic day 12.5
|
|
Sex:
|
Female
|
|
Type:
|
section
|
|
Fixation:
|
4% Paraformaldehyde
|
|
Embedding:
|
Paraffin
|
|
Note:
|
400X magnification.
|
| Structure |
Level |
Pattern |
Image |
Note |
| TS20: germ cell of ovary |
Present |
Single cells |
3f
|
The number of germ cells is significantly reduced in the mutant. As reported in Table 1, an average of 24 are seen per section, down four-fold from the 82 per section seen in the heterozygote.
|
Specimen
4c:
embryonic day 12.5; Fancctm1Mgo/Fancc +
(more )
Note: 100X magnification.
Specimen
4c:
(close )
|
Genetic Background:
|
involves: 129S4/SvJaeSor * C57BL/6
|
|
Mutant Allele(s):
|
Fancctm1Mgo/Fancc+
|
|
Age:
|
embryonic day 12.5
|
|
Sex:
|
Male
|
|
Type:
|
section
|
|
Fixation:
|
4% Paraformaldehyde
|
|
Embedding:
|
Paraffin
|
|
Note:
|
100X magnification.
|
Specimen
4e:
embryonic day 12.5; Fancctm1Mgo/Fancc +
(more )
Note: 400X magnification.
Specimen
4e:
(close )
|
Genetic Background:
|
involves: 129S4/SvJaeSor * C57BL/6
|
|
Mutant Allele(s):
|
Fancctm1Mgo/Fancc+
|
|
Age:
|
embryonic day 12.5
|
|
Sex:
|
Male
|
|
Type:
|
section
|
|
Fixation:
|
4% Paraformaldehyde
|
|
Embedding:
|
Paraffin
|
|
Note:
|
400X magnification.
|
Specimen
4d:
(close )
|
Genetic Background:
|
involves: 129S4/SvJaeSor * C57BL/6
|
|
Mutant Allele(s):
|
Fancctm1Mgo/Fancctm1Mgo
|
|
Age:
|
embryonic day 12.5
|
|
Sex:
|
Male
|
|
Type:
|
section
|
|
Fixation:
|
4% Paraformaldehyde
|
|
Embedding:
|
Paraffin
|
|
Note:
|
100X magnification.
|
| Structure |
Level |
Pattern |
Image |
Note |
| TS20: germ cell of testis |
Present |
Single cells |
4d
|
The number of germ cells is significantly reduced in the mutant. As reported in Table 1, an average of 25 are seen per section, down four-fold from the 93 per section seen in the heterozygote.
|
Specimen
4f:
(close )
|
Genetic Background:
|
involves: 129S4/SvJaeSor * C57BL/6
|
|
Mutant Allele(s):
|
Fancctm1Mgo/Fancctm1Mgo
|
|
Age:
|
embryonic day 12.5
|
|
Sex:
|
Male
|
|
Type:
|
section
|
|
Fixation:
|
4% Paraformaldehyde
|
|
Embedding:
|
Paraffin
|
|
Note:
|
400X magnification.
|
| Structure |
Level |
Pattern |
Image |
Note |
| TS20: germ cell of testis |
Present |
Single cells |
4f
|
The number of germ cells is significantly reduced in the mutant. As reported in Table 1, an average of 25 are seen per section, down four-fold from the 93 per section seen in the heterozygote.
|
Specimen
Table 1:
embryonic day 16.5; Fancctm1Mgo/Fancc +
(more )
Specimen
Table 1:
(close )
|
Genetic Background:
|
involves: 129S4/SvJaeSor * C57BL/6
|
|
Mutant Allele(s):
|
Fancctm1Mgo/Fancc+
|
|
Age:
|
embryonic day 16.5
|
|
Sex:
|
Female
|
|
Type:
|
section
|
|
Fixation:
|
4% Paraformaldehyde
|
|
Embedding:
|
Paraffin
|
Specimen
Table 1:
(close )
|
Genetic Background:
|
involves: 129S4/SvJaeSor * C57BL/6
|
|
Mutant Allele(s):
|
Fancctm1Mgo/Fancctm1Mgo
|
|
Age:
|
embryonic day 16.5
|
|
Sex:
|
Female
|
|
Type:
|
section
|
|
Fixation:
|
4% Paraformaldehyde
|
|
Embedding:
|
Paraffin
|
| Structure |
Level |
Pattern |
Image |
Note |
| TS24: germ cell of ovary |
Present |
Single cells |
|
The number of germ cells is significantly reduced in the mutant; an average of 16 are seen per section, down 89% from the 141 per section seen in the heterozygote.
|
Specimen
Table 1:
embryonic day 16.5; Fancctm1Mgo/Fancc +
(more )
Specimen
Table 1:
(close )
|
Genetic Background:
|
involves: 129S4/SvJaeSor * C57BL/6
|
|
Mutant Allele(s):
|
Fancctm1Mgo/Fancc+
|
|
Age:
|
embryonic day 16.5
|
|
Sex:
|
Male
|
|
Type:
|
section
|
|
Fixation:
|
4% Paraformaldehyde
|
|
Embedding:
|
Paraffin
|
Specimen
Table 1:
(close )
|
Genetic Background:
|
involves: 129S4/SvJaeSor * C57BL/6
|
|
Mutant Allele(s):
|
Fancctm1Mgo/Fancctm1Mgo
|
|
Age:
|
embryonic day 16.5
|
|
Sex:
|
Male
|
|
Type:
|
section
|
|
Fixation:
|
4% Paraformaldehyde
|
|
Embedding:
|
Paraffin
|
| Structure |
Level |
Pattern |
Image |
Note |
| TS24: germ cell of testis |
Present |
Single cells |
|
The number of germ cells is significantly reduced in the mutant; an average of 126 are seen per section, down 67% from the 387 per section seen in the heterozygote.
|
Specimen
not shown:
embryonic day 10.5; Fancctm1Mgo/Fancc +
(more )
Specimen
not shown:
(close )
|
Genetic Background:
|
involves: 129S4/SvJaeSor * C57BL/6
|
|
Mutant Allele(s):
|
Fancctm1Mgo/Fancc+
|
|
Age:
|
embryonic day 10.5
|
|
Sex:
|
Not Specified
|
|
Type:
|
section
|
|
Fixation:
|
4% Paraformaldehyde
|
|
Embedding:
|
Paraffin
|
Specimen
not shown:
(close )
|
Genetic Background:
|
involves: 129S4/SvJaeSor * C57BL/6
|
|
Mutant Allele(s):
|
Fancctm1Mgo/Fancctm1Mgo
|
|
Age:
|
embryonic day 10.5
|
|
Sex:
|
Not Specified
|
|
Type:
|
section
|
|
Fixation:
|
4% Paraformaldehyde
|
|
Embedding:
|
Paraffin
|
|