About   Help   FAQ
Gene Expression Data
Assay Details
Assay
Reference: J:147291 Piirsoo M, et al., Expression analysis of the CLCA gene family in mouse and human with emphasis on the nervous system. BMC Dev Biol. 2009;9:10
Assay type: RNA in situ
MGI Accession ID: MGI:5471301
Gene symbol: Clca3a1
Gene name: chloride channel accessory 3A1
Probe: mclca1/2 probe
Probe preparation: Antisense labelled with S35 RNA
Visualized with: Autoradiography
Assay notes: Probe recognizes both Clca1 and Clca2. However, authors assert that most of the signal likely corresponds to Clca1 expression. Only Clca1 has been annotated to.
Results
Specimen 2A: postnatal day 9 (more )
Structure Level Pattern Image Note
TS28: main olfactory bulb Strong Regionally restricted 2A Very low level of expression in hypothalamic nuclei.
TS28: cortical layer II Present 2A
TS28: cortical layer III Present 2A

Specimen 2B: postnatal adult (more )
Structure Level Pattern Image Note
TS28: main olfactory bulb olfactory nerve layer Present 2B

Specimen 2D/G: postnatal day 9 (more )
Structure Level Pattern Image Note
TS28: main olfactory bulb olfactory nerve layer Strong Regionally restricted 2D/G Broad expression with highest levels in the olfactory nerve layer of the olfactory bulb.
TS28: cortical layer II Present 2D/G
TS28: cortical layer III Present 2D/G

Specimen 2E/H: postnatal adult (more )
Structure Level Pattern Image Note
TS28: main olfactory bulb olfactory nerve layer Present 2E/H

Specimen 2P: postnatal day 9 (more )
Structure Level Pattern Image Note
TS28: cortical layer II Present 2P
TS28: cortical layer III Present 2P

Specimen 2R: postnatal day 9 (more )
Structure Level Pattern Image Note
TS28: main olfactory bulb olfactory nerve layer Present 2R

Specimen 2S: postnatal adult (more )
Structure Level Pattern Image Note
TS28: main olfactory bulb Present Regionally restricted 2S

Specimen not shown - P9: postnatal day 9 (more )
Structure Level Pattern Image Note
TS28: amygdalohippocampal area Weak
TS28: hippocampus CA3 Weak

Specimen not shown - adult: postnatal adult (more )
Structure Level Pattern Image Note
TS28: hypothalamic nucleus Trace
TS28: cortical layer II Trace
TS28: cortical layer III Trace

Specimen 3A: embryonic day 13.0 (more )
Structure Level Pattern Image Note
TS21: dorsal aorta Strong 3A
TS21: heart Strong 3A
TS21: olfactory nerve Strong 3A

Specimen 3B/C: embryonic day 13.0 (more )
Structure Level Pattern Image Note
TS21: olfactory nerve Present 3B/C Expression in cells adjacent to the epithelium of the nasal cavity, most likely corresponding to the developing cranial nerve I (olfactory nerve).

Specimen 3D: embryonic day 13.0 (more )
Structure Level Pattern Image Note
TS21: olfactory nerve Present 3D Expression in cells adjacent to the epithelium of the nasal cavity, most likely corresponding to the developing cranial nerve I (olfactory nerve).

Specimen 3E/F: embryonic day 13.0 (more )
Structure Level Pattern Image Note
TS21: dorsal aorta Present 3E/F
TS21: spinal nerve Weak 3E/F

Specimen 3G: embryonic day 13.0 (more )
Structure Level Pattern Image Note
TS21: spinal nerve Weak 3G

Specimen 3H/J: embryonic day 13.0 (more )
Structure Level Pattern Image Note
TS21: dorsal aorta Present 3H/I

Specimen 3J: embryonic day 13.0 (more )
Structure Level Pattern Image Note
TS21: dorsal aorta Present 3J

Specimen 3K/L: embryonic day 13.0 (more )
Structure Level Pattern Image Note
TS21: heart Present 3K/L

Specimen 3M: embryonic day 13.0 (more )
Structure Level Pattern Image Note
TS21: heart Present 3M

Specimen 3N/O: embryonic day 13.0 (more )
Structure Level Pattern Image Note
TS21: midgut Strong 3N/O

Specimen 3P: embryonic day 13.0 (more )
Structure Level Pattern Image Note
TS21: midgut Strong 3P

Specimen 3R/S: embryonic day 13.0 (more )
Structure Level Pattern Image Note
TS21: urethra Strong 3R/S

Specimen 3T: embryonic day 13.0 (more )
Structure Level Pattern Image Note
TS21: urethra Strong 3T

Specimen 4A: embryonic day 17.0 (more )
Structure Level Pattern Image Note
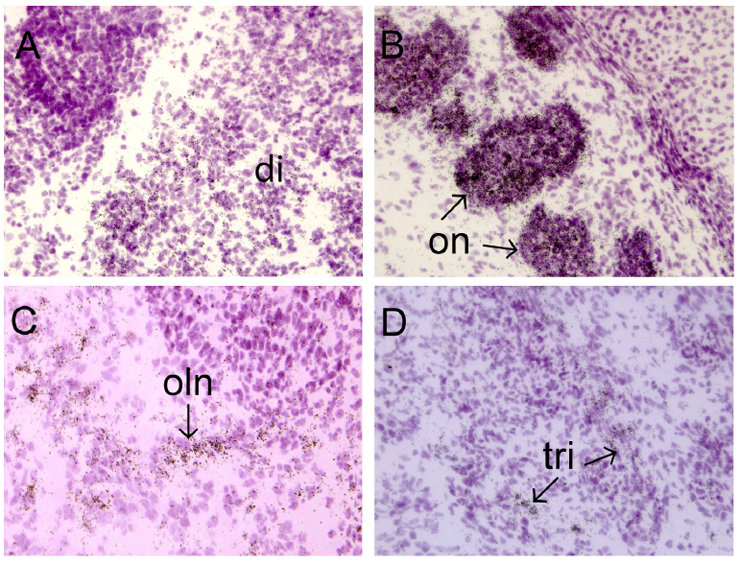
TS25: diencephalon Present 4A
TS25: heart Present 4A
TS25: intestine Present 4A
TS25: liver Present 4A
TS25: lung Present 4A
TS25: optic nerve Present 4A
TS25: urethra Present 4A

Specimen 4B/C: embryonic day 17.0 (more )
Structure Level Pattern Image Note
TS25: diencephalon Present 4B/C Expression in the brain, predominantly in the diencephalon.

Specimen 4D/E: embryonic day 17.0 (more )
Structure Level Pattern Image Note
TS25: optic nerve Strong 4D/E Highest level of nervous system expression was in the optic nerve.

Specimen 4F/G: embryonic day 17.0 (more )
Structure Level Pattern Image Note
TS25: olfactory nerve Present 4F/G

Specimen 4H/I: embryonic day 17.0 (more )
Structure Level Pattern Image Note
TS25: trigeminal nerve Present 4H/I

Specimen 4J/K: embryonic day 17.0 (more )
Structure Level Pattern Image Note
TS25: skin Weak 4J/K

Specimen 4L/M: embryonic day 17.0 (more )
Structure Level Pattern Image Note
TS25: lung Present 4L/M
TS25: trachea Present 4L/M

Specimen 4N/O: embryonic day 17.0 (more )
Structure Level Pattern Image Note
TS25: aorta Present 4N/O
TS25: heart atrium Present 4N/O
TS25: lung Present 4N/O

Specimen 4P/R: embryonic day 17.0 (more )
Structure Level Pattern Image Note
TS25: heart Present 4P/R

Specimen 4S/T: embryonic day 17.0 (more )
Structure Level Pattern Image Note
TS25: liver Present 4S/T
TS25: vertebra Present 4S/T

Specimen 4U/V: embryonic day 17.0 (more )
Structure Level Pattern Image Note
TS25: intestine Present 4U/V

Specimen 4W/X: embryonic day 17.0 (more )
Structure Level Pattern Image Note
TS25: urethra Present 4W/X

Specimen 5A: embryonic day 17.0 (more )
Structure Level Pattern Image Note
TS25: diencephalon Present 5A

Specimen 5B: embryonic day 17.0 (more )
Structure Level Pattern Image Note
TS25: optic nerve Present 5B

Specimen 5C: embryonic day 17.0 (more )
Structure Level Pattern Image Note
TS25: olfactory nerve Present 5C

Specimen 5D: embryonic day 17.0 (more )
Structure Level Pattern Image Note
TS25: trigeminal nerve Present 5D


Contributing Projects:
Mouse Genome Database (MGD), Gene Expression Database (GXD), Mouse Models of Human Cancer database (MMHCdb) (formerly Mouse Tumor Biology (MTB)), Gene Ontology (GO)
Citing These Resources
Funding Information
Warranty Disclaimer, Privacy Notice, Licensing, & Copyright
Send questions and comments to User Support.
last database update
12/30/2025
MGI 6.24
The Jackson Laboratory