About   Help   FAQ
Gene Expression Data
Assay Details
Assay
Reference: J:1122 Dush MK, et al., Analysis of mouse Evx genes: Evx-1 displays graded expression in the primitive streak. Dev Biol. 1992 May;151(1):273-87
Assay type: RNA in situ
MGI Accession ID: MGI:5468544
Gene symbol: Evx1
Gene name: even-skipped homeobox 1
Probe: probe 3
Probe preparation: Antisense labelled with S35 RNA
Visualized with: Autoradiography
Results
Specimen Not shown E6.0: embryonic day 6.0 (more )
Structure Level Pattern Image Note
TS8: embryo Absent

Specimen 4B/C: embryonic day 6.25 (more )
Note: Prestreak stage.
Structure Level Pattern Image Note
TS9: embryo Present Regionally restricted 4B/C Expression is in a semicircular band that stretches partway around the circumference of the embryo and is about 5-10 cells wide along the proximal- distal axis. In epiblast cells on one side only.
TS9: embryo ectoderm Present Regionally restricted 4B/C Expression is in proximal embryonic ectoderm on both sides of the proamniotic cavity.
TS9: extraembryonic visceral endoderm Present Regionally restricted 4B/C Expression is in a cluster of endodermal cells adjacent and distal to the expressing embryonic ectoderm.
TS9: extraembryonic ectoderm Absent 4B/C
TS9: parietal endoderm Absent 4B/C

Specimen 4E/F: embryonic day 6.75 (more )
Note: Early streak stage.
Structure Level Pattern Image Note
TS10: primitive streak Present 4E/F
TS10: embryo ectoderm Present Regionally restricted 4E/F Expression is in lateral ectodermal cells near the embryonic-extraembryonic junction.
TS10: embryo mesoderm Present Regionally restricted 4E/F Anterolateral.
TS10: extraembryonic visceral endoderm Present Regionally restricted 4E/F In cells that lie distal to the embryonic mesoderm layer.

Specimen Not shown E6.75: embryonic day 6.75 (more )
Note: Early streak stage.
Structure Level Pattern Image Note
TS10: extraembryonic mesoderm Present

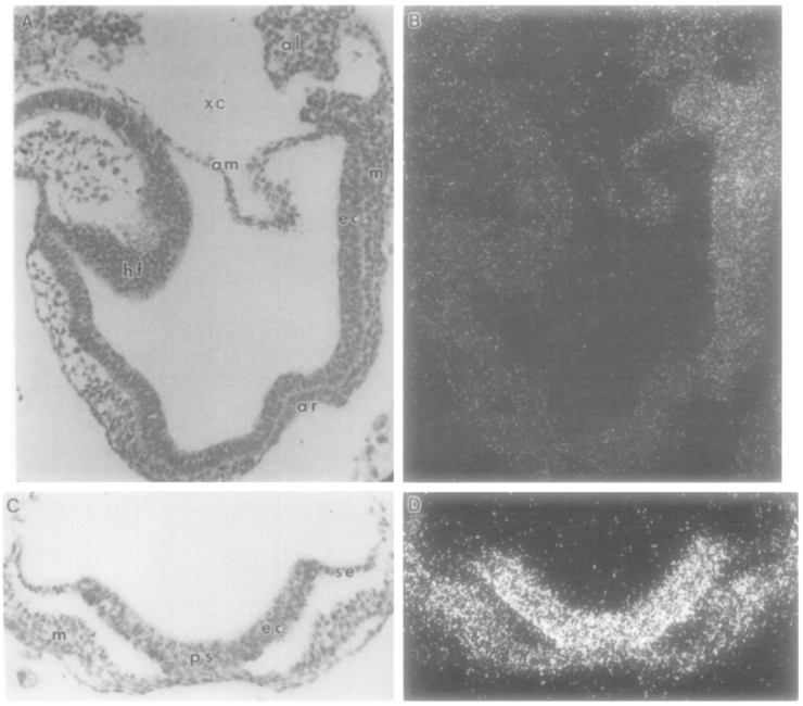
Specimen 5A/B: embryonic day 7.0-7.25 (more )
Note: Mid streak stage.
Structure Level Pattern Image Note
TS10: primitive streak Strong Graded 5A/B Highest levels are in the proximal region.
TS10: extraembryonic ectoderm Absent 5A/B
TS10: extraembryonic endoderm Absent 5A/B

Specimen 5C/D: embryonic day 7.0-7.25 (more )
Note: Mid streak stage.
Structure Level Pattern Image Note
TS10: primitive streak Strong Graded 5C/D Highest levels are in the proximal region.
TS10: embryo mesoderm Present Graded 5C/D Higher levels in posterior mesoderm cells.
TS10: embryo ectoderm Strong Graded 5C/D Higher levels in posterior cells, the anterolateral limit is close to the streak in the ectoderm than in the mesoderm.

Specimen 5E/F: embryonic day 7.0-7.25 (more )
Note: Mid streak stage.
Structure Level Pattern Image Note
TS10: primitive streak Strong Graded 5E/F Highest levels are in the proximal region.
TS10: embryo mesoderm Present Graded 5E/F Higher levels in posterior mesoderm cells.
TS10: embryo ectoderm Strong Graded 5E/F Higher levels in posterior cells, the anterolateral limit is close to the streak in the ectoderm than in the mesoderm.
TS10: embryo endoderm Present Regionally restricted 5E/F Expression is where the subjacent mesoderm and/or ectoderm is positive.

Specimen 6B/C: embryonic day 7.5 (more )
Note: Late streak stage.
Structure Level Pattern Image Note
TS11: primitive streak Present Graded 6B/C Highest levels are in the proximal region.
TS11: embryo Present Regionally restricted 6B/C Expression is in a region that contains the distal tip of the egg cylinder that contains a portion of the head process.

Specimen Not shown E7.5: embryonic day 7.5 (more )
Note: Late streak stage.
Structure Level Pattern Image Note
TS11: allantois Present Regionally restricted Expression is at the base, absent in proximal parts.
TS11: extraembryonic mesoderm Absent Absent in the extraembryonic mesoderm that lines the exocoelom.

Specimen 7A/B: embryonic day 8.0 (more )
Note: 1-2 somites.
Structure Level Pattern Image Note
TS12: primitive streak Present Graded 7A/B
TS12: embryo ectoderm Present Regionally restricted 7A/B Expression is in mesoderm and ectoderm lateral to the primitive streak.
TS12: embryo mesenchyme Present Regionally restricted 7A/B Expression is in mesoderm and ectoderm lateral to the primitive streak.
TS12: allantois Present Regionally restricted 7A/B Expression is at the base.

Specimen Not shown E8.0: embryonic day 8.0 (more )
Note: 1-2 somites.
Structure Level Pattern Image Note
TS12: extraembryonic mesenchyme Absent Absent in proximal mesoderm.

Specimen 7C/D: embryonic day 8.0 (more )
Note: 1-2 somites.
Structure Level Pattern Image Note
TS12: primitive streak Present Graded 7C/D
TS12: embryo ectoderm Present Regionally restricted 7C/D Expression is in mesoderm and ectoderm lateral to the primitive streak.
TS12: embryo mesenchyme Present Regionally restricted 7C/D Expression is in mesoderm and ectoderm lateral to the primitive streak.

Specimen 8B/C: embryonic day 8.5 (more )
Structure Level Pattern Image Note
TS13: primitive streak Present 8B/C
TS13: embryo ectoderm Present Regionally restricted 8B/C Expression is in mesoderm and ectoderm lateral to the primitive streak.
TS13: embryo mesenchyme Present Regionally restricted 8B/C Expression is in mesoderm and ectoderm lateral to the primitive streak.
TS13: allantois Present Regionally restricted 8B/C Expression is at the base.

Specimen 8D/E: embryonic day 8.5 (more )
Structure Level Pattern Image Note
TS13: primitive streak Present Graded 8D/E

Specimen 9A/B: embryonic day 10.0 (more )
Structure Level Pattern Image Note
TS17: hindgut Present Regionally restricted 9A/B Posterior expression.
TS17: tail mesenchyme Present 9A/B

Specimen Not shown E9: embryonic day 9.0 (more )
Structure Level Pattern Image Note
TS14: tail bud Present Regionally restricted Expression is in the tail bud mesenchyme.
TS14: hindgut diverticulum Present Regionally restricted Expression is in the posterior part.

Specimen Not shown E10.0: embryonic day 10.0 (more )
Structure Level Pattern Image Note
TS17: central nervous system Present

Specimen Not shown E12.5: embryonic day 12.5 (more )
Structure Level Pattern Image Note
TS20: central nervous system Present


Contributing Projects:
Mouse Genome Database (MGD), Gene Expression Database (GXD), Mouse Models of Human Cancer database (MMHCdb) (formerly Mouse Tumor Biology (MTB)), Gene Ontology (GO)
Citing These Resources
Funding Information
Warranty Disclaimer, Privacy Notice, Licensing, & Copyright
Send questions and comments to User Support.
last database update
12/30/2025
MGI 6.24
The Jackson Laboratory