About   Help   FAQ
Gene Expression Data
Assay Details
Assay
Reference: J:32724 Hierck BP, et al., Differential expression of alpha-6 and other subunits of laminin binding integrins during development of the murine heart. Dev Dyn. 1996 May;206(1):100-11
Assay type: RNA in situ
MGI Accession ID: MGI:5467138
Gene symbol: Itgb1
Gene name: integrin beta 1 (fibronectin receptor beta)
Probe: beta1 integrin probe
Probe preparation: Antisense labelled with S35 RNA
Visualized with: Autoradiography
Results
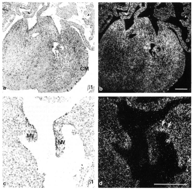
Specimen 6a/b: embryonic day 13.5 (more )
Structure Level Pattern Image Note
TS21: atrium cardiac muscle Strong 6a/b
TS21: ventricle cardiac muscle Present Non-Uniform 6a/b High expression at the ventricular base and in the ventricular trabeculae. Less expression in the apical compact myocardial layer.
TS21: endocardial tissue Strong 6a/b

Specimen 6c/d: embryonic day 15.5 (more )
Structure Level Pattern Image Note
TS23: ventricle cardiac muscle Present Non-Uniform 6c/d High expression in the myocardium at the base of the atrioventricular valves.
TS23: mitral valve Present Regionally restricted 6c/d Expressed at the myocardial base of the developing atrioventricular valves.
TS23: tricuspid valve Present Regionally restricted 6c/d Expressed at the myocardial base of the developing atrioventricular valves.
TS23: endocardial tissue Strong 6c/d
TS23: ascending aorta Present Regionally restricted 6c/d Expressed in endothelium.
TS23: pulmonary trunk Present Regionally restricted 6c/d Expressed in endothelium.


Contributing Projects:
Mouse Genome Database (MGD), Gene Expression Database (GXD), Mouse Models of Human Cancer database (MMHCdb) (formerly Mouse Tumor Biology (MTB)), Gene Ontology (GO)
Citing These Resources
Funding Information
Warranty Disclaimer, Privacy Notice, Licensing, & Copyright
Send questions and comments to User Support.
last database update
01/20/2026
MGI 6.24
The Jackson Laboratory