About   Help   FAQ
Gene Expression Data
Assay Details
Assay
Reference: J:16246 Pachnis V, et al., Expression of the c-ret proto-oncogene during mouse embryogenesis. Development. 1993 Dec;119(4):1005-17
Assay type: RNA in situ
MGI Accession ID: MGI:5466408
Gene symbol: Ret
Gene name: ret proto-oncogene
Probe: pmcRet7
Probe preparation: Antisense RNA
Assay notes: Embryos were derived from crosses between FVB/N inbred mice, or between (FVB/N x C57BL/6)F1, or (C57BL10 x CBA)F1 hybrid mice.
Results
Specimen Not shown E7.5: embryonic day 7.5 (more )
Structure Level Pattern Image Note
TS11: trophectoderm Present
TS11: embryo Absent

Specimen 3A/B: embryonic day 9.25 (more )
Structure Level Pattern Image Note
TS14: migrating neural crest Present Regionally restricted 3A/B Expression is in a group of neural crest cells emerging from rhombomere 4.
TS14: surface ectoderm Present Regionally restricted 3A/B Expression is in a domain of surface ectoderm extending posterior to the positive neural crest cells.
TS14: future brain Absent 3A/B

Specimen 3C/D: embryonic day 9.25 (more )
Structure Level Pattern Image Note
TS14: migrating neural crest Present Regionally restricted 3C/D Expression is restricted to a group of neural crest cells immediately anterior to the otic vesicle, and extending from the dorsal edge of the embryo into the forming second branchial arch.
TS14: 2nd branchial arch Present Regionally restricted 3C/D

Specimen 3E/F: embryonic day 9.5 (more )
Structure Level Pattern Image Note
TS15: facio-acoustic preganglion complex Present 3E/F
TS15: branchial arch ectoderm Present Regionally restricted 3E/F Expression in the 4th branchial arch.
TS15: branchial arch endoderm Present Regionally restricted 3E/F Expression in the 4th branchial arch.
TS15: branchial arch mesenchyme Strong Regionally restricted 3E/F Expression in the 4th branchial arch.
TS15: 3rd branchial arch endoderm Strong 3E/F

Specimen 3G/H: embryonic day 9.5 (more )
Structure Level Pattern Image Note
TS15: otocyst epithelium Present Regionally restricted 3G/H Expression is at the posterior edge.
TS15: otocyst mesenchyme Present Regionally restricted 3G/H Expression is at the posterior edge.
TS15: branchial arch ectoderm Present 3G/H
TS15: branchial arch endoderm Present 3G/H

Specimen 4A: embryonic day 8.5 (more )
Structure Level Pattern Image Note
TS13: migrating neural crest Strong Regionally restricted 4A Expression is in neural crest cells emerging from rhombomere 4.
TS13: surface ectoderm Present Regionally restricted 4A Expression is in a well-defined domain of surface ectoderm located ventrocaudally to the expression of rhombomere 4 neural crest.

Specimen 4B: embryonic day 9.5 (more )
Structure Level Pattern Image Note
TS15: facio-acoustic preganglion complex Present 4B
TS15: branchial arch Present Regionally restricted 4B Expression is in the posterior branchial arches.
TS15: 2nd branchial arch Absent 4B
TS15: glossopharyngeal-vagus preganglion complex Absent 4B
TS15: trigeminal preganglion Absent 4B

Specimen 4C: embryonic day 10.5 (more )
Structure Level Pattern Image Note
TS17: facial ganglion Present 4C
TS17: glossopharyngeal ganglion Present Regionally restricted 4C Inferior complex, absent in superior complex.
TS17: vagus ganglion Present Regionally restricted 4C Inferior complex, absent in superior complex.
TS17: trigeminal ganglion Absent

Specimen 5A/B: embryonic day 14.5 (more )
Structure Level Pattern Image Note
TS22: trigeminal ganglion Present 5A/B

Specimen Not shown E13.5: embryonic day 13.5 (more )
Structure Level Pattern Image Note
TS21: facial ganglion Present
TS21: inferior glossopharyngeal ganglion Present
TS21: inferior vagus ganglion Present
TS21: superior glossopharyngeal ganglion Present
TS21: superior vagus ganglion Present
TS21: trigeminal ganglion Present
TS21: vestibulo-cochlear ganglion Present

Specimen Not shown E14.5: embryonic day 14.5 (more )
Structure Level Pattern Image Note
TS22: facial ganglion Present
TS22: inferior glossopharyngeal ganglion Present
TS22: inferior vagus ganglion Present
TS22: superior glossopharyngeal ganglion Present
TS22: superior vagus ganglion Present
TS22: vestibulo-cochlear ganglion Present

Specimen 5C: embryonic day 13.5 (more )
Structure Level Pattern Image Note
TS21: dorsal root ganglion Very strong Punctate 5C Expression is in a subset of cells.
TS21: spinal nerve Absent 5C

Specimen Not shown E9.5: embryonic day 9.5 (more )
Structure Level Pattern Image Note
TS15: dorsal root ganglion Present Regionally restricted Dorsal expression between the neural tube and the surface ectoderm and ventrally in the sclerotome, areas of the somites in which the trunk neural crest cells first migrate and subsequently condense to form the dorsal root ganglia.
TS15: sclerotome Present Regionally restricted Ventral expression.
TS15: migrating neural crest Present Regionally restricted
TS15: neural tube lateral wall Present Regionally restricted Ventrolateral expression.

Specimen 6A: embryonic day 9.75 (more )
Structure Level Pattern Image Note
TS16: trunk mesenchyme Strong Single cells 6A Expression is in single mesenchymal cells migrating from the posterior branchial arches towards the foregut.
TS16: peripheral nervous system Strong Regionally restricted 6A Expression is in the sympathetic ganglia forming on either side of the dorsal aorta.

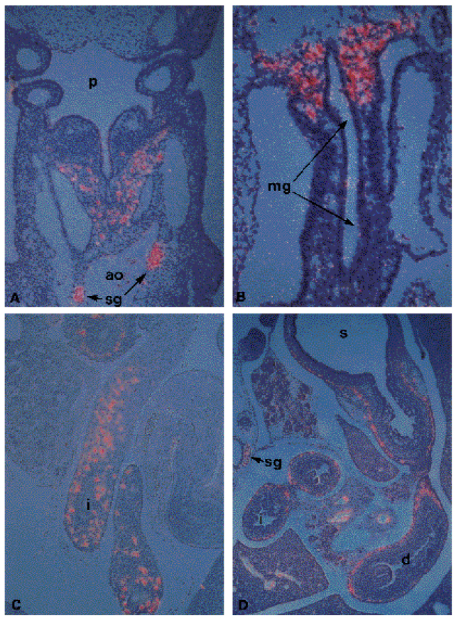
Specimen 6B: embryonic day 10.0 (more )
Structure Level Pattern Image Note
TS16: midgut Present Single cells 6B Expression is in migrating cells in a rostrocaudal direction within the mesenchyme of the midgut wall.

Specimen 6C: embryonic day 11.5 (more )
Structure Level Pattern Image Note
TS19: intestine Present Single cells 6C Expression is in cells that have migrated into the distal portion of the developing small intestine, and are starting to coalesce to form the enteric ganglia.

Specimen 6D: embryonic day 14.5 (more )
Structure Level Pattern Image Note
TS22: intestine Strong Regionally restricted 6D Expression is in a ring-like shape in the myenteric ganglia of the stomach and small intestine.
TS22: stomach Strong Regionally restricted 6D Expression is in a ring-like shape in the myenteric ganglia of the stomach and small intestine.

Specimen 7A/B: embryonic day 8.75 (more )
Structure Level Pattern Image Note
TS14: neural tube Present Regionally restricted 7A/B Expression is ventral.
TS14: trunk Present Regionally restricted 7A/B Expression is lateral to the somite in the nephrotome.

Specimen 7C/D: embryonic day 13.5 (more )
Structure Level Pattern Image Note
TS21: basal columns Present 7C/D
TS21: dorsal root ganglion Present Single cells 7C/D

Specimen 8A/B: embryonic day 13.5 (more )
Structure Level Pattern Image Note
TS21: neural retinal epithelium Present Regionally restricted 8A/B Expression is at the innermost layer of the neuroretina.

Specimen 8C/D: postnatal day 7 (more )
Note: Albino mouse.
Structure Level Pattern Image Note
TS28: retina layer Present Regionally restricted 8C/D Expression is in the amacrine and horizontal cell layers, absent in bipolar layer in this albino mouse.
TS28: retina ganglion cell layer Present 8C/D Albino mouse.
TS28: photoreceptor layer Absent 8C/D Albino mouse.

Specimen 9A: embryonic day 9.5 (more )
Structure Level Pattern Image Note
TS15: nephric duct Present Regionally restricted 9A Highest levels were seen in its caudal part.
TS15: mesonephros Present 9A

Specimen 9B: embryonic day 11.5 (more )
Structure Level Pattern Image Note
TS19: ureteric bud Strong 9B
TS19: metanephric mesenchyme Absent 9B

Specimen 9C: embryonic day 17.5 (more )
Structure Level Pattern Image Note
TS25: metanephros Present Regionally restricted 9C Expression is in the outer zone.

Specimen 9D: embryonic day 17.5 (more )
Structure Level Pattern Image Note
TS25: collecting duct Present 9D
TS25: mature nephron Absent 9D
TS25: nephron Absent 9D


Contributing Projects:
Mouse Genome Database (MGD), Gene Expression Database (GXD), Mouse Models of Human Cancer database (MMHCdb) (formerly Mouse Tumor Biology (MTB)), Gene Ontology (GO)
Citing These Resources
Funding Information
Warranty Disclaimer, Privacy Notice, Licensing, & Copyright
Send questions and comments to User Support.
last database update
12/30/2025
MGI 6.24
The Jackson Laboratory