About   Help   FAQ
Gene Expression Data
Assay Details
Assay
Reference: J:21619 Ng YK, et al., GATA factor activity is required for the trophoblast-specific transcriptional regulation of the mouse placental lactogen I gene. Development. 1994 Nov;120(11):3257-66
Assay type: RNA in situ
MGI Accession ID: MGI:5463803
Gene symbol: Gata3
Gene name: GATA binding protein 3
Probe: mc5b
Probe preparation: Antisense labelled with S35 RNA
Visualized with: Autoradiography
Assay notes: Frozen tissue was sectioned and fixed in 5% paraformaldehyde.
Results
Specimen 4C/F: embryonic day 12.5 (more )
Structure Level Pattern Image Note
TS20: trophoblast giant cell Present 4C/F
TS20: trophectoderm Present Regionally restricted 4C/F Expression is in smaller trophoblasts underlying the giant cell layer.
TS28: decidua Absent 4C/F

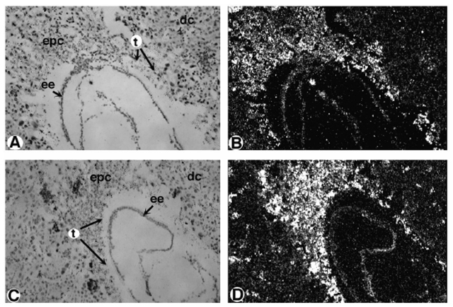
Specimen 5C/D: embryonic day 7.5 (more )
Structure Level Pattern Image Note
TS11: ectoplacental cone Present 5C/D
TS28: placenta Present 5C/D
TS11: trophectoderm Present Single cells 5C/D Expression is in trophoblasts.


Contributing Projects:
Mouse Genome Database (MGD), Gene Expression Database (GXD), Mouse Models of Human Cancer database (MMHCdb) (formerly Mouse Tumor Biology (MTB)), Gene Ontology (GO)
Citing These Resources
Funding Information
Warranty Disclaimer, Privacy Notice, Licensing, & Copyright
Send questions and comments to User Support.
last database update
12/30/2025
MGI 6.24
The Jackson Laboratory