About   Help   FAQ
Gene Expression Data
Assay Details
Assay
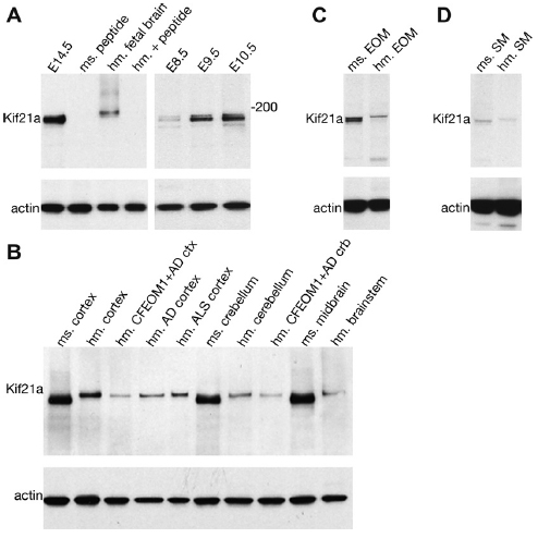
Reference: J:183941 Desai J, et al., Spatiotemporal expression pattern of KIF21A during normal embryonic development and in congenital fibrosis of the extraocular muscles type 1 (CFEOM1). Gene Expr Patterns. 2012 May;12(5-6):180-8
Assay type: Western blot
MGI Accession ID: MGI:5449238
Gene symbol: Kif21a
Gene name: kinesin family member 21A
Antibody: Anti-Kif21a
Detection system: Secondary antibody coupled to horseradish peroxidase
Results
Image: 1C ©

 Sample Information Bands Other Sample Information
Lane AgeStructure 180 kDa Genetic BackgroundMutant Allele(s)Sex
ms. EOM P adult TS28: extrinsic ocular muscle Present Not Specified Not Specified
hm. EOM Non-mouse sample: no data stored

Contributing Projects:
Mouse Genome Database (MGD), Gene Expression Database (GXD), Mouse Models of Human Cancer database (MMHCdb) (formerly Mouse Tumor Biology (MTB)), Gene Ontology (GO)
Citing These Resources
Funding Information
Warranty Disclaimer, Privacy Notice, Licensing, & Copyright
Send questions and comments to User Support.
last database update
12/30/2025
MGI 6.24
The Jackson Laboratory