About   Help   FAQ
Gene Expression Data
Assay Details
Assay
Reference: J:66536 Pinco KA, et al., alpha4 integrin is expressed in a subset of cranial neural crest cells and in epicardial progenitor cells during early mouse development. Mech Dev. 2001 Jan;100(1):99-103
Assay type: Immunohistochemistry
MGI Accession ID: MGI:5444743
Gene symbol: Itga4
Gene name: integrin alpha 4
Antibody: PS-2
Results
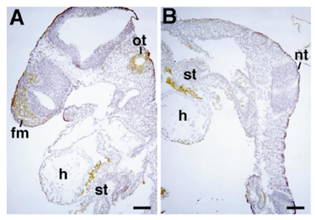
Specimen 3A: embryonic day 9.0 (more )
Note: 20 somites.
Structure Level Pattern Image Note
TS14: head mesenchyme Present 3A
TS14: otic placode Present Regionally restricted 3A Expression is in the ventral half.
TS14: septum transversum Strong Regionally restricted 3A Expression is in a small area of the septum transversum under the developing heart.

Specimen 3B: embryonic day 9.0 (more )
Note: 20 somites.
Structure Level Pattern Image Note
TS14: trunk Present 3B
TS14: septum transversum Strong Regionally restricted 3B Expression is in a small area of the septum transversum under the developing heart.


Contributing Projects:
Mouse Genome Database (MGD), Gene Expression Database (GXD), Mouse Models of Human Cancer database (MMHCdb) (formerly Mouse Tumor Biology (MTB)), Gene Ontology (GO)
Citing These Resources
Funding Information
Warranty Disclaimer, Privacy Notice, Licensing, & Copyright
Send questions and comments to User Support.
last database update
12/30/2025
MGI 6.24
The Jackson Laboratory