About   Help   FAQ
Gene Expression Data
Assay Details
Assay
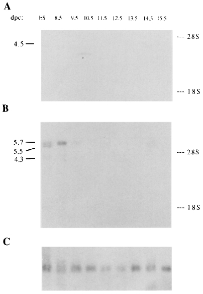
Reference: J:22208 Ruiz JC, et al., Identification of novel protein kinases expressed in the myocardium of the developing mouse heart. Mech Dev. 1994 Dec;48(3):153-64
Assay type: Northern blot
MGI Accession ID: MGI:5440879
Gene symbol: Sik1
Gene name: salt inducible kinase 1
Probe: msk cDNA3
Probe preparation: labelled with P32 DNA
Visualized with: Autoradiography
Results
Image: 5B ©

 Sample Information Bands Other Sample Information
Lane AgeStructure 5.7 kb Amount Genetic BackgroundMutant Allele(s)Sex
ES Cultured cells: no data stored
8.5 E8.5 TS13: embryo Present 5 µg; poly-A+ RNA Not Specified Not Specified
9.5 E9.5 TS15: embryo Ambiguous (a) 5 µg; poly-A+ RNA Not Specified Not Specified
10.5 E10.5 TS17: embryo Absent 5 µg; poly-A+ RNA Not Specified Not Specified
11.5 E11.5 TS19: embryo Absent 5 µg; poly-A+ RNA Not Specified Not Specified
12.5 E12.5 TS20: embryo Absent 5 µg; poly-A+ RNA Not Specified Not Specified
13.5 E13.5 TS21: embryo Absent 5 µg; poly-A+ RNA Not Specified Not Specified
14.5 E14.5 TS22: embryo Absent 5 µg; poly-A+ RNA Not Specified Not Specified
15.5 E15.5 TS23: embryo Absent 5 µg; poly-A+ RNA Not Specified Not Specified
Notes:
(a) Expression is downregulated at this age.

Contributing Projects:
Mouse Genome Database (MGD), Gene Expression Database (GXD), Mouse Models of Human Cancer database (MMHCdb) (formerly Mouse Tumor Biology (MTB)), Gene Ontology (GO)
Citing These Resources
Funding Information
Warranty Disclaimer, Privacy Notice, Licensing, & Copyright
Send questions and comments to User Support.
last database update
12/30/2025
MGI 6.24
The Jackson Laboratory