About   Help   FAQ
Gene Expression Data
Assay Details
Assay
Reference: J:3293 Reaume AG, et al., Expression analysis of a Notch homologue in the mouse embryo. Dev Biol. 1992 Dec;154(2):377-87
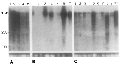
Assay type: Northern blot
MGI Accession ID: MGI:5439144
Gene symbol: Notch1
Gene name: notch 1
Probe: MN4.0
Probe preparation: Double stranded labelled with P32 DNA
Results
Image: 2C ©

 Sample Information Bands Other Sample Information
Lane AgeStructure 10 kb Amount Genetic BackgroundMutant Allele(s)Sex
Lane 1 P adult TS28: brain Present 10 µg; total RNA Not Specified Not Specified
Lane 2 P adult TS28: heart Present 10 µg; total RNA Not Specified Not Specified
Lane 3 P adult TS28: metanephros Present 10 µg; total RNA Not Specified Not Specified
Lane 4 P adult TS28: liver Present (a) 10 µg; total RNA Not Specified Not Specified
Lane 5 P adult TS28: lung Present (b) 10 µg; total RNA Not Specified Not Specified
Lane 6 P adult TS28: musculature Present (a) 10 µg; total RNA Not Specified Not Specified
Lane 7 P adult TS28: ovary Present 10 µg; total RNA Not Specified Female
Lane 8 P adult TS28: testis Present 10 µg; total RNA Not Specified Male
Lane 9 P adult TS28: thymus Present 10 µg; total RNA Not Specified Not Specified
Lane 10 P adult TS28: spleen Present 10 µg; total RNA Not Specified Not Specified
Notes:
(a) This is one of the tissues with the lowest expression level.
(b) This is the tissue with the highest expression level.

Contributing Projects:
Mouse Genome Database (MGD), Gene Expression Database (GXD), Mouse Models of Human Cancer database (MMHCdb) (formerly Mouse Tumor Biology (MTB)), Gene Ontology (GO)
Citing These Resources
Funding Information
Warranty Disclaimer, Privacy Notice, Licensing, & Copyright
Send questions and comments to User Support.
last database update
12/30/2025
MGI 6.24
The Jackson Laboratory