About   Help   FAQ
Gene Expression Data
Assay Details
Assay
Reference: J:41392 Hartung H, et al., Murine FGF-12 and FGF-13: expression in embryonic nervous system, connective tissue and heart. Mech Dev. 1997 Jun;64(1-2):31-9
Assay type: RNA in situ
MGI Accession ID: MGI:5437643
Gene symbol: Fgf13
Gene name: fibroblast growth factor 13
Probe: clone p5-4
Probe preparation: Antisense labelled with S35 RNA
Visualized with: Autoradiography
Results
Specimen 2C/D: embryonic day 10.5 (more )
Structure Level Pattern Image Note
TS17: neural tube Present Regionally restricted 2C/D Expression is in the ventral horns.
TS17: dorsal root ganglion Present 2C/D

Specimen 2E/F: embryonic day 10.5 (more )
Structure Level Pattern Image Note
TS17: acoustic ganglion Present 2E/F
TS17: facial ganglion Present 2E/F
TS17: glossopharyngeal ganglion Present 2E/F
TS17: trigeminal ganglion Present 2E/F
TS17: vagus ganglion Present 2E/F
TS17: midbrain Present Regionally restricted 2E/F Expression is outside the ependymal layer.

Specimen 2J/K: embryonic day 14.5 (more )
Structure Level Pattern Image Note
TS22: spinal cord Strong Regionally restricted 2J/K Broad expression, regionally strong.
TS22: dorsal root ganglion Strong 2J/K

Specimen 2M: embryonic day 14.5 (more )
Structure Level Pattern Image Note
TS22: brain Present 2M
TS22: spinal cord Present 2M

Specimen 2P: embryonic day 16.5 (more )
Structure Level Pattern Image Note
TS24: eye Absent 2P

Specimen 3A/B: embryonic day 14.5 (more )
Structure Level Pattern Image Note
TS22: intestine Present Regionally restricted 3A/B Expression is in enteric ganglia situated between inner circular and outer longitudinal muscle layers.

Specimen 3C: embryonic day 14.5 (more )
Structure Level Pattern Image Note
TS22: dorsal root ganglion Strong 3C

Specimen 3D/E: embryonic day 14.5 (more )
Structure Level Pattern Image Note
TS22: facial ganglion Strong 3D/E
TS22: glossopharyngeal ganglion Strong 3D/E
TS22: trigeminal ganglion Strong 3D/E
TS22: vagus ganglion Strong 3D/E
TS22: vestibulo-cochlear ganglion Strong 3D/E

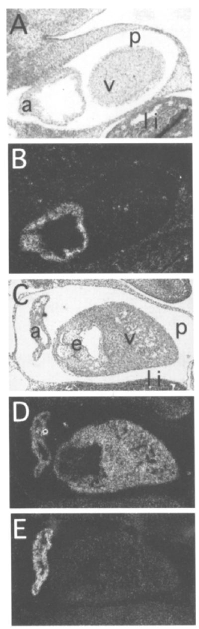
Specimen 5C/D: embryonic day 12.5 (more )
Structure Level Pattern Image Note
TS20: atrium cardiac muscle Present 5C/D
TS20: ventricle cardiac muscle Present 5C/D
TS20: endocardial cushion Absent 5C/D

Specimen 6I/J: embryonic day 14.5 (more )
Structure Level Pattern Image Note
TS22: mesenchyme of metanephros Present 6I/J

Specimen Not shown E16.5: embryonic day 16.5 (more )
Structure Level Pattern Image Note
TS24: central nervous system Weak


Contributing Projects:
Mouse Genome Database (MGD), Gene Expression Database (GXD), Mouse Models of Human Cancer database (MMHCdb) (formerly Mouse Tumor Biology (MTB)), Gene Ontology (GO)
Citing These Resources
Funding Information
Warranty Disclaimer, Privacy Notice, Licensing, & Copyright
Send questions and comments to User Support.
last database update
01/20/2026
MGI 6.24
The Jackson Laboratory