About   Help   FAQ
Gene Expression Data
Assay Details
Assay
Reference: J:122989 Visel A, et al., GenePaint.org: an atlas of gene expression patterns in the mouse embryo. Nucleic Acids Res. 2004 Jan 1;32(Database issue):D552-6
Assay type: RNA in situ
MGI Accession ID: MGI:5425249
Gene symbol: mt-Co3
Gene name: mitochondrially encoded cytochrome c oxidase III
Probe: T50687
Probe preparation: Antisense labelled with digoxigenin RNA
Visualized with: Alkaline phosphatase
Assay notes: Cryosections of fresh frozen material were fixed in 4% paraformaldehyde for 20 min. before further processing. A tyramide-biotin/streptavidin amplification step was included in the in situ hybridization procedure. These data were downloaded from GenePaint.org on 1/30/12. The probe used in this assay may recognize a related gene; see assay MGI:5422466 (mt-Atp6).
Results
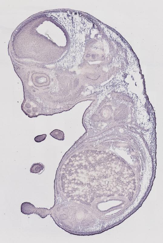
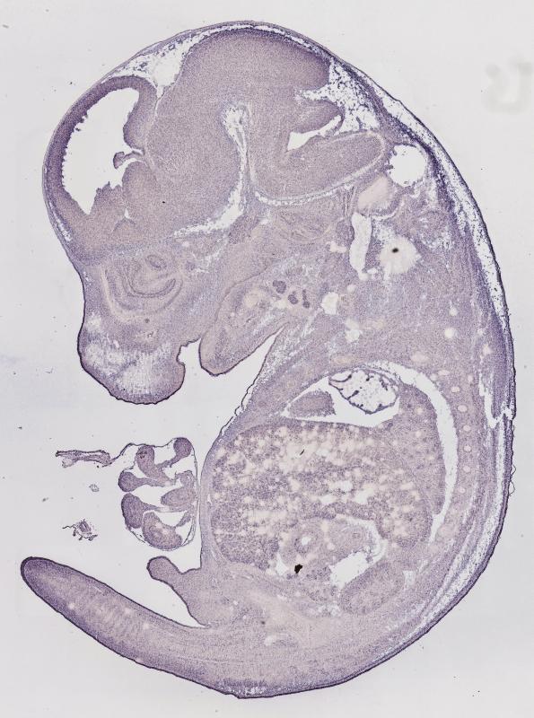
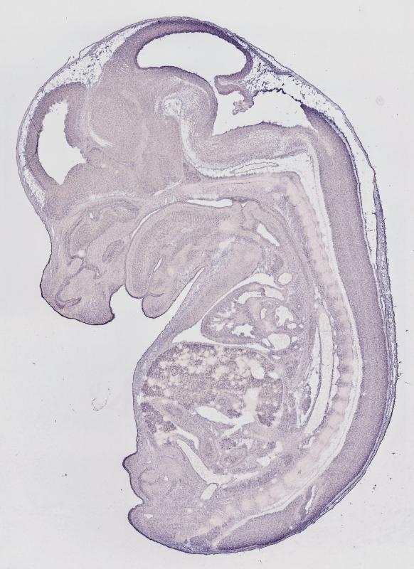
Specimen MH986; Specimen C1430: embryonic day 14.5 (more )
Structure Level Pattern Image Note
TS22: nervous system Strong Regionally restricted Embryo_C1430_3_3B
TS22: central nervous system Strong Regionally restricted Embryo_C1430_3_3B
TS22: telencephalon Strong Regionally restricted Embryo_C1430_3_3B
TS22: cerebral cortex Moderate Regionally restricted Embryo_C1430_3_3A
TS22: neocortex Moderate Regionally restricted Embryo_C1430_3_3A
TS22: olfactory cortex Absent
TS22: main olfactory bulb Absent
TS22: piriform cortex Absent
TS22: hippocampus Moderate Regionally restricted Embryo_C1430_3_3A
TS22: basal ganglia Strong Regionally restricted Embryo_C1430_3_2B
TS22: corpus striatum Strong Regionally restricted Embryo_C1430_3_2B Expression was strong in the corpus striatum (lateral ganglionic eminence).
TS22: basal forebrain Absent
TS22: amygdala Absent
TS22: telencephalon septum Absent
TS22: pallidum Weak Regionally restricted Embryo_C1430_3_3B Expression was weak in the pallidum (medial ganglionic eminence).
TS22: diencephalon Absent
TS22: thalamus Absent
TS22: hypothalamus Absent
TS22: midbrain Strong Regionally restricted Embryo_C1430_3_3C
TS22: pretectum Absent
TS22: superior colliculus Strong Regionally restricted Embryo_C1430_3_3C
TS22: inferior colliculus Strong Regionally restricted Embryo_C1430_3_3C
TS22: midbrain tegmentum Strong Regionally restricted Embryo_C1430_3_3C
TS22: hindbrain Strong Regionally restricted Embryo_C1430_3_3B
TS22: cerebellum Absent
TS22: pons Absent
TS22: medulla oblongata Strong Regionally restricted Embryo_C1430_3_3B
TS22: spinal cord Strong Regionally restricted Embryo_C1430_3_3B
TS22: choroid plexus Strong Regionally restricted Embryo_C1430_3_3B
TS22: meninges Absent
TS22: peripheral nervous system Weak Regionally restricted Embryo_C1430_3_2B
TS22: cranial ganglion Absent
TS22: dorsal root ganglion Weak Ubiquitous Embryo_C1430_3_2B
TS22: eye Moderate Regionally restricted Embryo_C1430_3_1A
TS22: retina Weak Regionally restricted Embryo_C1430_3_1A
TS22: lens Moderate Regionally restricted Embryo_C1430_3_1A
TS22: cornea Absent
TS22: optic nerve Absent
TS22: nose Weak Regionally restricted Embryo_C1430_3_3A
TS22: olfactory epithelium Weak Regionally restricted Embryo_C1430_3_3A
TS22: ear Weak Regionally restricted Embryo_C1430_3_6C
TS22: inner ear Absent
TS22: cochlea Absent
TS22: inner ear labyrinth Absent
TS22: middle ear Weak Regionally restricted Embryo_C1430_3_6C
TS22: alimentary system Strong Regionally restricted Embryo_C1430_3_5A Expression was strong in the digestive system.
TS22: intestine Absent
TS22: salivary gland Strong Ubiquitous Embryo_C1430_3_5A
TS22: tongue Absent
TS22: tooth Weak Ubiquitous Embryo_C1430_3_3B
TS22: palatal shelf Absent
TS22: esophagus Absent
TS22: stomach Strong Regionally restricted Embryo_C1430_3_5D
TS22: liver Strong Regionally restricted Embryo_C1430_3_3B
TS22: respiratory system Strong Regionally restricted Embryo_C1430_3_2A
TS22: pharynx Weak Regionally restricted Embryo_C1430_3_3C
TS22: larynx Absent
TS22: trachea Weak Regionally restricted Embryo_C1430_3_3B
TS22: main bronchus Absent
TS22: lung Strong Regionally restricted Embryo_C1430_3_2A
TS22: urinary system Weak Regionally restricted Embryo_C1430_3_4D Expression was weak in the genito-urinary system.
TS22: metanephros Weak Regionally restricted Embryo_C1430_3_4D
TS22: ureter Absent
TS22: bladder Absent
TS22: urethra Absent
TS22: reproductive system Absent
TS22: genital tubercle Absent
TS22: gonad Absent
TS22: gland Moderate Regionally restricted Embryo_C1430_3_4D Expression was detected in the endocrine system.
TS22: thyroid gland Weak Ubiquitous Embryo_C1430_3_3A
TS22: pituitary gland Absent
TS22: pancreas Moderate Regionally restricted Embryo_C1430_3_4D
TS22: adrenal gland Absent
TS22: cardiovascular system Weak Regionally restricted Embryo_C1430_3_3B
TS22: heart Weak Regionally restricted Embryo_C1430_3_3B
TS22: heart atrium Weak Regionally restricted Embryo_C1430_3_3B
TS22: heart ventricle Weak Regionally restricted Embryo_C1430_3_3B
TS22: blood vessel Absent
TS22: hemolymphoid system Weak Regionally restricted Embryo_C1430_3_3A Expression was weak in the immune system.
TS22: spleen primordium Absent
TS22: thymus primordium Weak Ubiquitous Embryo_C1430_3_3A
TS22: appendicular skeleton Absent Expression was not detected in the skeleton (limbs, shoulder, hip).
TS22: musculature Absent
TS22: face Absent Expression was not detected in the face/soft tissues.
TS22: facial bone primordium Absent
TS22: cranium Absent Expression was not detected in the skull (base and vault).
TS22: axial skeleton Absent
TS22: tail Moderate Regionally restricted Embryo_C1430_3_4D
TS22: forelimb Absent
TS22: hindlimb Absent
TS22: integumental system Strong Regionally restricted Embryo_C1430_3_6C
TS22: skin Strong Regionally restricted Embryo_C1430_3_6C
TS22: hair Weak Regionally restricted Embryo_C1430_3_5D
TS22: vibrissa follicle Weak Regionally restricted Embryo_C1430_3_5D Expression was weak in whisker follicle.


Contributing Projects:
Mouse Genome Database (MGD), Gene Expression Database (GXD), Mouse Models of Human Cancer database (MMHCdb) (formerly Mouse Tumor Biology (MTB)), Gene Ontology (GO)
Citing These Resources
Funding Information
Warranty Disclaimer, Privacy Notice, Licensing, & Copyright
Send questions and comments to User Support.
last database update
04/14/2026
MGI 6.24
The Jackson Laboratory