About   Help   FAQ
Gene Expression Data
Assay Details
Assay
Reference: J:122989 Visel A, et al., GenePaint.org: an atlas of gene expression patterns in the mouse embryo. Nucleic Acids Res. 2004 Jan 1;32(Database issue):D552-6
Assay type: RNA in situ
MGI Accession ID: MGI:5423948
Gene symbol: Rrm2
Gene name: ribonucleotide reductase M2
Probe: EB1374 probe 1114
Probe preparation: Antisense labelled with digoxigenin RNA
Visualized with: Alkaline phosphatase
Assay notes: Cryosections of fresh frozen material were fixed in 4% paraformaldehyde for 20 min. before further processing. A tyramide-biotin/streptavidin amplification step was included in the in situ hybridization procedure. These data were downloaded from GenePaint.org on 1/30/12.
Results
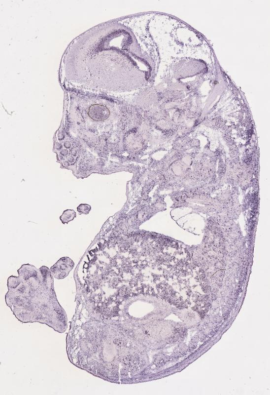
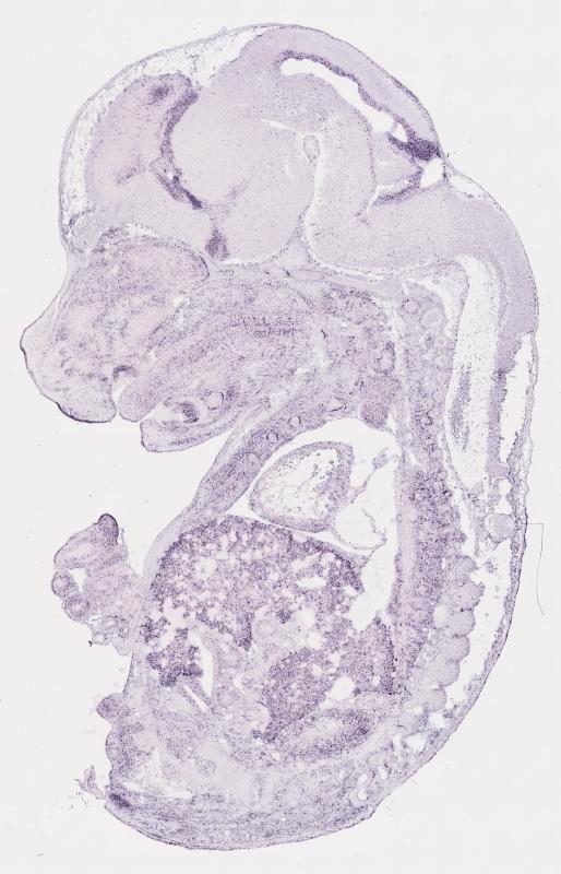
Specimen EB1374; Specimen B535: embryonic day 14.5 (more )
Structure Level Pattern Image Note
TS22: nervous system Strong Regionally restricted Embryo_B535_2_3C
TS22: central nervous system Strong Regionally restricted Embryo_B535_2_3C
TS22: telencephalon Strong Regionally restricted Embryo_B535_2_3C
TS22: cerebral cortex Strong Regionally restricted Embryo_B535_2_3C
TS22: neocortex Strong Regionally restricted Embryo_B535_2_3C
TS22: olfactory cortex Strong Regionally restricted Embryo_B535_2_3C
TS22: main olfactory bulb Strong Regionally restricted Embryo_B535_2_3C
TS22: piriform cortex Absent
TS22: hippocampus Strong Regionally restricted Embryo_B535_2_3C
TS22: basal ganglia Strong Regionally restricted Embryo_B535_2_2B
TS22: corpus striatum Strong Regionally restricted Embryo_B535_2_2B Expression was strong in the corpus striatum (lateral ganglionic eminence).
TS22: basal forebrain Absent
TS22: amygdala Absent
TS22: telencephalon septum Strong Regionally restricted Embryo_B535_2_3D
TS22: pallidum Strong Regionally restricted Embryo_B535_2_3C Expression was strong in the pallidum (medial ganglionic eminence).
TS22: diencephalon Strong Regionally restricted Embryo_B535_2_4B
TS22: thalamus Strong Regionally restricted Embryo_B535_2_4B
TS22: hypothalamus Strong Regionally restricted Embryo_B535_2_4B
TS22: midbrain Strong Regionally restricted Embryo_B535_2_4B
TS22: pretectum Absent
TS22: superior colliculus Strong Regionally restricted Embryo_B535_2_4B
TS22: inferior colliculus Strong Ubiquitous Embryo_B535_2_4B
TS22: midbrain tegmentum Strong Regionally restricted Embryo_B535_2_4A
TS22: hindbrain Strong Regionally restricted Embryo_B535_2_3D
TS22: cerebellum Strong Regionally restricted Embryo_B535_2_3D
TS22: pons Weak Regionally restricted Embryo_B535_2_4C
TS22: medulla oblongata Absent
TS22: spinal cord Moderate Regionally restricted Embryo_B535_2_3C
TS22: choroid plexus Strong Regionally restricted Embryo_B535_2_4B
TS22: meninges Absent
TS22: peripheral nervous system Absent
TS22: cranial ganglion Absent
TS22: dorsal root ganglion Absent
TS22: eye Moderate Regionally restricted Embryo_B535_2_6D
TS22: retina Moderate Ubiquitous Embryo_B535_2_6D
TS22: lens Absent
TS22: cornea Absent
TS22: optic nerve Weak Ubiquitous Embryo_B535_2_2C
TS22: nose Absent
TS22: olfactory epithelium Absent
TS22: ear Strong Regionally restricted Embryo_B535_2_3A
TS22: inner ear Strong Regionally restricted Embryo_B535_2_3A
TS22: cochlea Strong Regionally restricted Embryo_B535_2_3A
TS22: inner ear labyrinth Moderate Regionally restricted Embryo_B535_2_2C
TS22: middle ear Moderate Ubiquitous Embryo_B535_2_1A
TS22: alimentary system Strong Regionally restricted Embryo_B535_2_2C Expression was strong in the digestive system.
TS22: intestine Moderate Regionally restricted Embryo_B535_2_4A
TS22: salivary gland Strong Ubiquitous Embryo_B535_2_2C
TS22: tongue Moderate Regionally restricted Embryo_B535_2_3D
TS22: tooth Strong Ubiquitous Embryo_B535_2_3C
TS22: palatal shelf Strong Regionally restricted Embryo_B535_2_4A
TS22: esophagus Absent
TS22: stomach Moderate Regionally restricted Embryo_B535_2_1A
TS22: liver Strong Ubiquitous Embryo_B535_2_3A
TS22: respiratory system Moderate Regionally restricted Embryo_B535_2_4A
TS22: pharynx Absent
TS22: larynx Absent
TS22: trachea Moderate Ubiquitous Embryo_B535_2_4A
TS22: main bronchus Absent
TS22: lung Moderate Ubiquitous Embryo_B535_2_2D
TS22: urinary system Moderate Regionally restricted Embryo_B535_2_3D Expression was detected in the genito-urinary system.
TS22: metanephros Moderate Regionally restricted Embryo_B535_2_2D
TS22: ureter Absent
TS22: bladder Moderate Regionally restricted Embryo_B535_2_3D
TS22: urethra Absent
TS22: reproductive system Moderate Regionally restricted Embryo_B535_2_3C
TS22: genital tubercle Moderate Regionally restricted Embryo_B535_2_3C
TS22: gonad Absent
TS22: gland Weak Regionally restricted Embryo_B535_2_2D Expression was weak in the endocrine system.
TS22: thyroid gland Weak Regionally restricted Embryo_B535_2_4C
TS22: pituitary gland Weak Regionally restricted Embryo_B535_2_4A
TS22: pancreas Weak Ubiquitous Embryo_B535_2_2D
TS22: adrenal gland Absent
TS22: cardiovascular system Weak Regionally restricted Embryo_B535_2_3C
TS22: heart Weak Regionally restricted Embryo_B535_2_3C
TS22: heart atrium Absent
TS22: heart ventricle Weak Ubiquitous Embryo_B535_2_3C
TS22: blood vessel Absent
TS22: hemolymphoid system Moderate Regionally restricted Embryo_B535_2_3C Expression was detected in the immune system.
TS22: spleen primordium Absent
TS22: thymus primordium Moderate Ubiquitous Embryo_B535_2_3C
TS22: appendicular skeleton Absent Expression was not detected in the skeleton (limbs, shoulder, hip).
TS22: musculature Moderate Ubiquitous Embryo_B535_2_1A
TS22: face Absent Expression was not detected in the face/soft tissues.
TS22: facial bone primordium Moderate Regionally restricted Embryo_B535_2_4C
TS22: cranium Strong Regionally restricted Embryo_B535_2_2B Expression was strong in the skull (base and vault).
TS22: axial skeleton Moderate Regionally restricted Embryo_B535_2_3C
TS22: tail Strong Regionally restricted Embryo_B535_2_4B
TS22: forelimb Strong Regionally restricted Embryo_B535_2_1A
TS22: hindlimb Moderate Regionally restricted Embryo_B535_2_5C
TS22: integumental system Strong Regionally restricted Embryo_B535_2_2A
TS22: skin Absent
TS22: hair Strong Regionally restricted Embryo_B535_2_2A
TS22: vibrissa follicle Strong Regionally restricted Embryo_B535_2_2A Expression was strong in whisker follicle.


Contributing Projects:
Mouse Genome Database (MGD), Gene Expression Database (GXD), Mouse Models of Human Cancer database (MMHCdb) (formerly Mouse Tumor Biology (MTB)), Gene Ontology (GO)
Citing These Resources
Funding Information
Warranty Disclaimer, Privacy Notice, Licensing, & Copyright
Send questions and comments to User Support.
last database update
12/30/2025
MGI 6.24
The Jackson Laboratory