About   Help   FAQ
Gene Expression Data
Assay Details
Assay
Reference: J:122989 Visel A, et al., GenePaint.org: an atlas of gene expression patterns in the mouse embryo. Nucleic Acids Res. 2004 Jan 1;32(Database issue):D552-6
Assay type: RNA in situ
MGI Accession ID: MGI:5423930
Gene symbol: Papss1
Gene name: 3'-phosphoadenosine 5'-phosphosulfate synthase 1
Probe: EG194 probe 203
Probe preparation: Antisense labelled with digoxigenin RNA
Visualized with: Alkaline phosphatase
Assay notes: Cryosections of fresh frozen material were fixed in 4% paraformaldehyde for 20 min. before further processing. A tyramide-biotin/streptavidin amplification step was included in the in situ hybridization procedure. These data were downloaded from GenePaint.org on 1/30/12.
Results
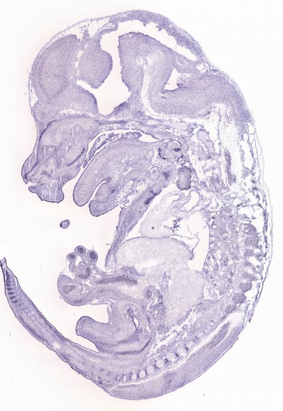
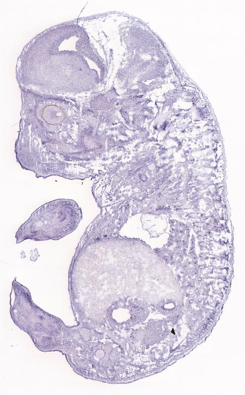
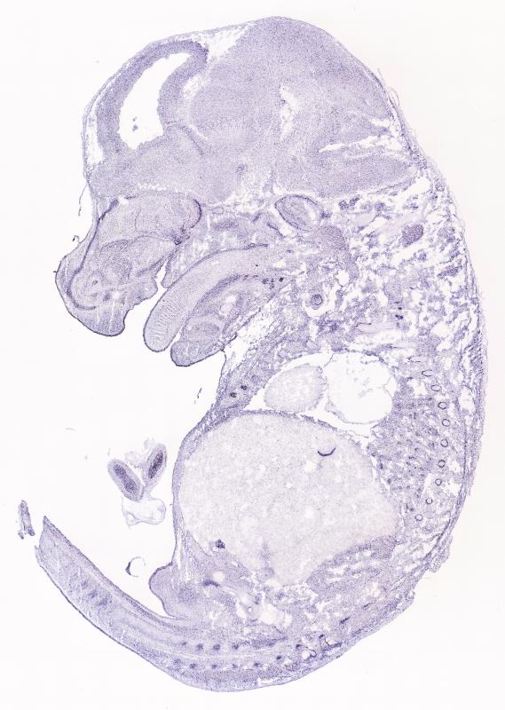
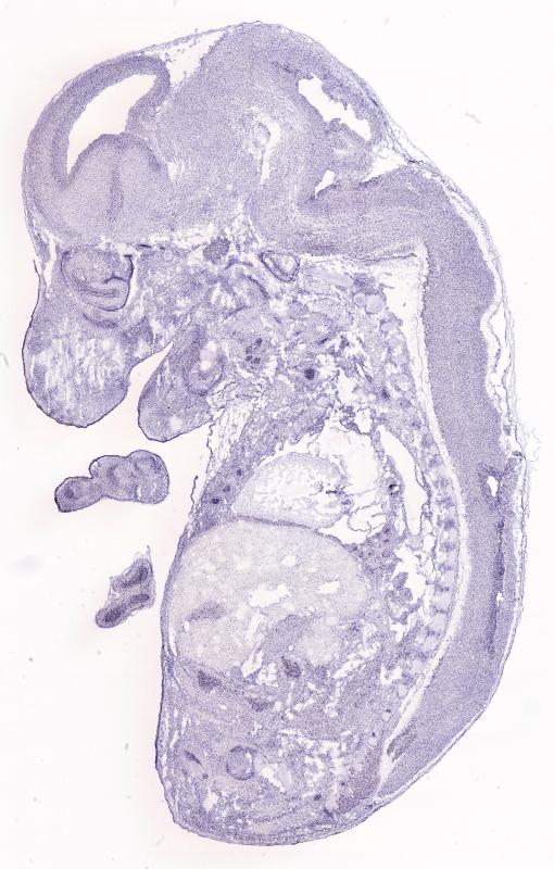
Specimen EG194; Specimen G0139: embryonic day 14.5 (more )
Structure Level Pattern Image Note
TS22: nervous system Strong Regionally restricted Embryo_G0139_4_3A
TS22: central nervous system Strong Regionally restricted Embryo_G0139_4_3A
TS22: telencephalon Moderate Regionally restricted Embryo_G0139_4_2D
TS22: cerebral cortex Weak Regionally restricted Embryo_G0139_4_3C
TS22: neocortex Weak Regionally restricted Embryo_G0139_4_3C
TS22: olfactory cortex Absent
TS22: main olfactory bulb Absent
TS22: piriform cortex Absent
TS22: hippocampus Weak Regionally restricted Embryo_G0139_4_3C
TS22: basal ganglia Moderate Regionally restricted Embryo_G0139_4_2D
TS22: corpus striatum Moderate Regionally restricted Embryo_G0139_4_2D Expression was detected in the corpus striatum (lateral ganglionic eminence).
TS22: basal forebrain Absent
TS22: amygdala Absent
TS22: telencephalon septum Weak Regionally restricted Embryo_G0139_4_3C
TS22: pallidum Weak Regionally restricted Embryo_G0139_4_3C Expression was weak in the pallidum (medial ganglionic eminence).
TS22: diencephalon Absent
TS22: thalamus Absent
TS22: hypothalamus Absent
TS22: midbrain Moderate Regionally restricted Embryo_G0139_4_3C
TS22: pretectum Absent
TS22: superior colliculus Absent
TS22: inferior colliculus Absent
TS22: midbrain tegmentum Moderate Regionally restricted Embryo_G0139_4_3C
TS22: hindbrain Moderate Regionally restricted Embryo_G0139_4_3B
TS22: cerebellum Absent
TS22: pons Moderate Regionally restricted Embryo_G0139_4_3C
TS22: medulla oblongata Moderate Regionally restricted Embryo_G0139_4_3B
TS22: spinal cord Strong Regionally restricted Embryo_G0139_4_3A
TS22: choroid plexus Absent
TS22: meninges Absent
TS22: peripheral nervous system Moderate Ubiquitous Embryo_G0139_4_2C
TS22: cranial ganglion Moderate Ubiquitous Embryo_G0139_4_2C
TS22: dorsal root ganglion Moderate Ubiquitous Embryo_G0139_4_2C
TS22: eye Absent
TS22: retina Absent
TS22: lens Absent
TS22: cornea Absent
TS22: optic nerve Absent
TS22: nose Moderate Regionally restricted Embryo_G0139_4_3B
TS22: olfactory epithelium Moderate Regionally restricted Embryo_G0139_4_3B
TS22: ear Strong Regionally restricted Embryo_G0139_4_4D
TS22: inner ear Strong Regionally restricted Embryo_G0139_4_4D
TS22: cochlea Strong Regionally restricted Embryo_G0139_4_4D
TS22: inner ear labyrinth Absent
TS22: middle ear Absent
TS22: alimentary system Strong Regionally restricted Embryo_G0139_4_5B Expression was strong in the digestive system.
TS22: intestine Strong Regionally restricted Embryo_G0139_4_3B
TS22: salivary gland Strong Ubiquitous Embryo_G0139_4_5B
TS22: tongue Absent
TS22: tooth Absent
TS22: palatal shelf Absent
TS22: esophagus Strong Regionally restricted Embryo_G0139_4_3C
TS22: stomach Strong Regionally restricted Embryo_G0139_4_1B
TS22: liver Absent
TS22: respiratory system Strong Regionally restricted Embryo_G0139_4_3D
TS22: pharynx Moderate Regionally restricted Embryo_G0139_4_3D
TS22: larynx Strong Regionally restricted Embryo_G0139_4_3C
TS22: trachea Strong Regionally restricted Embryo_G0139_4_3D
TS22: main bronchus Absent
TS22: lung Strong Regionally restricted Embryo_G0139_4_1D
TS22: urinary system Strong Regionally restricted Embryo_G0139_4_4A Expression was strong in the genito-urinary system.
TS22: metanephros Absent
TS22: ureter Absent
TS22: bladder Strong Regionally restricted Embryo_G0139_4_4A
TS22: urethra Moderate Ubiquitous Embryo_G0139_4_4A
TS22: reproductive system Moderate Regionally restricted Embryo_G0139_4_4B
TS22: genital tubercle Moderate Regionally restricted Embryo_G0139_4_4B
TS22: gonad Absent
TS22: gland Strong Regionally restricted Embryo_G0139_4_1D Expression was strong in the endocrine system.
TS22: thyroid gland Moderate Ubiquitous Embryo_G0139_4_3B
TS22: pituitary gland Moderate Ubiquitous Embryo_G0139_4_3C
TS22: pancreas Strong Regionally restricted Embryo_G0139_4_1D
TS22: adrenal gland Absent
TS22: cardiovascular system Strong Regionally restricted Embryo_G0139_4_3D
TS22: heart Strong Regionally restricted Embryo_G0139_4_3D
TS22: heart atrium Strong Regionally restricted Embryo_G0139_4_3D
TS22: heart ventricle Absent
TS22: blood vessel Absent
TS22: hemolymphoid system Strong Regionally restricted Embryo_G0139_4_3B Expression was strong in the immune system.
TS22: spleen primordium Absent
TS22: thymus primordium Strong Regionally restricted Embryo_G0139_4_3B
TS22: appendicular skeleton Strong Regionally restricted Embryo_G0139_4_1D Expression was strong in the skeleton (limbs, shoulder, hip).
TS22: musculature Strong Regionally restricted Embryo_G0139_4_1D
TS22: face Absent Expression was not detected in the face/soft tissues.
TS22: facial bone primordium Strong Regionally restricted Embryo_G0139_4_3D
TS22: cranium Moderate Regionally restricted Embryo_G0139_4_2A Expression was detected in the skull (base and vault).
TS22: axial skeleton Strong Regionally restricted Embryo_G0139_4_1C
TS22: tail Strong Regionally restricted Embryo_G0139_4_4B
TS22: forelimb Strong Regionally restricted Embryo_G0139_4_1C
TS22: hindlimb Strong Regionally restricted Embryo_G0139_4_1C
TS22: integumental system Absent
TS22: skin Absent
TS22: hair Absent
TS22: vibrissa follicle Absent Expression was not detected in whisker follicle.


Contributing Projects:
Mouse Genome Database (MGD), Gene Expression Database (GXD), Mouse Models of Human Cancer database (MMHCdb) (formerly Mouse Tumor Biology (MTB)), Gene Ontology (GO)
Citing These Resources
Funding Information
Warranty Disclaimer, Privacy Notice, Licensing, & Copyright
Send questions and comments to User Support.
last database update
12/30/2025
MGI 6.24
The Jackson Laboratory