About   Help   FAQ
Gene Expression Data
Assay Details
Assay
Reference: J:122989 Visel A, et al., GenePaint.org: an atlas of gene expression patterns in the mouse embryo. Nucleic Acids Res. 2004 Jan 1;32(Database issue):D552-6
Assay type: RNA in situ
MGI Accession ID: MGI:5423889
Gene symbol: Hmox1
Gene name: heme oxygenase 1
Probe: EG13 probe 59
Probe preparation: Antisense labelled with digoxigenin RNA
Visualized with: Alkaline phosphatase
Assay notes: Cryosections of fresh frozen material were fixed in 4% paraformaldehyde for 20 min. before further processing. A tyramide-biotin/streptavidin amplification step was included in the in situ hybridization procedure. These data were downloaded from GenePaint.org on 1/30/12.
Results
Specimen EG13; Specimen G0051: embryonic day 14.5 (more )
Structure Level Pattern Image Note
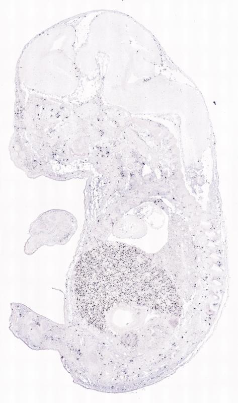
TS22: nervous system Strong Regionally restricted Embryo_G0051_3_3B
TS22: central nervous system Strong Regionally restricted Embryo_G0051_3_3B
TS22: telencephalon Absent
TS22: cerebral cortex Absent
TS22: neocortex Absent
TS22: olfactory cortex Absent
TS22: main olfactory bulb Absent
TS22: piriform cortex Absent
TS22: hippocampus Absent
TS22: basal ganglia Absent
TS22: corpus striatum Absent Expression was not detected in the corpus striatum (lateral ganglionic eminence).
TS22: basal forebrain Absent
TS22: amygdala Absent
TS22: telencephalon septum Absent
TS22: pallidum Absent Expression was not detected in the pallidum (medial ganglionic eminence).
TS22: diencephalon Strong Regionally restricted Embryo_G0051_3_3B
TS22: thalamus Strong Regionally restricted Embryo_G0051_3_3B
TS22: hypothalamus Strong Regionally restricted Embryo_G0051_3_3B
TS22: midbrain Absent
TS22: pretectum Absent
TS22: superior colliculus Absent
TS22: inferior colliculus Absent
TS22: midbrain tegmentum Absent
TS22: hindbrain Absent
TS22: cerebellum Absent
TS22: pons Absent
TS22: medulla oblongata Absent
TS22: spinal cord Absent
TS22: choroid plexus Strong Regionally restricted Embryo_G0051_3_3B
TS22: meninges Absent
TS22: peripheral nervous system Absent
TS22: cranial ganglion Absent
TS22: dorsal root ganglion Absent
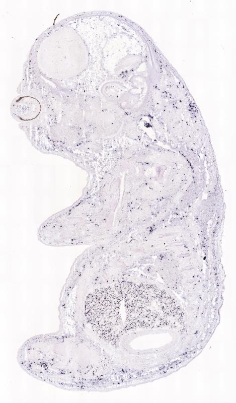
TS22: eye Strong Regionally restricted Embryo_G0051_3_1A
TS22: retina Absent
TS22: lens Strong Scattered Embryo_G0051_3_1A
TS22: cornea Absent
TS22: optic nerve Absent
TS22: nose Absent
TS22: olfactory epithelium Absent
TS22: ear Strong Regionally restricted Embryo_G0051_3_1D
TS22: inner ear Strong Regionally restricted Embryo_G0051_3_1D
TS22: cochlea Strong Regionally restricted Embryo_G0051_3_2B
TS22: inner ear labyrinth Strong Regionally restricted Embryo_G0051_3_1D
TS22: middle ear Absent
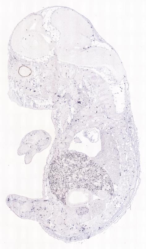
TS22: alimentary system Strong Regionally restricted Embryo_G0051_3_1C Expression was strong in the digestive system.
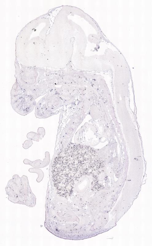
TS22: intestine Moderate Scattered Embryo_G0051_3_4B
TS22: salivary gland Absent
TS22: tongue Strong Scattered Embryo_G0051_3_3B
TS22: tooth Moderate Regionally restricted Embryo_G0051_3_3D
TS22: palatal shelf Strong Scattered Embryo_G0051_3_3C
TS22: esophagus Absent
TS22: stomach Absent
TS22: liver Strong Scattered Embryo_G0051_3_1C
TS22: respiratory system Moderate Regionally restricted Embryo_G0051_3_3C
TS22: pharynx Absent
TS22: larynx Absent
TS22: trachea Absent
TS22: main bronchus Absent
TS22: lung Moderate Scattered Embryo_G0051_3_3C
TS22: urinary system Strong Regionally restricted Embryo_G0051_3_4B Expression was strong in the genito-urinary system.
TS22: metanephros Absent
TS22: ureter Absent
TS22: bladder Strong Regionally restricted Embryo_G0051_3_4B
TS22: urethra Absent
TS22: reproductive system Strong Regionally restricted Embryo_G0051_3_2A
TS22: genital tubercle Absent
TS22: gonad Strong Regionally restricted Embryo_G0051_3_2A
TS22: gland Absent Expression was not detected in the endocrine system.
TS22: thyroid gland Absent
TS22: pituitary gland Absent
TS22: pancreas Absent
TS22: adrenal gland Absent
TS22: cardiovascular system Absent
TS22: heart Absent
TS22: heart atrium Absent
TS22: heart ventricle Absent
TS22: blood vessel Absent
TS22: hemolymphoid system Strong Regionally restricted Embryo_G0051_3_1C Expression was strong in the immune system.
TS22: spleen primordium Strong Scattered Embryo_G0051_3_1C
TS22: thymus primordium Absent
TS22: appendicular skeleton Absent Expression was not detected in the skeleton (limbs, shoulder, hip).
TS22: musculature Strong Scattered Embryo_G0051_3_1B
TS22: face Strong Regionally restricted Embryo_G0051_3_3A Expression was strong in the face/soft tissues.
TS22: facial bone primordium Absent
TS22: cranium Strong Scattered Embryo_G0051_3_1D Expression was strong in the skull (base and vault).
TS22: axial skeleton Absent
TS22: tail Strong Regionally restricted Embryo_G0051_3_4B
TS22: forelimb Strong Scattered Embryo_G0051_3_1C
TS22: hindlimb Strong Scattered Embryo_G0051_3_1C
TS22: integumental system Absent
TS22: skin Absent
TS22: hair Absent
TS22: vibrissa follicle Absent Expression was not detected in whisker follicle.


Contributing Projects:
Mouse Genome Database (MGD), Gene Expression Database (GXD), Mouse Models of Human Cancer database (MMHCdb) (formerly Mouse Tumor Biology (MTB)), Gene Ontology (GO)
Citing These Resources
Funding Information
Warranty Disclaimer, Privacy Notice, Licensing, & Copyright
Send questions and comments to User Support.
last database update
04/14/2026
MGI 6.24
The Jackson Laboratory