About   Help   FAQ
Gene Expression Data
Assay Details
Assay
Reference: J:122989 Visel A, et al., GenePaint.org: an atlas of gene expression patterns in the mouse embryo. Nucleic Acids Res. 2004 Jan 1;32(Database issue):D552-6
Assay type: RNA in situ
MGI Accession ID: MGI:5423869
Gene symbol: Slc38a7
Gene name: solute carrier family 38, member 7
Probe: ES444 probe 454
Probe preparation: Antisense labelled with digoxigenin RNA
Visualized with: Alkaline phosphatase
Assay notes: Cryosections of fresh frozen material were fixed in 4% paraformaldehyde for 20 min. before further processing. A tyramide-biotin/streptavidin amplification step was included in the in situ hybridization procedure. These data were downloaded from GenePaint.org on 1/30/12.
Results
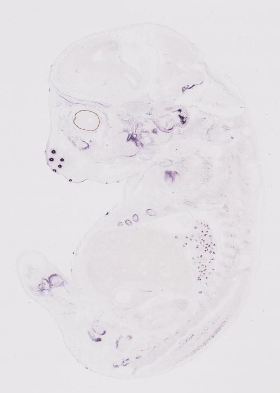
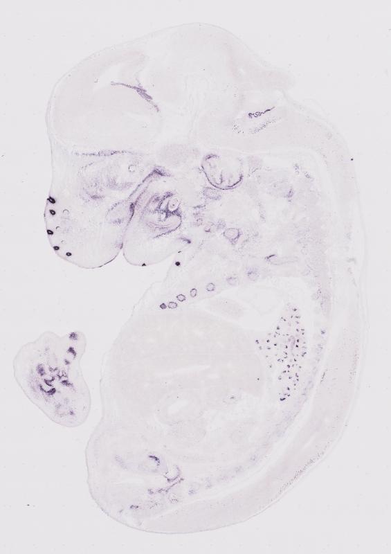
Specimen ES444; Specimen S187: embryonic day 14.5 (more )
Structure Level Pattern Image Note
TS22: nervous system Strong Regionally restricted Embryo_S187_6_3A
TS22: central nervous system Strong Regionally restricted Embryo_S187_6_3A
TS22: telencephalon Absent
TS22: cerebral cortex Absent
TS22: neocortex Absent
TS22: olfactory cortex Absent
TS22: main olfactory bulb Absent
TS22: piriform cortex Absent
TS22: hippocampus Absent
TS22: basal ganglia Absent
TS22: corpus striatum Absent Expression was not detected in the corpus striatum (lateral ganglionic eminence).
TS22: basal forebrain Absent
TS22: amygdala Absent
TS22: telencephalon septum Absent
TS22: pallidum Absent Expression was not detected in the pallidum (medial ganglionic eminence).
TS22: diencephalon Absent
TS22: thalamus Absent
TS22: hypothalamus Absent
TS22: midbrain Absent
TS22: pretectum Absent
TS22: superior colliculus Absent
TS22: inferior colliculus Absent
TS22: midbrain tegmentum Absent
TS22: hindbrain Weak Regionally restricted Embryo_S187_6_2D
TS22: cerebellum Absent
TS22: pons Weak Regionally restricted Embryo_S187_6_2D
TS22: medulla oblongata Weak Regionally restricted Embryo_S187_6_2D
TS22: spinal cord Moderate Regionally restricted Embryo_S187_6_2D
TS22: choroid plexus Strong Regionally restricted Embryo_S187_6_3A
TS22: meninges Absent
TS22: peripheral nervous system Absent
TS22: cranial ganglion Absent
TS22: dorsal root ganglion Absent
TS22: eye Absent
TS22: retina Absent
TS22: lens Absent
TS22: cornea Absent
TS22: optic nerve Absent
TS22: nose Strong Regionally restricted Embryo_S187_6_4A
TS22: olfactory epithelium Strong Regionally restricted Embryo_S187_6_4A
TS22: ear Strong Regionally restricted Embryo_S187_6_2D
TS22: inner ear Strong Regionally restricted Embryo_S187_6_2D
TS22: cochlea Strong Regionally restricted Embryo_S187_6_2D
TS22: inner ear labyrinth Strong Regionally restricted Embryo_S187_6_2B
TS22: middle ear Strong Regionally restricted Embryo_S187_6_2A
TS22: alimentary system Strong Regionally restricted Embryo_S187_6_3C Expression was strong in the digestive system.
TS22: intestine Absent
TS22: salivary gland Moderate Regionally restricted Embryo_S187_6_2B
TS22: tongue Absent
TS22: tooth Strong Regionally restricted Embryo_S187_6_3C
TS22: palatal shelf Absent
TS22: esophagus Absent
TS22: stomach Weak Regionally restricted Embryo_S187_6_1A
TS22: liver Absent
TS22: respiratory system Strong Regionally restricted Embryo_S187_6_4C
TS22: pharynx Absent
TS22: larynx Moderate Regionally restricted Embryo_S187_6_3D
TS22: trachea Moderate Scattered Embryo_S187_6_3D
TS22: main bronchus Moderate Scattered Embryo_S187_6_3D
TS22: lung Strong Regionally restricted Embryo_S187_6_4C
TS22: urinary system Strong Regionally restricted Embryo_S187_6_3D Expression was strong in the genito-urinary system.
TS22: metanephros Absent
TS22: ureter Absent
TS22: bladder Absent
TS22: urethra Absent
TS22: reproductive system Strong Regionally restricted Embryo_S187_6_3D
TS22: genital tubercle Strong Regionally restricted Embryo_S187_6_3D
TS22: gland Absent Expression was not detected in the endocrine system.
TS22: thyroid gland Absent
TS22: pituitary gland Absent
TS22: pancreas Absent
TS22: adrenal gland Absent
TS22: cardiovascular system Strong Regionally restricted Embryo_S187_6_3D
TS22: heart Strong Regionally restricted Embryo_S187_6_3D
TS22: heart atrium Absent
TS22: heart ventricle Strong Regionally restricted Embryo_S187_6_3D
TS22: blood vessel Absent
TS22: hemolymphoid system Absent Expression was not detected in the immune system.
TS22: spleen primordium Absent
TS22: thymus primordium Absent
TS22: appendicular skeleton Strong Regionally restricted Embryo_S187_6_2A Expression was strong in the skeleton (limbs, shoulder, hip).
TS22: musculature Absent
TS22: face Strong Regionally restricted Embryo_S187_6_3A Expression was strong in the face/soft tissues.
TS22: facial bone primordium Moderate Scattered Embryo_S187_6_3C
TS22: cranium Absent Expression was not detected in the skull (base and vault).
TS22: axial skeleton Weak Regionally restricted Embryo_S187_6_2A
TS22: tail Moderate Regionally restricted Embryo_S187_6_3D
TS22: forelimb Strong Regionally restricted Embryo_S187_6_6C
TS22: hindlimb Strong Regionally restricted Embryo_S187_6_3A
TS22: integumental system Strong Regionally restricted Embryo_S187_6_1D
TS22: skin Absent
TS22: hair Strong Regionally restricted Embryo_S187_6_1D
TS22: vibrissa follicle Strong Regionally restricted Embryo_S187_6_1D Expression was strong in whisker follicle.


Contributing Projects:
Mouse Genome Database (MGD), Gene Expression Database (GXD), Mouse Models of Human Cancer database (MMHCdb) (formerly Mouse Tumor Biology (MTB)), Gene Ontology (GO)
Citing These Resources
Funding Information
Warranty Disclaimer, Privacy Notice, Licensing, & Copyright
Send questions and comments to User Support.
last database update
04/14/2026
MGI 6.24
The Jackson Laboratory