About   Help   FAQ
Gene Expression Data
Assay Details
Assay
Reference: J:122989 Visel A, et al., GenePaint.org: an atlas of gene expression patterns in the mouse embryo. Nucleic Acids Res. 2004 Jan 1;32(Database issue):D552-6
Assay type: RNA in situ
MGI Accession ID: MGI:5423854
Gene symbol: Ak2
Gene name: adenylate kinase 2
Probe: EG249 probe 263
Probe preparation: Antisense labelled with digoxigenin RNA
Visualized with: Alkaline phosphatase
Assay notes: Cryosections of fresh frozen material were fixed in 4% paraformaldehyde for 20 min. before further processing. A tyramide-biotin/streptavidin amplification step was included in the in situ hybridization procedure. These data were downloaded from GenePaint.org on 1/30/12.
Results
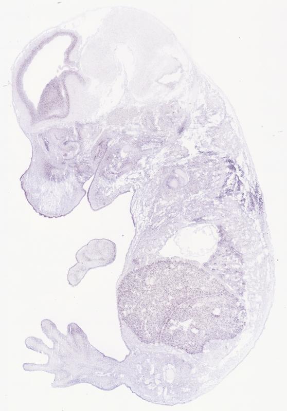
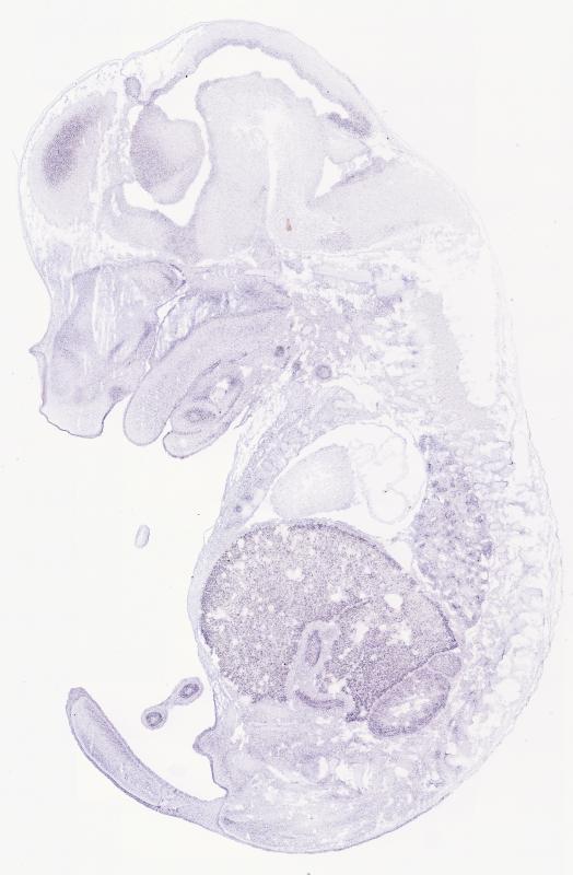
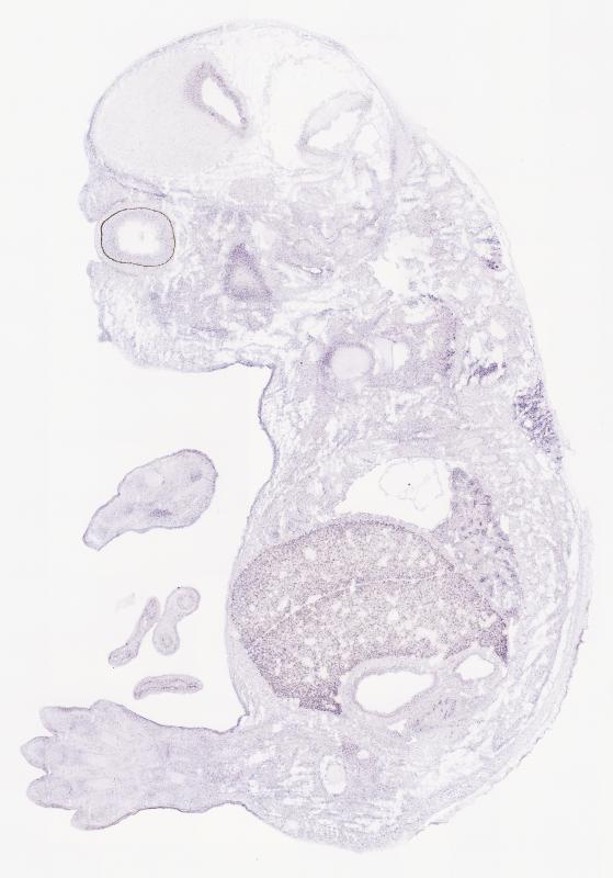
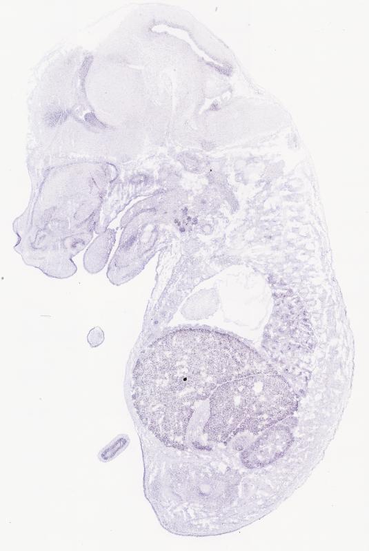
Specimen EG249; Specimen G0165: embryonic day 14.5 (more )
Structure Level Pattern Image Note
TS22: nervous system Strong Regionally restricted Embryo_G0165_4_5A
TS22: central nervous system Strong Regionally restricted Embryo_G0165_4_5A
TS22: telencephalon Strong Regionally restricted Embryo_G0165_4_5A
TS22: cerebral cortex Strong Regionally restricted Embryo_G0165_4_5A
TS22: neocortex Strong Regionally restricted Embryo_G0165_4_5A
TS22: olfactory cortex Weak Regionally restricted Embryo_G0165_4_5A
TS22: main olfactory bulb Weak Regionally restricted Embryo_G0165_4_5A
TS22: piriform cortex Absent
TS22: hippocampus Moderate Regionally restricted Embryo_G0165_4_3A
TS22: basal ganglia Strong Regionally restricted Embryo_G0165_4_5A
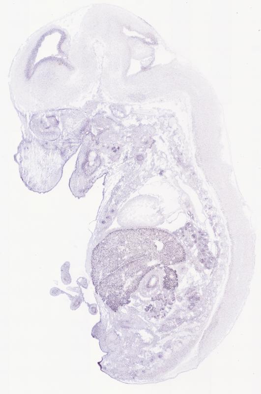
TS22: corpus striatum Strong Regionally restricted Embryo_G0165_4_5C Expression was strong in the corpus striatum (lateral ganglionic eminence).
TS22: basal forebrain Absent
TS22: amygdala Absent
TS22: telencephalon septum Moderate Regionally restricted Embryo_G0165_4_5A
TS22: pallidum Strong Regionally restricted Embryo_G0165_4_5A Expression was strong in the pallidum (medial ganglionic eminence).
TS22: diencephalon Weak Regionally restricted Embryo_G0165_4_4B
TS22: thalamus Weak Regionally restricted Embryo_G0165_4_4B
TS22: hypothalamus Weak Regionally restricted Embryo_G0165_4_3C
TS22: midbrain Strong Regionally restricted Embryo_G0165_4_4B
TS22: pretectum Weak Regionally restricted Embryo_G0165_4_3D
TS22: superior colliculus Weak Regionally restricted Embryo_G0165_4_4A
TS22: inferior colliculus Strong Regionally restricted Embryo_G0165_4_4B
TS22: midbrain tegmentum Absent
TS22: hindbrain Weak Regionally restricted Embryo_G0165_4_4A
TS22: cerebellum Weak Regionally restricted Embryo_G0165_4_4A
TS22: pons Weak Regionally restricted Embryo_G0165_4_4B
TS22: medulla oblongata Weak Regionally restricted Embryo_G0165_4_4B
TS22: spinal cord Absent
TS22: choroid plexus Absent
TS22: meninges Absent
TS22: peripheral nervous system Absent
TS22: cranial ganglion Absent
TS22: dorsal root ganglion Absent
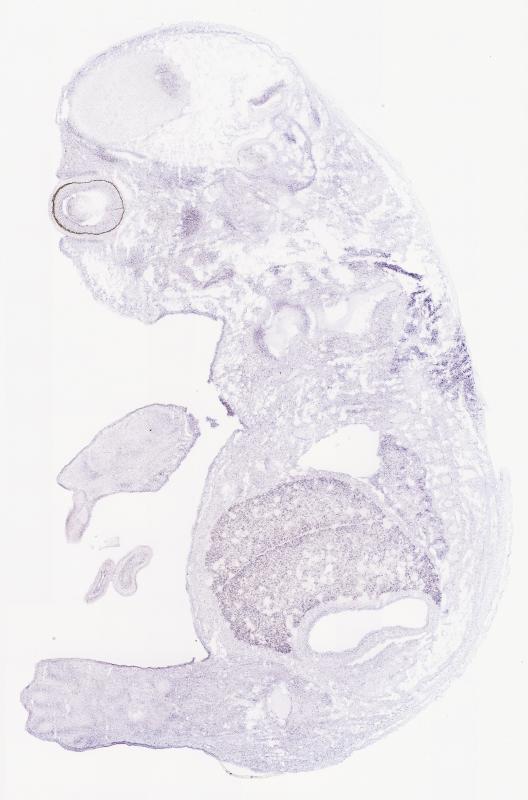
TS22: eye Weak Regionally restricted Embryo_G0165_4_1A
TS22: retina Weak Regionally restricted Embryo_G0165_4_1A
TS22: lens Weak Regionally restricted Embryo_G0165_4_1B
TS22: cornea Absent
TS22: optic nerve Absent
TS22: nose Strong Regionally restricted Embryo_G0165_4_5A
TS22: olfactory epithelium Strong Regionally restricted Embryo_G0165_4_5A
TS22: ear Weak Regionally restricted Embryo_G0165_4_1C
TS22: inner ear Weak Regionally restricted Embryo_G0165_4_1C
TS22: cochlea Weak Regionally restricted Embryo_G0165_4_4C
TS22: inner ear labyrinth Weak Regionally restricted Embryo_G0165_4_2B
TS22: middle ear Weak Regionally restricted Embryo_G0165_4_1C
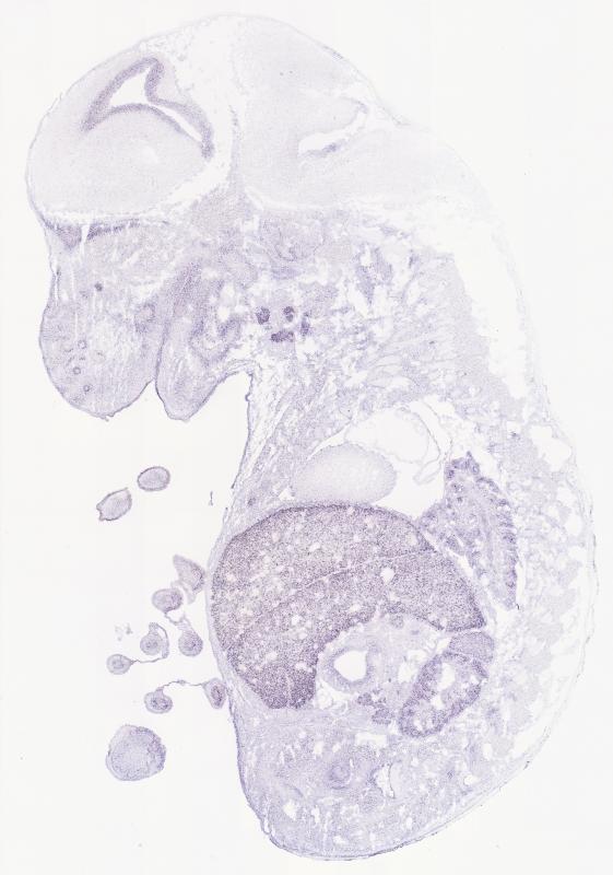
TS22: alimentary system Strong Regionally restricted Embryo_G0165_4_3D Expression was strong in the digestive system.
TS22: intestine Strong Regionally restricted Embryo_G0165_4_3D
TS22: salivary gland Strong Regionally restricted Embryo_G0165_4_4C
TS22: tongue Moderate Regionally restricted Embryo_G0165_4_3C
TS22: tooth Weak Regionally restricted Embryo_G0165_4_3D
TS22: palatal shelf Moderate Regionally restricted Embryo_G0165_4_3D
TS22: esophagus Weak Regionally restricted Embryo_G0165_4_3A
TS22: stomach Weak Regionally restricted Embryo_G0165_4_2B
TS22: liver Strong Regionally restricted Embryo_G0165_4_4B
TS22: respiratory system Strong Scattered Embryo_G0165_4_4B
TS22: pharynx Weak Regionally restricted Embryo_G0165_4_4B
TS22: larynx Absent
TS22: trachea Absent
TS22: main bronchus Absent
TS22: lung Strong Scattered Embryo_G0165_4_4B
TS22: urinary system Weak Regionally restricted Embryo_G0165_4_4B Expression was weak in the genito-urinary system.
TS22: metanephros Strong Regionally restricted Embryo_G0165_4_4B
TS22: ureter Absent
TS22: bladder Absent
TS22: urethra Absent
TS22: reproductive system Moderate Regionally restricted Embryo_G0165_4_4C
TS22: genital tubercle Weak Regionally restricted Embryo_G0165_4_3A
TS22: gonad Moderate Regionally restricted Embryo_G0165_4_4C
TS22: gland Moderate Regionally restricted Embryo_G0165_4_2C Expression was detected in the endocrine system.
TS22: thyroid gland Moderate Regionally restricted Embryo_G0165_4_3A
TS22: pituitary gland Weak Regionally restricted Embryo_G0165_4_3C
TS22: pancreas Moderate Regionally restricted Embryo_G0165_4_2C
TS22: adrenal gland Moderate Regionally restricted Embryo_G0165_4_4B
TS22: cardiovascular system Weak Regionally restricted Embryo_G0165_4_3C
TS22: heart Weak Regionally restricted Embryo_G0165_4_3C
TS22: heart atrium Weak Regionally restricted Embryo_G0165_4_3C
TS22: heart ventricle Absent
TS22: blood vessel Absent
TS22: hemolymphoid system Strong Ubiquitous Embryo_G0165_4_3A Expression was strong in the immune system.
TS22: spleen primordium Absent
TS22: thymus primordium Strong Ubiquitous Embryo_G0165_4_3A
TS22: appendicular skeleton Weak Regionally restricted Embryo_G0165_4_5D Expression was weak in the skeleton (limbs, shoulder, hip).
TS22: musculature Moderate Regionally restricted Embryo_G0165_4_1A
TS22: face Weak Regionally restricted Embryo_G0165_4_5D Expression was weak in the face/soft tissues.
TS22: facial bone primordium Moderate Regionally restricted Embryo_G0165_4_2A
TS22: cranium Weak Regionally restricted Embryo_G0165_4_3B Expression was weak in the skull (base and vault).
TS22: axial skeleton Absent
TS22: tail Weak Regionally restricted Embryo_G0165_4_3A
TS22: forelimb Weak Regionally restricted Embryo_G0165_4_5D
TS22: hindlimb Weak Regionally restricted Embryo_G0165_4_5B
TS22: integumental system Weak Regionally restricted Embryo_G0165_4_5D
TS22: skin Weak Regionally restricted Embryo_G0165_4_2D
TS22: hair Weak Regionally restricted Embryo_G0165_4_5D
TS22: vibrissa follicle Weak Regionally restricted Embryo_G0165_4_5D Expression was weak in whisker follicle.


Contributing Projects:
Mouse Genome Database (MGD), Gene Expression Database (GXD), Mouse Models of Human Cancer database (MMHCdb) (formerly Mouse Tumor Biology (MTB)), Gene Ontology (GO)
Citing These Resources
Funding Information
Warranty Disclaimer, Privacy Notice, Licensing, & Copyright
Send questions and comments to User Support.
last database update
03/24/2026
MGI 6.24
The Jackson Laboratory