About   Help   FAQ
Gene Expression Data
Assay Details
Assay
Reference: J:122989 Visel A, et al., GenePaint.org: an atlas of gene expression patterns in the mouse embryo. Nucleic Acids Res. 2004 Jan 1;32(Database issue):D552-6
Assay type: RNA in situ
MGI Accession ID: MGI:5423838
Gene symbol: Kars1
Gene name: lysyl-tRNA synthetase 1
Probe: EB784 probe 657
Probe preparation: Antisense labelled with digoxigenin RNA
Visualized with: Alkaline phosphatase
Assay notes: Cryosections of fresh frozen material were fixed in 4% paraformaldehyde for 20 min. before further processing. A tyramide-biotin/streptavidin amplification step was included in the in situ hybridization procedure. These data were downloaded from GenePaint.org on 1/30/12.
Results
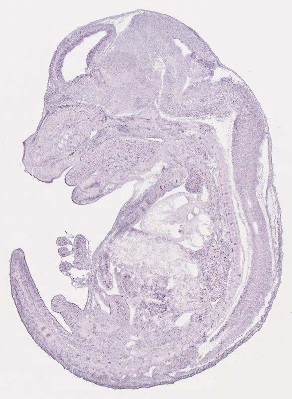
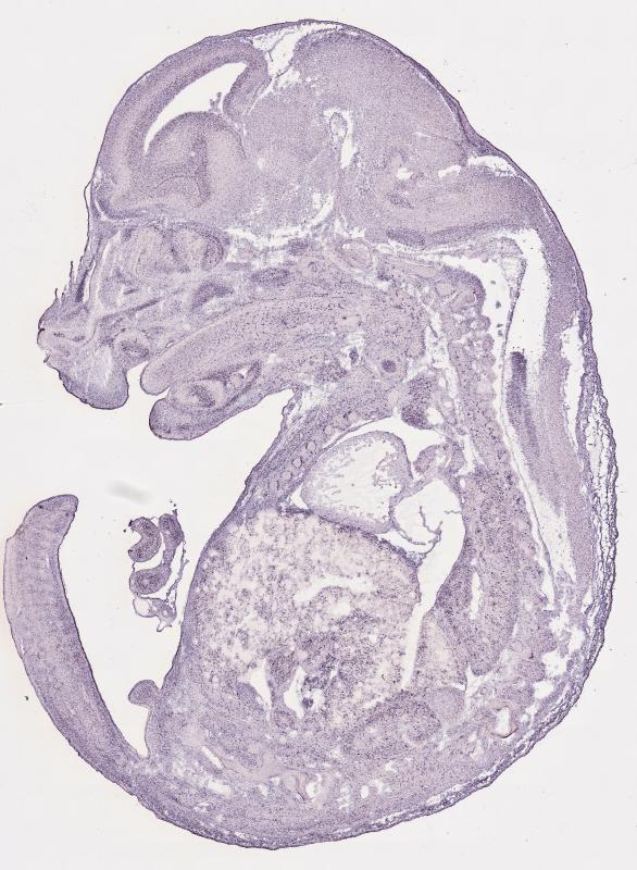
Specimen EB784; Specimen B427: embryonic day 14.5 (more )
Structure Level Pattern Image Note
TS22: nervous system Strong Regionally restricted Embryo_B427_5_3B
TS22: central nervous system Strong Regionally restricted Embryo_B427_5_3B
TS22: telencephalon Strong Regionally restricted Embryo_B427_5_3B
TS22: cerebral cortex Strong Regionally restricted Embryo_B427_5_3B
TS22: neocortex Moderate Regionally restricted Embryo_B427_5_3B
TS22: olfactory cortex Strong Regionally restricted Embryo_B427_5_3B
TS22: main olfactory bulb Strong Regionally restricted Embryo_B427_5_3B
TS22: piriform cortex Weak Ubiquitous Embryo_B427_5_1B
TS22: hippocampus Moderate Regionally restricted Embryo_B427_5_3B
TS22: basal ganglia Moderate Regionally restricted Embryo_B427_5_3B
TS22: corpus striatum Moderate Regionally restricted Embryo_B427_5_2B Expression was detected in the corpus striatum (lateral ganglionic eminence).
TS22: basal forebrain Absent
TS22: amygdala Absent
TS22: telencephalon septum Moderate Regionally restricted Embryo_B427_5_3B
TS22: pallidum Moderate Regionally restricted Embryo_B427_5_3B Expression was detected in the pallidum (medial ganglionic eminence).
TS22: diencephalon Weak Regionally restricted Embryo_B427_5_3B
TS22: thalamus Weak Ubiquitous Embryo_B427_5_3B
TS22: hypothalamus Absent
TS22: midbrain Strong Regionally restricted Embryo_B427_5_3B
TS22: pretectum Weak Regionally restricted Embryo_B427_5_3B
TS22: superior colliculus Strong Regionally restricted Embryo_B427_5_3B
TS22: inferior colliculus Strong Regionally restricted Embryo_B427_5_3B
TS22: midbrain tegmentum Moderate Regionally restricted Embryo_B427_5_3B
TS22: hindbrain Moderate Regionally restricted Embryo_B427_5_3B
TS22: cerebellum Absent
TS22: pons Weak Regionally restricted Embryo_B427_5_3B
TS22: medulla oblongata Moderate Regionally restricted Embryo_B427_5_3B
TS22: spinal cord Moderate Regionally restricted Embryo_B427_5_4B
TS22: choroid plexus Moderate Regionally restricted Embryo_B427_5_3B
TS22: meninges Moderate Regionally restricted Embryo_B427_5_1C
TS22: peripheral nervous system Strong Regionally restricted Embryo_B427_5_1A
TS22: cranial ganglion Strong Ubiquitous Embryo_B427_5_3A
TS22: dorsal root ganglion Strong Regionally restricted Embryo_B427_5_3B
TS22: eye Strong Regionally restricted Embryo_B427_5_1A
TS22: retina Moderate Regionally restricted Embryo_B427_5_1A
TS22: lens Strong Regionally restricted Embryo_B427_5_1A
TS22: cornea Absent
TS22: optic nerve Absent
TS22: nose Absent
TS22: olfactory epithelium Absent
TS22: ear Moderate Regionally restricted Embryo_B427_5_3A
TS22: inner ear Moderate Regionally restricted Embryo_B427_5_3A
TS22: cochlea Moderate Regionally restricted Embryo_B427_5_3A
TS22: inner ear labyrinth Weak Regionally restricted Embryo_B427_5_2D
TS22: middle ear Absent
TS22: alimentary system Strong Regionally restricted Embryo_B427_5_4B Expression was strong in the digestive system.
TS22: intestine Strong Regionally restricted Embryo_B427_5_4A
TS22: salivary gland Moderate Regionally restricted Embryo_B427_5_3B
TS22: tongue Moderate Regionally restricted Embryo_B427_5_4B
TS22: tooth Moderate Regionally restricted Embryo_B427_5_5A
TS22: palatal shelf Strong Regionally restricted Embryo_B427_5_4B
TS22: esophagus Weak Regionally restricted Embryo_B427_5_4B
TS22: stomach Moderate Regionally restricted Embryo_B427_5_1C
TS22: liver Moderate Regionally restricted Embryo_B427_5_3B
TS22: respiratory system Strong Regionally restricted Embryo_B427_5_3A
TS22: pharynx Weak Regionally restricted Embryo_B427_5_4B
TS22: larynx Weak Regionally restricted Embryo_B427_5_4B
TS22: trachea Absent
TS22: main bronchus Absent
TS22: lung Strong Regionally restricted Embryo_B427_5_3A
TS22: urinary system Strong Regionally restricted Embryo_B427_5_4A Expression was strong in the genito-urinary system.
TS22: metanephros Moderate Regionally restricted Embryo_B427_5_3A
TS22: ureter Absent
TS22: bladder Strong Regionally restricted Embryo_B427_5_4A
TS22: urethra Absent
TS22: reproductive system Strong Regionally restricted Embryo_B427_5_4C
TS22: genital tubercle Strong Regionally restricted Embryo_B427_5_4C
TS22: gonad Absent
TS22: gland Strong Regionally restricted Embryo_B427_5_3B Expression was strong in the endocrine system.
TS22: thyroid gland Absent
TS22: pituitary gland Absent
TS22: pancreas Strong Regionally restricted Embryo_B427_5_3B
TS22: adrenal gland Moderate Regionally restricted Embryo_B427_5_3A
TS22: cardiovascular system Moderate Regionally restricted Embryo_B427_5_4A
TS22: heart Moderate Regionally restricted Embryo_B427_5_4A
TS22: heart atrium Moderate Regionally restricted Embryo_B427_5_4A
TS22: heart ventricle Weak Regionally restricted Embryo_B427_5_4A
TS22: blood vessel Absent
TS22: hemolymphoid system Strong Regionally restricted Embryo_B427_5_4A Expression was strong in the immune system.
TS22: spleen primordium Moderate Regionally restricted Embryo_B427_5_1C
TS22: thymus primordium Strong Ubiquitous Embryo_B427_5_4A
TS22: appendicular skeleton Absent Expression was not detected in the skeleton (limbs, shoulder, hip).
TS22: musculature Moderate Ubiquitous Embryo_B427_5_1C
TS22: face Moderate Regionally restricted Embryo_B427_5_2B Expression was detected in the face/soft tissues.
TS22: facial bone primordium Strong Regionally restricted Embryo_B427_5_3C
TS22: cranium Strong Regionally restricted Embryo_B427_5_1B Expression was strong in the skull (base and vault).
TS22: axial skeleton Moderate Regionally restricted Embryo_B427_5_1B
TS22: tail Strong Regionally restricted Embryo_B427_5_4C
TS22: forelimb Strong Regionally restricted Embryo_B427_5_6C
TS22: hindlimb Strong Regionally restricted Embryo_B427_5_6C
TS22: integumental system Strong Regionally restricted Embryo_B427_5_6C
TS22: skin Strong Regionally restricted Embryo_B427_5_6C
TS22: hair Absent
TS22: vibrissa follicle Absent Expression was not detected in whisker follicle.


Contributing Projects:
Mouse Genome Database (MGD), Gene Expression Database (GXD), Mouse Models of Human Cancer database (MMHCdb) (formerly Mouse Tumor Biology (MTB)), Gene Ontology (GO)
Citing These Resources
Funding Information
Warranty Disclaimer, Privacy Notice, Licensing, & Copyright
Send questions and comments to User Support.
last database update
04/14/2026
MGI 6.24
The Jackson Laboratory