About   Help   FAQ
Gene Expression Data
Assay Details
Assay
Reference: J:122989 Visel A, et al., GenePaint.org: an atlas of gene expression patterns in the mouse embryo. Nucleic Acids Res. 2004 Jan 1;32(Database issue):D552-6
Assay type: RNA in situ
MGI Accession ID: MGI:5423764
Gene symbol: Acss2
Gene name: acyl-CoA synthetase short-chain family member 2
Probe: EN595 probe 496
Probe preparation: Antisense labelled with digoxigenin RNA
Visualized with: Alkaline phosphatase
Assay notes: Cryosections of fresh frozen material were fixed in 4% paraformaldehyde for 20 min. before further processing. A tyramide-biotin/streptavidin amplification step was included in the in situ hybridization procedure. These data were downloaded from GenePaint.org on 1/30/12.
Results
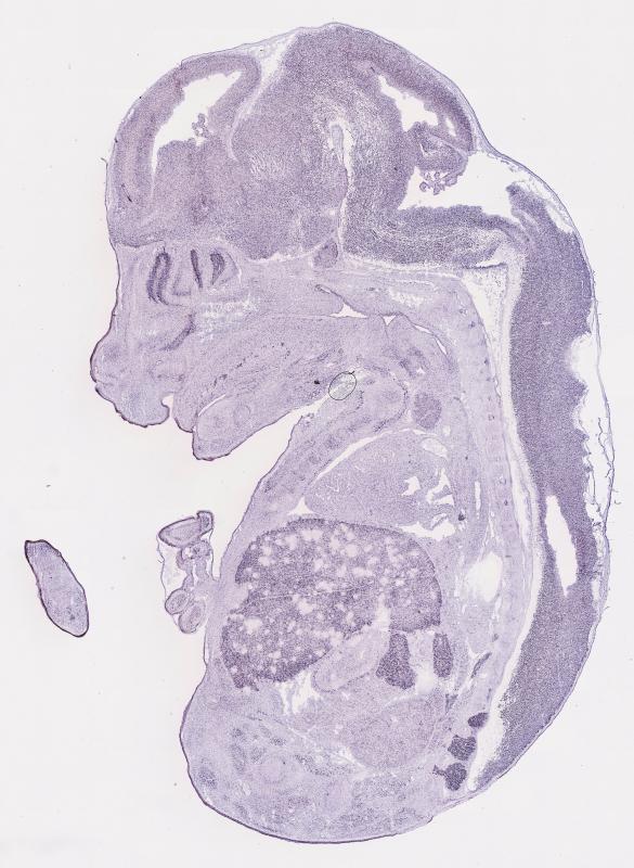
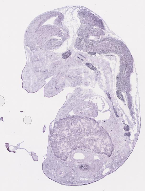
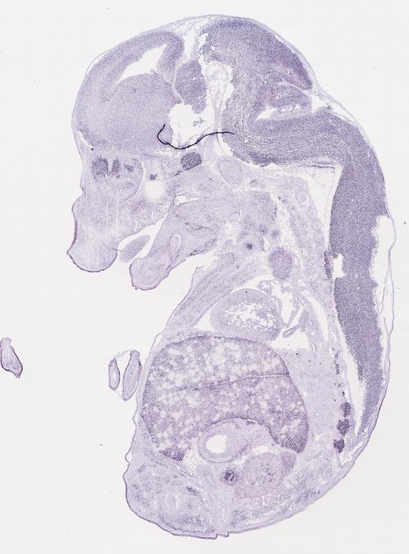
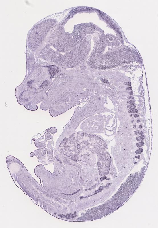
Specimen EN595; Specimen N329: embryonic day 14.5 (more )
Structure Level Pattern Image Note
TS22: nervous system Strong Regionally restricted Embryo_N329_6_4A
TS22: central nervous system Strong Regionally restricted Embryo_N329_6_4A
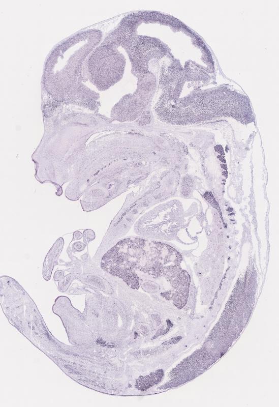
TS22: telencephalon Weak Regionally restricted Embryo_N329_6_3B
TS22: cerebral cortex Weak Ubiquitous Embryo_N329_6_3B
TS22: neocortex Weak Ubiquitous Embryo_N329_6_3B
TS22: olfactory cortex Weak Ubiquitous Embryo_N329_6_3B
TS22: main olfactory bulb Weak Ubiquitous Embryo_N329_6_3B
TS22: piriform cortex Weak Ubiquitous Embryo_N329_6_1B
TS22: hippocampus Weak Ubiquitous Embryo_N329_6_3B
TS22: basal ganglia Weak Regionally restricted Embryo_N329_6_3B
TS22: corpus striatum Weak Ubiquitous Embryo_N329_6_1C Expression was weak in the corpus striatum (lateral ganglionic eminence).
TS22: basal forebrain Absent
TS22: amygdala Weak Ubiquitous Embryo_N329_6_1C
TS22: telencephalon septum Weak Ubiquitous Embryo_N329_6_3B
TS22: pallidum Weak Ubiquitous Embryo_N329_6_3B Expression was weak in the pallidum (medial ganglionic eminence).
TS22: diencephalon Weak Ubiquitous Embryo_N329_6_3B
TS22: thalamus Weak Ubiquitous Embryo_N329_6_3B
TS22: hypothalamus Weak Ubiquitous Embryo_N329_6_3B
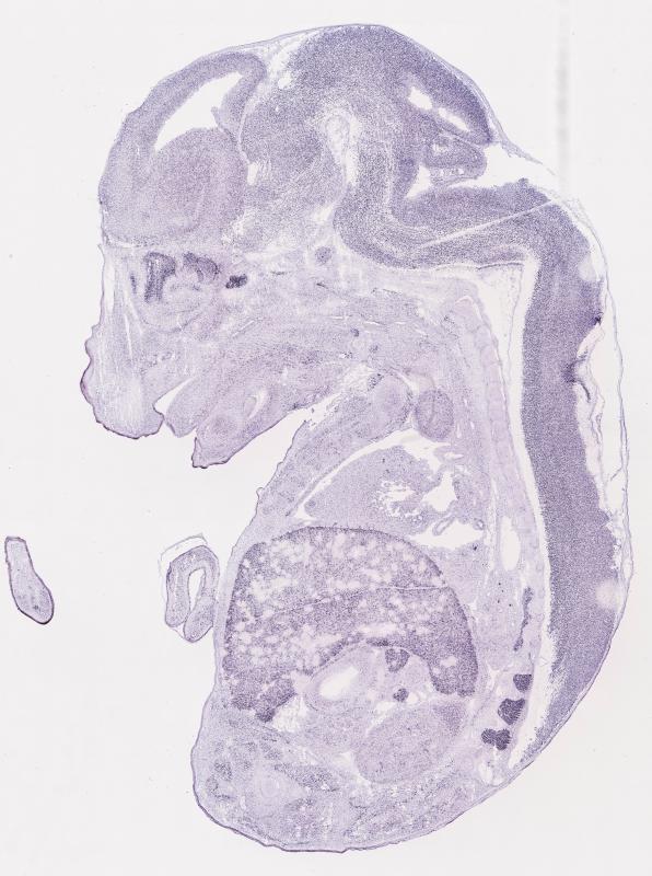
TS22: midbrain Moderate Regionally restricted Embryo_N329_6_3A
TS22: pretectum Weak Ubiquitous Embryo_N329_6_3B
TS22: superior colliculus Moderate Regionally restricted Embryo_N329_6_3B
TS22: inferior colliculus Moderate Regionally restricted Embryo_N329_6_3B
TS22: midbrain tegmentum Moderate Ubiquitous Embryo_N329_6_3A
TS22: hindbrain Moderate Ubiquitous Embryo_N329_6_3A
TS22: cerebellum Moderate Ubiquitous Embryo_N329_6_3A
TS22: pons Moderate Ubiquitous Embryo_N329_6_3A
TS22: medulla oblongata Moderate Ubiquitous Embryo_N329_6_3A
TS22: spinal cord Moderate Ubiquitous Embryo_N329_6_2D
TS22: choroid plexus Weak Regionally restricted Embryo_N329_6_3A
TS22: meninges Absent
TS22: peripheral nervous system Strong Ubiquitous Embryo_N329_6_4A
TS22: cranial ganglion Strong Ubiquitous Embryo_N329_6_5A
TS22: dorsal root ganglion Strong Ubiquitous Embryo_N329_6_4A
TS22: eye Strong Regionally restricted Embryo_N329_6_6B
TS22: retina Strong Regionally restricted Embryo_N329_6_6B
TS22: lens Absent
TS22: cornea Absent
TS22: optic nerve Absent
TS22: nose Strong Regionally restricted Embryo_N329_6_3C
TS22: olfactory epithelium Strong Regionally restricted Embryo_N329_6_3C
TS22: ear Strong Regionally restricted Embryo_N329_6_2C
TS22: inner ear Strong Regionally restricted Embryo_N329_6_2C
TS22: cochlea Absent
TS22: inner ear labyrinth Strong Regionally restricted Embryo_N329_6_2A
TS22: middle ear Absent
TS22: alimentary system Moderate Regionally restricted Embryo_N329_6_3B Expression was detected in the digestive system.
TS22: intestine Moderate Regionally restricted Embryo_N329_6_3B
TS22: salivary gland Absent
TS22: tongue Absent
TS22: tooth Absent
TS22: palatal shelf Absent
TS22: esophagus Absent
TS22: stomach Absent
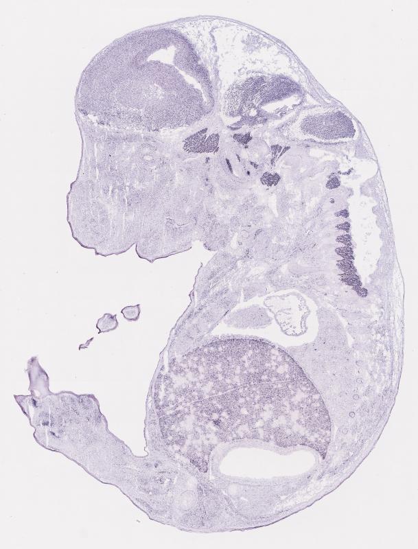
TS22: liver Moderate Regionally restricted Embryo_N329_6_2B
TS22: respiratory system Moderate Regionally restricted Embryo_N329_6_3B
TS22: pharynx Moderate Regionally restricted Embryo_N329_6_3B
TS22: larynx Absent
TS22: trachea Absent
TS22: main bronchus Absent
TS22: lung Absent
TS22: urinary system Strong Regionally restricted Embryo_N329_6_2B Expression was strong in the genito-urinary system.
TS22: metanephros Absent
TS22: ureter Absent
TS22: bladder Absent
TS22: urethra Absent
TS22: reproductive system Strong Regionally restricted Embryo_N329_6_2B
TS22: genital tubercle Absent
TS22: gonad Strong Regionally restricted Embryo_N329_6_2B
TS22: gland Weak Regionally restricted Embryo_N329_6_2D Expression was weak in the endocrine system.
TS22: thyroid gland Absent
TS22: pituitary gland Weak Ubiquitous Embryo_N329_6_2D
TS22: pancreas Absent
TS22: adrenal gland Weak Regionally restricted Embryo_N329_6_2D
TS22: cardiovascular system Absent
TS22: heart Absent
TS22: heart atrium Absent
TS22: heart ventricle Absent
TS22: blood vessel Absent
TS22: hemolymphoid system Weak Regionally restricted Embryo_N329_6_2C Expression was weak in the immune system.
TS22: spleen primordium Absent
TS22: thymus primordium Weak Ubiquitous Embryo_N329_6_2C
TS22: appendicular skeleton Absent Expression was not detected in the skeleton (limbs, shoulder, hip).
TS22: musculature Absent
TS22: face Absent Expression was not detected in the face/soft tissues.
TS22: facial bone primordium Absent
TS22: cranium Absent Expression was not detected in the skull (base and vault).
TS22: axial skeleton Absent
TS22: tail Moderate Regionally restricted Embryo_N329_6_3D
TS22: forelimb Strong Regionally restricted Embryo_N329_6_6C
TS22: hindlimb Strong Regionally restricted Embryo_N329_6_6B
TS22: integumental system Moderate Regionally restricted Embryo_N329_6_1D
TS22: skin Moderate Regionally restricted Embryo_N329_6_1D
TS22: hair Absent
TS22: vibrissa follicle Absent Expression was not detected in whisker follicle.


Contributing Projects:
Mouse Genome Database (MGD), Gene Expression Database (GXD), Mouse Models of Human Cancer database (MMHCdb) (formerly Mouse Tumor Biology (MTB)), Gene Ontology (GO)
Citing These Resources
Funding Information
Warranty Disclaimer, Privacy Notice, Licensing, & Copyright
Send questions and comments to User Support.
last database update
03/31/2026
MGI 6.24
The Jackson Laboratory